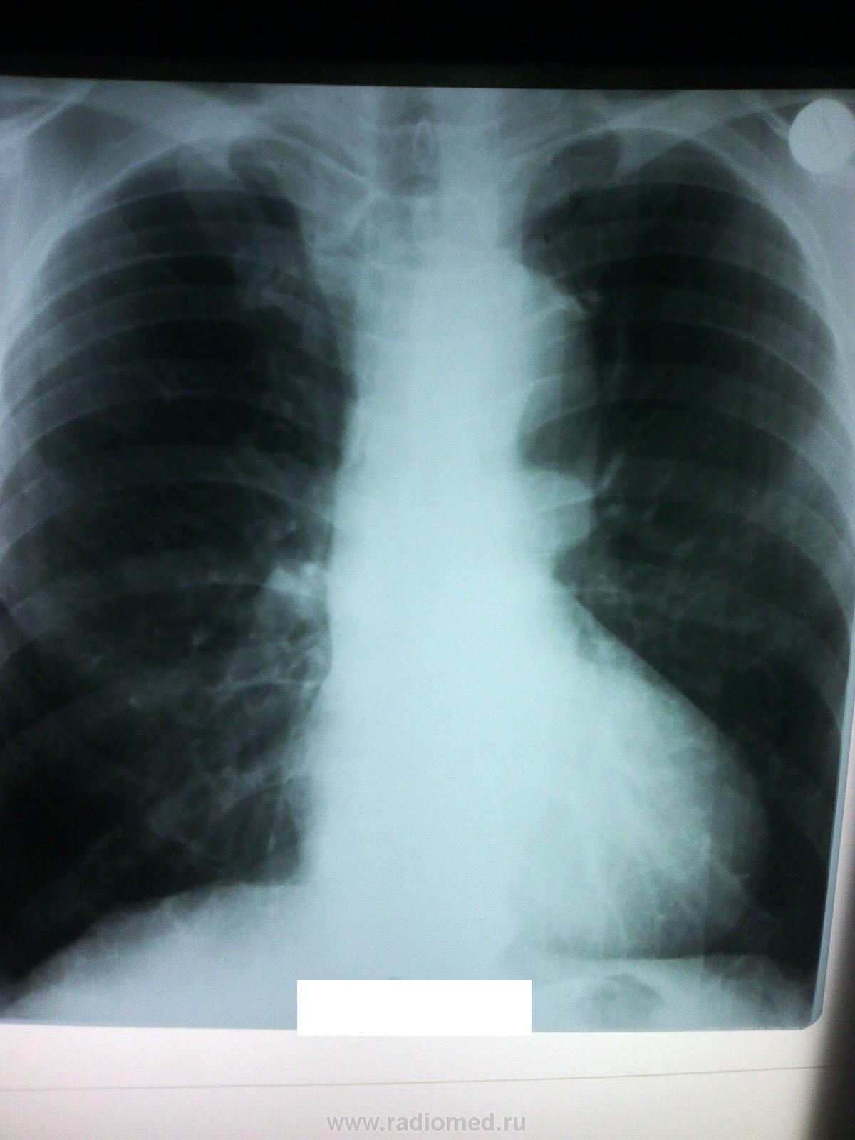
Пациент, 62 года, DS:ХОБЛ. Есть только заключение КТ и распечатка на листке бумаги. Архива нет. Тревожит корень слева. Хотелось бы узнать вашего мнения. P.S> Обработать изображения не имею возможностей (
Алексей Станиславович, вероятнее всего)) Но я в другом городе, и до Вольска достучаться нет возможностей. Ваше мнение по материалу? Я просто удивлен, что КТ никак не комментирует данные изменения...
Спасибо! Вот и мое впечатление, что сосуд, но что за сосуд? Аорта на этих жалостливых распечатках ровная, четкая. Сам пациент никаких жалоб не предъявляет, ничего не тревожит. Была мысль за аномалию какую-либо...
Думается, на КТ человек попал не просто так, а после РГ с подозрением на объёмную патологию корня легкого (вероятно, с описанием и заключением, а то и со снимками - местами любят такое на КТ). Ну, и если патология не подтверждается, какое-то объяснение изменениям корня, выявленным на РГ, должно быть? Или: "Норма и все, не знаю, что вам привиделось!"?
Думается, на КТ человек попал не просто так, а после РГ с подозрением на объёмную патологию корня легкого
И она, судя по протоколу, на КТ исключена.
Алексей Станиславович wrote:
..(вероятно, с описанием и заключением, а то и со снимками - местами любят такое на КТ).
