В прошлом году выставил бы норму (у самого за этот год пара подобных случаев)....
Конечно в данном случае каждый написал-бы норму.
И, даже если-бы, что-то ёкнуло, или глаз "зацепился" тактически было-бы правильно писать норму. У нас было, довольно немало подобных случаев, когда мы брали на контроль, и чаще на восьмерке обнаруживали нежное снижение прозрачности легочной ткани в апико-медиальном отделе 1 сегмента. Но выявленное совершенно не нужно коллеге фтизиатру, ибо "такое" коллеги фтизиатры не берут, да и не должны брать.
В таких случаях мы имели "геморрой" только для себя, ибо пациента, для динамики довольно часто посылали для контроля, именно к нам. Конечно, не всегда, но в большинстве своём, на месте этой нежной инфильтрации в последующем очаги появлялись, но это потом. Об этом (малых изменениях) писал и коллега Лупан.
Лично для себя, в последнее время сделал вывод, и вывод этот практически правильный - диагностику тубера по флюшкам начинать с инфильтративного и не "меньше", ибо, то будут "пустые хлопоты", именно, только для рентгеновской службы.
"Есть кое-какие изменения. Наверное вариант нормы. Но давайте проконтролируем. Придёте через 3-6 месяцев. Надеюсь всё будет хорошо. Удачи Вам. Вот только распишитесь мне в журнальчике, что я Вам снимочки отдал и предупредил. До свидания."
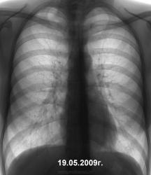
Да, динамика показательна. Томографировать не будете?
За полтора года много воды утекло! Вроде, ничего не пропустили!
--------------
"Просто, по видимости, не видеть логики в очевидных вещах - это тоже одно из свойств некоторых умов, наряду с грустными думами о свойствах ума других." © Vega 08/10/2011
У нас как-то другой алгоритм действий. К фтизиатрам - у них свой алгоритм.
Игорь Иванович, не терзайтесь.Видимых изменений не узрела.
В прошлом году выставил бы норму (у самого за этот год пара подобных случаев)....
Болезни ног: виды, симптомы, причины, профилактика и лечение
Конечно в данном случае каждый написал-бы норму.
И, даже если-бы, что-то ёкнуло, или глаз "зацепился" тактически было-бы правильно писать норму. У нас было, довольно немало подобных случаев, когда мы брали на контроль, и чаще на восьмерке обнаруживали нежное снижение прозрачности легочной ткани в апико-медиальном отделе 1 сегмента. Но выявленное совершенно не нужно коллеге фтизиатру, ибо "такое" коллеги фтизиатры не берут, да и не должны брать.
В таких случаях мы имели "геморрой" только для себя, ибо пациента, для динамики довольно часто посылали для контроля, именно к нам. Конечно, не всегда, но в большинстве своём, на месте этой нежной инфильтрации в последующем очаги появлялись, но это потом. Об этом (малых изменениях) писал и коллега Лупан.
Лично для себя, в последнее время сделал вывод, и вывод этот практически правильный - диагностику тубера по флюшкам начинать с инфильтративного и не "меньше", ибо, то будут "пустые хлопоты", именно, только для рентгеновской службы.
"Есть кое-какие изменения. Наверное вариант нормы. Но давайте проконтролируем. Придёте через 3-6 месяцев. Надеюсь всё будет хорошо. Удачи Вам. Вот только распишитесь мне в журнальчике, что я Вам снимочки отдал и предупредил. До свидания."