ОГК

Пол пациента: 
Тип патологии: 
Методы исследования: 

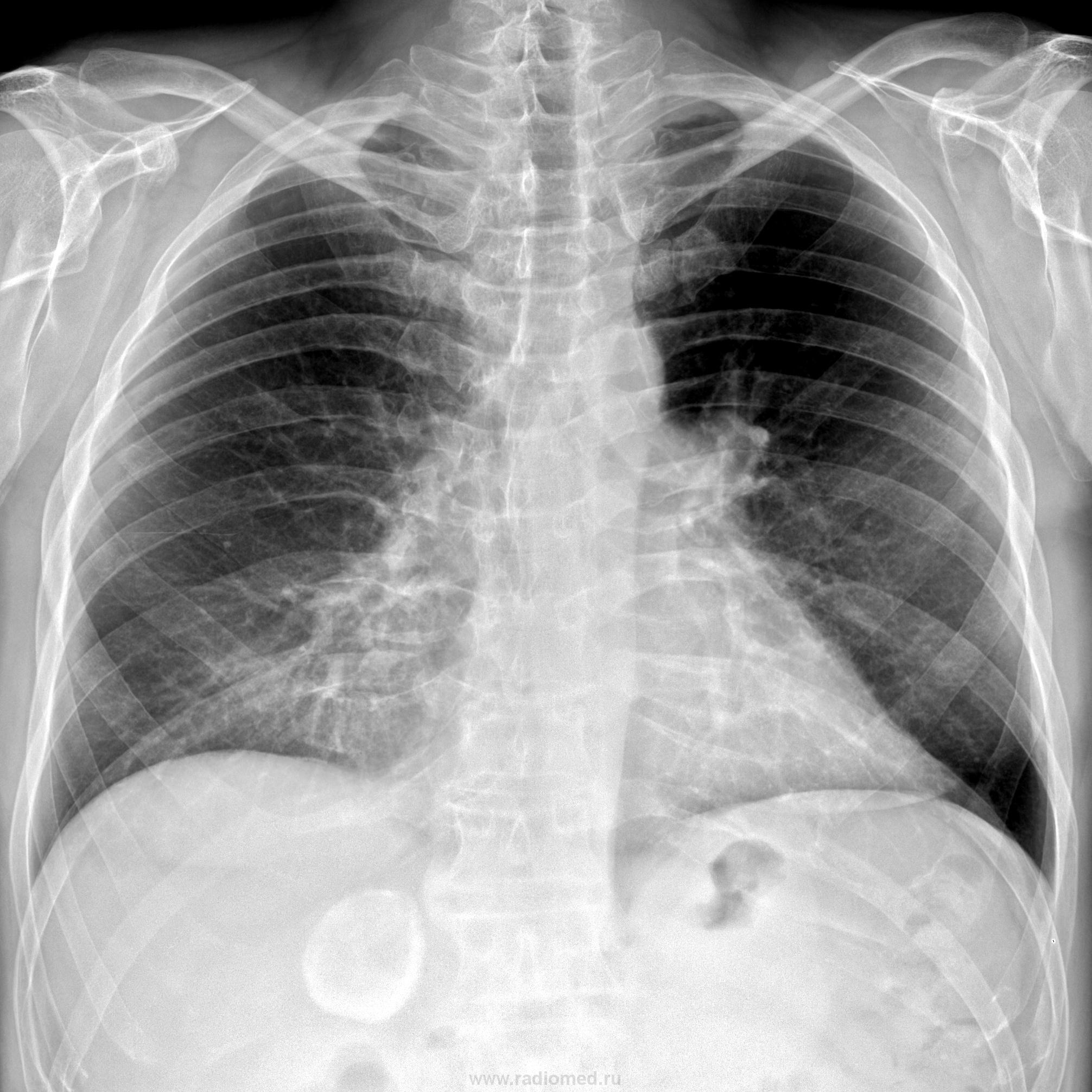
Пациент 1966 г.р. перенес ОРЗ неделю назад с кашлем и субфебрильной Т. По прямому предположила пневмонию. А на боковом- есть ли изменения? подскажите. А еще-что за округлая тень справа в брюшной полости?