Лично я на снимках не настаиваю.
Алексей Станиславович wrote:
..Ну, и если патология не подтверждается, какое-то объяснение изменениям корня, выявленным на РГ, должно быть?
Думаю, что нет. Представьте себе, что на рентгеновской норме в легких, терапевт спрашивает: "А что же тогда я слышу в легких?"
Алексей Станиславович wrote:
..Или: "Норма и все, не знаю, что вам привиделось!"?
Я бы сократил до "Норма и все..." При одном непременном условии, что там действительно норма. А что мы с вами можем сазать по 6 изображениям? Прям УЗИ какое-то (шучу:)))
Бакулевцы, ксати, тоже пленку экономят, прилепляют пару отпринскринтеных изображений к описанию и фсё! Типа: "Верьте нам, люди". У нх медпринтер даже в чулан задвинут.
Думается, на КТ человек попал не просто так, а после РГ с подозрением на объёмную патологию корня легкого (вероятно, с описанием и заключением, а то и со снимками - местами любят такое на КТ). Ну, и если патология не подтверждается, какое-то объяснение изменениям корня, выявленным на РГ, должно быть? Или: "Норма и все, не знаю, что вам привиделось!"?
Не похоже на объемную патологию, а на легочную гипертензию?
Уважаемый Андрей Юрьевич, я и не ругал КТ-шников. ПРосто за последнюю неделю приносили заключения с КТ, где было много глупостей, по-этому я доверяю, но проверяю... Всем спасибо за комментарии!
Уважаемый Kintire! Вы зря не ругаете заключения! Объективно КТ , конечно " видит " лучше. Вопрос :" кто правит лошадкой!", иногда в заключениях бредятина супер! Но КТ не виноват , а те кто на нем.
Автомат лучше самострела, вопрос в том, кто стреляет и как...
Добавил прямой
Есть крупное подозрение, что дайкомы у коллеги VolskCRB)))
С уважением,
Алексей Станиславович, вероятнее всего)) Но я в другом городе, и до Вольска достучаться нет возможностей. Ваше мнение по материалу? Я просто удивлен, что КТ никак не комментирует данные изменения...
Моё впечатление - сосуд. Тоже непонятно про КТ... Может, как норму расценили.
С уважением,
Спасибо! Вот и мое впечатление, что сосуд, но что за сосуд? Аорта на этих жалостливых распечатках ровная, четкая. Сам пациент никаких жалоб не предъявляет, ничего не тревожит. Была мысль за аномалию какую-либо...
Теперь расскажите мне, бестолковому, за что ругают КТ-шников?
Андрей Юрьевич
Никто и не ругает. Но особенность (как минимум) есть?
С уважением,
Не знаю. А разве это имеет клиническое значение?
Андрей Юрьевич
Думается, на КТ человек попал не просто так, а после РГ с подозрением на объёмную патологию корня легкого (вероятно, с описанием и заключением, а то и со снимками - местами любят такое на КТ). Ну, и если патология не подтверждается, какое-то объяснение изменениям корня, выявленным на РГ, должно быть? Или: "Норма и все, не знаю, что вам привиделось!"?
С уважением,
И она, судя по протоколу, на КТ исключена.
Лично я на снимках не настаиваю.
Думаю, что нет. Представьте себе, что на рентгеновской норме в легких, терапевт спрашивает: "А что же тогда я слышу в легких?"
Я бы сократил до "Норма и все..." При одном непременном условии, что там действительно норма. А что мы с вами можем сазать по 6 изображениям? Прям УЗИ какое-то (шучу:)))
Бакулевцы, ксати, тоже пленку экономят, прилепляют пару отпринскринтеных изображений к описанию и фсё! Типа: "Верьте нам, люди". У нх медпринтер даже в чулан задвинут.
Андрей Юрьевич
Не похоже на объемную патологию, а на легочную гипертензию?
В протоколе указано: "Крупные сосуды не расширены"
Андрей Юрьевич
Ок, понял))
С уважением,
Уважаемый Андрей Юрьевич, я и не ругал КТ-шников. ПРосто за последнюю неделю приносили заключения с КТ, где было много глупостей, по-этому я доверяю, но проверяю... Всем спасибо за комментарии!
Уважаемый Kintire! Вы зря не ругаете заключения! Объективно КТ , конечно " видит " лучше. Вопрос :" кто правит лошадкой!", иногда в заключениях бредятина супер! Но КТ не виноват , а те кто на нем.
Автомат лучше самострела, вопрос в том, кто стреляет и как...