Очередная ВВУ

Пол пациента: 
Тип патологии: 
Область исследования: 
Методы исследования: 

Пациент с микрогематурией и лейкоцитурией с нормальным заключением по УЗИ ОБП направлен урологом для проведения ВВУ.

5 минут

Изображение

нефрозонограмма 15 минут

 Изображение не могу перевернуть

20 минута с выведением правого крестцово-подвздошного сочленения

 Изображение

стоя на 30 минуте

 Изображение тоже не перевертывается.

предположение о tbs сакроилеите и tbs мочевого пузыря.

Андрей Юрьевич аватар
Не на сайте
Был на сайте: 2 недели 2 дня назад
Зарегистрирован: 16.11.2008 - 22:16
Публикации: 18106

Считаю, что достоверных рентгенпризнаков сакроилеита нет. Для туберкуллеза сакроилеит не вполне характерен. Снимок правого крестцово-подвздошного сочленения неправильный: снят с приподнятым левым боком, так снимают левое сочленение, да и  то недостаточно повернут (ориентир - дугоотросчатые суставы соответствующей стороны). Если речь идет о патологии мочевого пузыря - боковой снимок обязателен.

Андрей Юрьевич

Катенёв Валентин Львович аватар
Не на сайте
Был на сайте: 7 лет 5 месяцев назад
Зарегистрирован: 22.03.2008 - 22:15
Публикации: 54876

Уважаемый коллега flagman!

Итак, представленные Вами снимки.

ИзображениеИзображениеИзображениеИзображение

Пациент с микрогематурией и лейкоцитурией с нормальным заключением по УЗИ ОБП направлен урологом для проведения ВВУ

предположение о tbs сакроилеите и tbs мочевого пузыря.

Катенёв Валентин Львович аватар
Не на сайте
Был на сайте: 7 лет 5 месяцев назад
Зарегистрирован: 22.03.2008 - 22:15
Публикации: 54876

Уважаемый коллега! Давайте отбросим в сторону клинику, УЗИ и все прочее, и останемся в "царстве теней", то бишь в лоне "матери скиалогии".

ИзображениеИзображениеИзображениеИзображение

Итак, функция с обеих сторон обычно, как "надо". Нефрографический эффект с обеих сторон, вполне удовлетворительный, что свидетельствует о хорошой функциональной способности почечной паренхимы. Справа определяется "недостаточное" контрастирование лоханки и стойкие спазмы шеек чашечек, что косвенным образом указывает на воспалительный процесс.

На следующем, представленном Вами снимке, четко визуализируется "деформация полой системы" левой почки, о чём свидетельствует небезысвестный феномен Hodson, кроме всего прочего определяются булавовидно эктазированные малые чашечки слева.

ИзображениеИзображение

ИзображениеИзображение

ИзображениеИзображение

Изображение

И, последная рентгенограмма.

ИзображениеИзображение

Изображение

Мое субъективное мнение, что в данном случае, имеет место воспалительный процесс в почечной паренхиме справа, С большей степенью вероятности хронический пиелонефрит слева (с меньшей степенью вероятности - каверны, т.е. туберкулёз). Однозначно исследование мочи на БК, и обязательно "посев".

 

 

flagman аватар
Не на сайте
Был на сайте: 11 лет 10 месяцев назад
Зарегистрирован: 05.06.2008 - 20:08
Публикации: 83

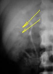
тот же больной томограмма позвоночника (боковой снимок вставлю потом):

Изображение

L1-L2 межпозвонковый диск и тело L2 вовлечены в процесс.

пациент из эндемичного по бруцеллезу района.

Ваше мнение?

Катенёв Валентин Львович аватар
Не на сайте
Был на сайте: 7 лет 5 месяцев назад
Зарегистрирован: 22.03.2008 - 22:15
Публикации: 54876

А мне кажется, что это обычная грыжа Шморля.

flagman аватар
Не на сайте
Был на сайте: 11 лет 10 месяцев назад
Зарегистрирован: 05.06.2008 - 20:08
Публикации: 83

грыжа шморля 2х2 см?

Андрей Юрьевич аватар
Не на сайте
Был на сайте: 2 недели 2 дня назад
Зарегистрирован: 16.11.2008 - 22:16
Публикации: 18106

Бывает, и именно в теле Л2. Во время призыва их любят называть б-нью Шоермана-Мау, которой в поясн. отделе не бывает в принципе. Если Вас смущает имя Шморля, назовите просто крупной интракорпоральной грыжей.

Андрей Юрьевич

flagman аватар
Не на сайте
Был на сайте: 11 лет 10 месяцев назад
Зарегистрирован: 05.06.2008 - 20:08
Публикации: 83

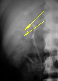
Изображениедобавляю боковой снимок.

 

Катенёв Валентин Львович аватар
Не на сайте
Был на сайте: 7 лет 5 месяцев назад
Зарегистрирован: 22.03.2008 - 22:15
Публикации: 54876

Весьма интересная картинка. Деструкция?

flagman аватар
Не на сайте
Был на сайте: 11 лет 10 месяцев назад
Зарегистрирован: 05.06.2008 - 20:08
Публикации: 83

и как теперь все вместе связать?

flagman аватар
Не на сайте
Был на сайте: 11 лет 10 месяцев назад
Зарегистрирован: 05.06.2008 - 20:08
Публикации: 83

тогда почему при таком объеме интактен вышележащий? то есть это грыжа?

лунёва татьяна аватар
Не на сайте
Был на сайте: 9 лет 5 месяцев назад
Зарегистрирован: 02.05.2009 - 22:39
Публикации: 12

Да, согласна, что это интракорпоральная грыжа Шморля(смотрите какой склерозик вокруг). А, что смущает? 

Мышь.