Обызвествление желатинозного ядра межпозвонкового диска сегмента Т9 – Т10.

Пол пациента: 
Тип патологии: 
Область исследования: 
Методы исследования: 

 

 

Случай из практики – «Обызвествление желатинозного ядра межпозвонкового диска сегмента Т9 – Т10».

 

Пациентка 45 лет направлен на рентгенологическое исследование грудного отдела позвоночника  с диагнозом «Радикулит?».

 

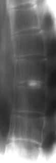
Проведено стандартное рентгенологическое исследование грудного отдела позвоночника в ортоположении в стандартных проекциях. На рентгенограммах обнаружены признаки остеохондроза – неравномерное сужение межпозвонковых щелей, субхондральный склероз тел позвонков, по боковым поверхностям тел позвонков мелкие остроконечные остеофиты. Определяется нечеткость картины межпозвонковой щели в сегменте Т9 – Т10. Решено произвести линейную томографию грудного отдела позвоночника в боковой проекции – срез срединный.

 

Иллюстрации 1, 2. Фрагмент томограммы в боковой проекции. Определяется неравномерное сужение межпозвонковых щелей в верхнем грудном отделе позвоночника в передних отделах. На фоне межпозвонковой щели сегмента Т9 Т10 определяется обызвествление желатинозного ядра межпозвонкового диска.


 

 

1.
1.
2.
2.

 

 

 

3.
3.

 

Иллюстрация 3. Произведено увеличение изображения. Четко дифференцируется обызвествление желатинозного ядра, тень его неоднородная по структуре, без четких контуров. В окружающих желатинозное ядро частях межпозвонкового диска также определяется нежное снижение прозрачности.

ВложениеРазмер
Иконка изображения 1.16.58 КБ
Иконка изображения 2.30.24 КБ
Иконка изображения 3.29.23 КБ
Катенёв Валентин Львович аватар
Не на сайте
Был на сайте: 7 лет 6 месяцев назад
Зарегистрирован: 22.03.2008 - 22:15
Публикации: 54876

Интересно, часто ли встречается?

NIL аватар
NIL
Не на сайте
Был на сайте: 3 недели 4 дня назад
Зарегистрирован: 25.11.2013 - 20:50
Публикации: 18217

Не каждый день, но периодически встречаются. На прошлой неделе - последний случай.


"Слушай всех, прислушивайся к немногим, решай сам".©

олеся куксова аватар
Не на сайте
Был на сайте: 4 года 10 месяцев назад
Зарегистрирован: 14.05.2016 - 16:36
Публикации: 967

NIL wrote:

Не каждый день, но периодически встречаются. 

+1