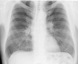
Мне кажется правый купол диафрагмы двойным,как будто там обызвествленная киста-эхинококковая?,может просто частичная релаксация диафрагмы.Мне что-то все время мерещится.Нетипично расположены м/д справа и корни рассыпного типа.А операция не по поводу эхинококка была?
Смещение средостения вправо, трахея стянута в бок, признаков ателектаза не видно(вроде),небольшое затемнение в правом 2 межреберье, необходима консультация онколога.(Cr-?)
Хочется прямой поконтрастней, а боковой - помягче... И отчего корешок такой плотный на боковом? Что-то чудится за сосудами... Значит, стоит погонять в режимах разных изображения.
Спасибо) Плохо, что просчитался я с телами позвонков (( А больше снимков нет по данному пациенту? Коллеги, а деструкция действительно видна, если отойки подальше от монитора
Коллеги, а деструкция действительно видна, если отойки подальше от монитора
Спасибо за подсказку!) Отошёл, посмотрел. И ещё пару-тройку деструкций таких же в телах позвонков спокойно теперь я нашёл!)) Автор случая молчит, но всё же ретроспективой решил заманить!..
А ещё, если подольше смотреть, то как в иллюзорных картинках, многое можно так насмотреть. Я, вот, теперь вижу гемангиому. Она, стопудово!
S 6 слева.
....что
Не ограничивайте свою мысль
Живешь пока учишься
Ecrasez l’infame
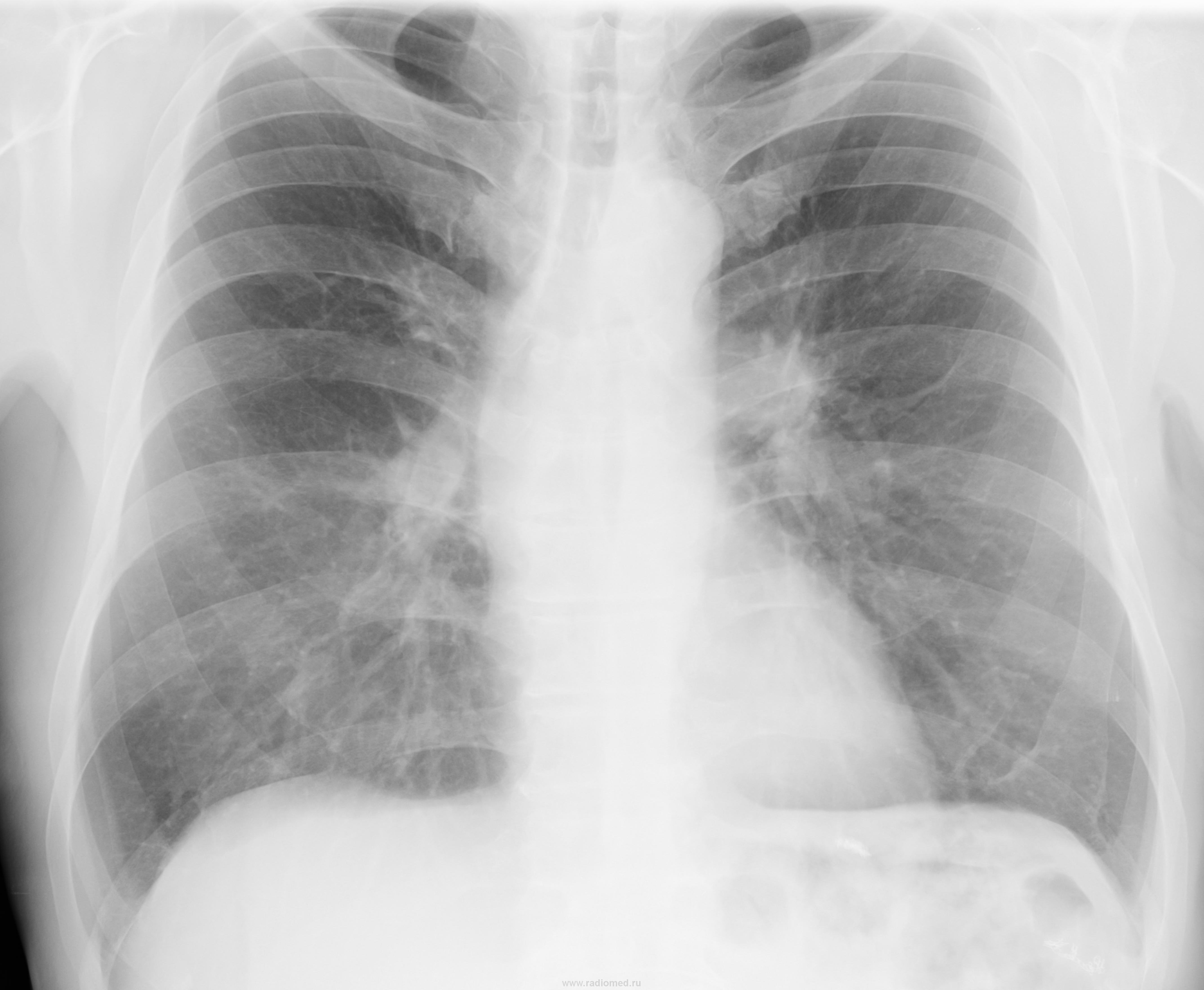
По поводу чего Rg? Цепочка металлических швов в брюшной слева. Перелом? 8 ребра слева по передней подмышечной линии.
https://www.youtube.com/channel/UCBGxoBUOqUT_bFhSeUgtWEw
ЛГ, пока подержу интригу, может еще кто-то выскажется.