  • https://radiomed.ru/sites/default/files/styles/case_slider_image/public/user/20421/z05_2.jpg?itok=WYKFc3Io
ID:39203
maker4ik аватар
Не на сайте
Был на сайте: 8 лет 11 месяцев назад
Зарегистрирован: 19.10.2011 - 17:49
Публикации: 2682

Не вижу пневмонии. Эхиноккок?

алкс аватар
Не на сайте
Был на сайте: 10 лет 5 месяцев назад
Зарегистрирован: 24.10.2012 - 22:55
Публикации: 2915

Предположу заболевание почки-надпочечника. УЗИ по -любому. Пневмонии как-то не видно.

NIL аватар
NIL
Не на сайте
Был на сайте: 4 дня 5 часов назад
Зарегистрирован: 25.11.2013 - 20:50
Публикации: 18218

Это может быть и огроменный камень в желчном пузыре. Пневмонии нет.


"Слушай всех, прислушивайся к немногим, решай сам".©

Сергей Кузьминов аватар
Не на сайте
Был на сайте: 1 год 5 месяцев назад
Зарегистрирован: 06.10.2012 - 15:51
Публикации: 11813

Пневмонии не вижу.Про живот не знаю, надо УЗИ.

алкс аватар
Не на сайте
Был на сайте: 10 лет 5 месяцев назад
Зарегистрирован: 24.10.2012 - 22:55
Публикации: 2915

NIL wrote:

Это может быть и огроменный камень в желчном пузыре. Пневмонии нет.

Вполне.

Фил аватар
Не на сайте
Был на сайте: 7 лет 1 месяц назад
Зарегистрирован: 13.09.2011 - 16:24
Публикации: 137

В проекции   6-7 сегмента печени-  округлая тень   эхинококковой   кисты с обызветствленными стенками  . Да- на  УЗИ печени и-  что там еще делают ? Антитела к эхинококку , кажется ,  исследуют . 

Татьяна Холод аватар
Не на сайте
Был на сайте: 2 года 4 месяцев назад
Зарегистрирован: 04.06.2014 - 22:28
Публикации: 355

Как тогда расценить вот эту область? Или здесь все норма?

Приложения: 
1_z04.jpg
Kintire аватар
Не на сайте
Был на сайте: 9 лет 11 месяцев назад
Зарегистрирован: 25.02.2013 - 20:50
Публикации: 75

Оценил бы как уплотнение легочного рисунка, за счет диффузного пневмофиброза. Норма.

Дмитрий Волегов аватар
Не на сайте
Был на сайте: 3 года 11 месяцев назад
Зарегистрирован: 22.05.2013 - 00:32
Публикации: 1148

Пневмонии не вижу. По животу - дообследовать. Здесь, например, по УЗИ - киста почки:

Приложения: 
kista.jpg

С Уважением, Дмитрий.

Катенёв Валентин Львович аватар
Не на сайте
Был на сайте: 7 лет 5 месяцев назад
Зарегистрирован: 22.03.2008 - 22:15
Публикации: 54876

Что? Архива вообще никакого нет?

atexta аватар
Не на сайте
Был на сайте: 3 года 2 месяцев назад
Зарегистрирован: 08.02.2014 - 18:41
Публикации: 4842

Дмитрий Волегов wrote:

Пневмонии не вижу. По животу - дообследовать. Здесь, например, по УЗИ - киста почки:

Дмитрий, спасибо, интересно

А пневмонии не вижу

Не нам судить…

Nobody аватар
Не на сайте
Был на сайте: 11 лет 5 месяцев назад
Зарегистрирован: 15.03.2014 - 20:29
Публикации: 2013

Татьяна Холод wrote:

Пациент 1966 г.р. перенес ОРЗ неделю назад с кашлем и субфебрильной Т. По прямому предположила пневмонию. А на боковом- есть ли изменения? подскажите.

Поскольку архива у нас нет, есть только новые одни негативы, я заключил бы остаточные изменения справа в средней доле. И Никто с этой версии меня не подвинет.))

"Лишь утратив всё до конца, мы обретаем свободу." F.C.

