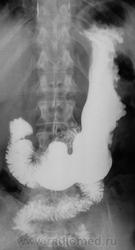
Пол пациента: Женский пол Тип патологии: Другое Область исследования: Пищеварительная система Методы исследования: Rg Один снимок желудка. Может быть мнения будут? https://radiomed.ru/sites/default/files/styles/case_slider_image/public/user/12/2.201201010012.jpg?itok=f3YpbTf6 https://radiomed.ru/sites/default/files/styles/case_slider_image/public/user/12/3.201201010013.jpg?itok=DZdw77nQ https://radiomed.ru/sites/default/files/styles/case_slider_image/public/user/12/4.201311120014.jpg?itok=z9RZUMmQ ID:33225 Ср, 13/11/2013 - 22:10 #1 Дмитрий Волегов Не на сайте Был на сайте: 3 года 6 месяцев назад Зарегистрирован: 22.05.2013 - 00:32 Публикации: 1148 Варикозные вены? С Уважением, Дмитрий. Ср, 13/11/2013 - 22:11 #2 vadim losevichev Не на сайте Был на сайте: 7 лет 2 месяцев назад Зарегистрирован: 27.01.2013 - 09:45 Публикации: 679 Большая кривизна у тела желудка странная. Non progrĕdi est regrĕdi. Ср, 13/11/2013 - 22:11 #3 Катенёв Валенти... Не на сайте Был на сайте: 7 лет 4 недели назад Зарегистрирован: 22.03.2008 - 22:15 Публикации: 54876 Дмитрий Волегов wrote: Варикозные вены? Это стопудово, или дифряд? Ср, 13/11/2013 - 22:25 #4 Дмитрий Волегов Не на сайте Был на сайте: 3 года 6 месяцев назад Зарегистрирован: 22.05.2013 - 00:32 Публикации: 1148 Катенёв Валентин Львович wrote: Дмитрий Волегов wrote: Варикозные вены? Это стопудово, или дифряд? На мой взгляд скиалогия характерная, но опыта мало. В дифряд. С Уважением, Дмитрий. Ср, 13/11/2013 - 22:26 #5 Катенёв Валенти... Не на сайте Был на сайте: 7 лет 4 недели назад Зарегистрирован: 22.03.2008 - 22:15 Публикации: 54876 vadim losevichev wrote: Большая кривизна у тела желудка странная. Да, для нормы странноватая. Ср, 13/11/2013 - 22:32 #6 алкс Не на сайте Был на сайте: 10 лет 4 недели назад Зарегистрирован: 24.10.2012 - 22:55 Публикации: 2915 Лежа бы вниз головой... Ну а так, дефект наполнения по большой кривизне свода. М.б. что угодно, больше за гиперплазию или онко. Ср, 13/11/2013 - 22:37 #7 Катенёв Валенти... Не на сайте Был на сайте: 7 лет 4 недели назад Зарегистрирован: 22.03.2008 - 22:15 Публикации: 54876 алкс wrote: Лежа бы вниз головой... Ну а так, дефект наполнения по большой кривизне свода. М.б. что угодно, больше за гиперплазию или онко. Что угодно быть не может. Протокол писать надо, да и заключение... Ср, 13/11/2013 - 22:37 #8 Катенёв Валенти... Не на сайте Был на сайте: 7 лет 4 недели назад Зарегистрирован: 22.03.2008 - 22:15 Публикации: 54876 алкс wrote: Лежа бы вниз головой... Что даст вниз головой? Это положение Тренделенбурга, или как? Ср, 13/11/2013 - 22:43 #9 алкс Не на сайте Был на сайте: 10 лет 4 недели назад Зарегистрирован: 24.10.2012 - 22:55 Публикации: 2915 Катенёв Валентин Львович wrote: алкс wrote: Лежа бы вниз головой... Что даст вниз головой? Это положение Тренделенбурга, или как? Тугое заполнение свода + можно пасс. рефлюкс, или не там патологию вижу? Просто стол опустить с пациентом ( который стоя стоит) на 10-15градусов без вычурных. Ср, 13/11/2013 - 23:03 #10 stovbav Не на сайте Был на сайте: 2 года 2 месяцев назад Зарегистрирован: 20.12.2009 - 17:28 Публикации: 7066 Почему не локальная форма Менетрие?.... Болезни ног: виды, симптомы, причины, профилактика и лечение Ср, 13/11/2013 - 23:16 #11 алкс Не на сайте Был на сайте: 10 лет 4 недели назад Зарегистрирован: 24.10.2012 - 22:55 Публикации: 2915 stovbav wrote: Почему не локальная форма Менетрие?.... Вполне, не я так написал - "гиперплазия" Ср, 13/11/2013 - 23:20 #12 Катенёв Валенти... Не на сайте Был на сайте: 7 лет 4 недели назад Зарегистрирован: 22.03.2008 - 22:15 Публикации: 54876 stovbav wrote: Почему не локальная форма Менетрие?.... Здравствуйте Виктор Григорьевич! Почему "почему"? "Картинка" то типичная, именно, для болезни Менетрие. Ср, 13/11/2013 - 23:44 #13 stovbav Не на сайте Был на сайте: 2 года 2 месяцев назад Зарегистрирован: 20.12.2009 - 17:28 Публикации: 7066 Катенёв Валентин Львович wrote: stovbav wrote: Почему не локальная форма Менетрие?.... Здравствуйте Виктор Григорьевич! Почему "почему"? "Картинка" то