Не ограничивайте свою мысль
Живешь пока учишься
Ecrasez l’infame
Ок))
https://www.youtube.com/channel/UCBGxoBUOqUT_bFhSeUgtWEw
Не нравятся корни, какие-то расширенные и корявые
Честно говоря,не нашёл лёгочной патологии,отписал бы возрастной нормой.Поправьте,если не прав.
Мне кажется правый купол диафрагмы двойным,как будто там обызвествленная киста-эхинококковая?,может просто частичная релаксация диафрагмы.Мне что-то все время мерещится.Нетипично расположены м/д справа и корни рассыпного типа.А операция не по поводу эхинококка была?
А c телами Тh6, Th7 все хорошо?
Возможно видим пневмонит верхнеязычкового сегмента. Да и нижнеязычкового, тоже.
С Уважением, Дмитрий.
Смещение средостения вправо, трахея стянута в бок, признаков ателектаза не видно(вроде),небольшое затемнение в правом 2 межреберье, необходима консультация онколога.(Cr-?)
Объемное образование на уровне бифуркации трахеи.
Хочется прямой поконтрастней, а боковой - помягче... И отчего корешок такой плотный на боковом? Что-то чудится за сосудами... Значит, стоит погонять в режимах разных изображения.
Или там нет у М. ничего?..
--------------
"Просто, по видимости, не видеть логики в очевидных вещах - это тоже одно из свойств некоторых умов, наряду с грустными думами о свойствах ума других." © Vega 08/10/2011
Слева полоска воздуха под куполом диафрагмы? Посоперационный пневмоперетонеум?
Кто больше!!!!
Я с вами согластна - про норму.
kintire можно аплодировать. В теле позвонка Th8 деструкция с отеком. Оперирован по поводу рака желудка IIIст.
Не ограничивайте свою мысль
Живешь пока учишься
Ecrasez l’infame
Да,кто в лес,кто по дрова,а ларчик просто открывался.
Молодец лось
А я так смотрю на позвонки, и ничего плохого не вижу
Ото ж! Mitkampfer! А как посчитать позвонки 7-8 удалось? Или КТ делали, а нам не показали
? Если Вы тут деструкции видите - снимаю шляпу маэстро!
Солидарен. Заподозрить деструкцию по таким... лёгочным снимкам... Глаз-алмаз? Или просто ретроспективный анализ?..
стрелками.
Спасибо) Плохо, что просчитался я с телами позвонков (( А больше снимков нет по данному пациенту? Коллеги, а деструкция действительно видна, если отойки подальше от монитора
Спасибо за подсказку!) Отошёл, посмотрел. И ещё пару-тройку деструкций таких же в телах позвонков спокойно теперь я нашёл!)) Автор случая молчит, но всё же ретроспективой решил заманить!..
А ещё, если подольше смотреть, то как в иллюзорных картинках, многое можно так насмотреть. Я, вот, теперь вижу гемангиому. Она, стопудово!
--------------
"Просто, по видимости, не видеть логики в очевидных вещах - это тоже одно из свойств некоторых умов, наряду с грустными думами о свойствах ума других." © Vega 08/10/2011
и все же очаг убыли костной ткани 2см виден хорошо ;)
Не ограничивайте свою мысль
Живешь пока учишься
Ecrasez l’infame
Если прищурить глаз?)
Зная возраст пациента, вариации сосудистого рисунка за жизнь могут нарисовать и не такое ещё.
Вспоминается остеоденситометрическое заключение об асептическом некрозе головки бедра...
Любой аппарат отдыхает, когда коллега Mitkampfer прищуривает правый глаз!)
--------------
"Просто, по видимости, не видеть логики в очевидных вещах - это тоже одно из свойств некоторых умов, наряду с грустными думами о свойствах ума других." © Vega 08/10/2011
Возможно и есть, но не показали.
.
Не ограничивайте свою мысль
Живешь пока учишься
Ecrasez l’infame
Что Вы имели в виду понятно, но трактовать как деструкцию?
Томограмму, хотя бы линеечку.
Не показали.
.
какие вы "глазастые"
+1
МРТ было. Только не представить). Аппарат сломался, чинят вторые сутки...
Не ограничивайте свою мысль
Живешь пока учишься
Ecrasez l’infame