Сергей Кузьминов аватар
Не на сайте
Был на сайте: 1 год 5 месяцев назад
Зарегистрирован: 06.10.2012 - 15:51
Публикации: 11813

Nobody wrote:

Татьяна Холод wrote:

Пациент 1966 г.р. перенес ОРЗ неделю назад с кашлем и субфебрильной Т. По прямому предположила пневмонию. А на боковом- есть ли изменения? подскажите.

Поскольку архива у нас нет, есть только новые одни негативы, я заключил бы остаточные изменения справа в средней доле. И Никто с этой версии меня не подвинет.))

Согласен.

Nobody аватар
Не на сайте
Был на сайте: 11 лет 5 месяцев назад
Зарегистрирован: 15.03.2014 - 20:29
Публикации: 2013

Сергей Кузьминов wrote:

Nobody wrote:

Татьяна Холод wrote:

Пациент 1966 г.р. перенес ОРЗ неделю назад с кашлем и субфебрильной Т. По прямому предположила пневмонию. А на боковом- есть ли изменения? подскажите.

Поскольку архива у нас нет, есть только новые одни негативы, я заключил бы остаточные изменения справа в средней доле. И Никто с этой версии меня не подвинет.))

Согласен.

Сергей, Вы согласны с моими остаточными изменениями после пневмонии, что была неделю тому назад? Или что была много раньше - давным-давно, как в сказках ещё говорят?))

"Лишь утратив всё до конца, мы обретаем свободу." F.C.

Сергей Кузьминов аватар
Не на сайте
Был на сайте: 1 год 5 месяцев назад
Зарегистрирован: 06.10.2012 - 15:51
Публикации: 11813

Скорее с Вашими свежими изменениями.Впрочем, назначаем динамику через месяц и станет яснее.

Nobody аватар
Не на сайте
Был на сайте: 11 лет 5 месяцев назад
Зарегистрирован: 15.03.2014 - 20:29
Публикации: 2013

Сергей Кузьминов wrote:

Скорее с Вашими свежими изменениями.Впрочем, назначаем динамику через месяц и станет яснее.

Сергей, а пока что будем писать в заключении? Чтобы полечили остаточные или оставили в покое, нам для контроля?) А если будет такое и через месяц - что скажем-напишем мы в протоколе?..

"Лишь утратив всё до конца, мы обретаем свободу." F.C.

Сергей Кузьминов аватар
Не на сайте
Был на сайте: 1 год 5 месяцев назад
Зарегистрирован: 06.10.2012 - 15:51
Публикации: 11813

Пока сказал бы "фаза неполного рассасывания".А там видно будет.

алкс аватар
Не на сайте
Был на сайте: 10 лет 5 месяцев назад
Зарегистрирован: 24.10.2012 - 22:55
Публикации: 2915

Сергей Кузьминов wrote:

Пока сказал бы "фаза неполного рассасывания".А там видно будет.

Только не надо фаз, стадий и т.д..  Просто - какой-то неуточненный участок уплотнения и все. Типа "Справа  в средней доле линейный участок уплотнения". Про пневмонию - это к терапевту ему решать и отвечать, и не забудем, что рентгенкартина отстает от клиники, терапевт говорит - здоров, а по снимку еще что-то есть.

Nobody аватар
Не на сайте
Был на сайте: 11 лет 5 месяцев назад
Зарегистрирован: 15.03.2014 - 20:29
Публикации: 2013

алкс wrote:

Сергей Кузьминов wrote:

Пока сказал бы "фаза неполного рассасывания".А там видно будет.

Только не надо фаз, стадий и т.д..  Просто - какой-то неуточненный участок уплотнения и все. Типа "Справа  в средней доле линейный участок уплотнения". Про пневмонию - это к терапевту ему решать и отвечать, и не забудем, что рентгенкартина отстает от клиники, терапевт говорит - здоров, а по снимку еще что-то есть.

Терапевт, прочитав в описании наш этот участок, решит разобраться - выполнит пациенту КТ да с контрастом!)) Консолидацию, может, лучше уже написать? Сразу? С опережением - приоткрывая дверь на КТ, так сказать?))

"Лишь утратив всё до конца, мы обретаем свободу." F.C.