типичная, именно, для болезни Менетрие. Так вопрос то был - риторический))), уважаемый Валентин Львович! Болезни ног: виды, симптомы, причины, профилактика и лечение Чт, 14/11/2013 - 07:53 #14 Андрей Юрьевич Не на сайте Был на сайте: 2 недели 1 день назад Зарегистрирован: 16.11.2008 - 22:16 Публикации: 18098 Менетрие? По одному снимку, без второй порции бария, без шипучки и снимков в горизонтальном положении. Как-то лихо. Андрей Юрьевич Чт, 14/11/2013 - 12:39 #15 stovbav Не на сайте Был на сайте: 2 года 2 месяцев назад Зарегистрирован: 20.12.2009 - 17:28 Публикации: 7066 Андрей Юрьевич wrote: Менетрие? По одному снимку, без второй порции бария, без шипучки и снимков в горизонтальном положении. Как-то лихо. Все это так...но ответ то по ОДНОМУ снимку надо дать...так что - имеем, что имеем: один снимок - и ряд мнений)))) Болезни ног: виды, симптомы, причины, профилактика и лечение Чт, 14/11/2013 - 20:47 #16 И.Бондаренко Не на сайте Был на сайте: 1 день 3 часа назад Зарегистрирован: 13.09.2011 - 22:55 Публикации: 9206 На вашем аппарате тубус (компрессия) есть? Чт, 14/11/2013 - 23:50 #17 Катенёв Валенти... Не на сайте Был на сайте: 7 лет 4 недели назад Зарегистрирован: 22.03.2008 - 22:15 Публикации: 54876 Андрей Юрьевич wrote: Менетрие? По одному снимку, без второй порции бария, без шипучки и снимков в горизонтальном положении. Как-то лихо. Вы правы! Снимок не один, выставлен один для "мозгового штурма". Пациент наблюдается уже в течение пяти лет, консультирован, обследовался и лечился в ОКБ. Чт, 14/11/2013 - 23:52 #18 Катенёв Валенти... Не на сайте Был на сайте: 7 лет 4 недели назад Зарегистрирован: 22.03.2008 - 22:15 Публикации: 54876 И.Бондаренко wrote: На вашем аппарате тубус (компрессия) есть? У нас имеется все. Компрессия не только тубусом и но мягкими "валиками". Пояснения в предыдущем посте. Пт, 15/11/2013 - 00:17 #19 Dima Не на сайте Был на сайте: 7 лет 2 месяцев назад Зарегистрирован: 05.08.2012 - 17:39 Публикации: 2467 Спасибо за интересное наблюдение, Валентин Львович! Если есть возможность покажите пожалуйста все рентгенограммы выполненные в процессе исследования. Терпимость - это когда прощают чужие ошибки; такт - когда не замечают их. (Артур Шницлер)
Варикозные вены?
С Уважением, Дмитрий.
Большая кривизна у тела желудка странная.
Non progrĕdi est regrĕdi.
Это стопудово, или дифряд?
На мой взгляд скиалогия характерная, но опыта мало. В дифряд.
С Уважением, Дмитрий.
Да, для нормы странноватая.
Лежа бы вниз головой... Ну а так, дефект наполнения по большой кривизне свода. М.б. что угодно, больше за гиперплазию или онко.
Что угодно быть не может. Протокол писать надо, да и заключение...
Что даст вниз головой? Это положение Тренделенбурга, или как?
Тугое заполнение свода + можно пасс. рефлюкс, или не там патологию вижу? Просто стол опустить с пациентом ( который стоя стоит) на 10-15градусов без вычурных.
Почему не локальная форма Менетрие?....
Болезни ног: виды, симптомы, причины, профилактика и лечение
Вполне, не я так написал - "гиперплазия"
Здравствуйте Виктор Григорьевич!
Почему "почему"?
"Картинка" то типичная, именно, для болезни Менетрие.
Так вопрос то был - риторический))), уважаемый Валентин Львович!
Болезни ног: виды, симптомы, причины, профилактика и лечение
Менетрие? По одному снимку, без второй порции бария, без шипучки и снимков в горизонтальном положении. Как-то лихо.
Андрей Юрьевич
Все это так...но ответ то по ОДНОМУ снимку надо дать...так что - имеем, что имеем: один снимок - и ряд мнений))))
Болезни ног: виды, симптомы, причины, профилактика и лечение
На вашем аппарате тубус (компрессия) есть?
Вы правы!
Снимок не один, выставлен один для "мозгового штурма".
Пациент наблюдается уже в течение пяти лет, консультирован, обследовался и лечился в ОКБ.
У нас имеется все. Компрессия не только тубусом и но мягкими "валиками". Пояснения в предыдущем посте.
Спасибо за интересное наблюдение, Валентин Львович! Если есть возможность покажите пожалуйста все рентгенограммы выполненные в процессе исследования.
Терпимость - это когда прощают чужие ошибки; такт - когда не замечают их. (Артур Шницлер)