ОГК

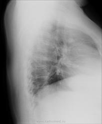
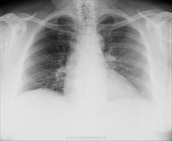
Женщина, 64года, пришла на прием с жалобами на длительный кашель. Снимки не очень качественные и без описания. Помогите разобраться. Признаки застоя? Интенсивная очаговая тень слева это что?

 

  • https://radiomed.ru/sites/default/files/styles/case_slider_image/public/user/19361/9b1f1c13e70c4a6b9ab5ee775a461081_1.jpg?itok=AX_Zy_oh
ID:46316
Almo аватар
Не на сайте
Был на сайте: 14 часов 27 минут назад
Зарегистрирован: 28.09.2008 - 18:50
Публикации: 8286

имхо: слева параортально петрификт.Признаков застойных изменений не вижу.

NIL аватар
NIL
Не на сайте
Был на сайте: 1 месяц 2 недели назад
Зарегистрирован: 25.11.2013 - 20:50
Публикации: 18208

Almo wrote:

имхо: слева параортально петрификт.Признаков застойных изменений не вижу.

Присоединяюсь 


"Слушай всех, прислушивайся к немногим, решай сам".©

Nikolas аватар
Не на сайте
Был на сайте: 4 недели 12 часов назад
Зарегистрирован: 21.12.2010 - 20:37
Публикации: 4560

См. рис. Обызвествленный ЛУ. Поддерживаю коллег.

Приложения: 
kalcinirovannyy_lu.jpg
Daniel' аватар
Не на сайте
Был на сайте: 3 месяцев 2 недели назад
Зарегистрирован: 27.06.2013 - 22:21
Публикации: 2210

можно ли этот петрификат назвать очагом Гона?

А. Горюнов аватар
Не на сайте
Был на сайте: 2 месяцев 3 недели назад
Зарегистрирован: 07.10.2012 - 12:12
Публикации: 2744

ИМХО. Петрификат - обызвествленный лимфатический узел, а очаг Гона - обызвествленный   участок первичного поражения легочной ткани.

Анатолий Петрович

Daniel' аватар
Не на сайте
Был на сайте: 3 месяцев 2 недели назад
Зарегистрирован: 27.06.2013 - 22:21
Публикации: 2210

А. Горюнов wrote:

ИМХО. Петрификат - обызвествленный лимфатический узел, а очаг Гона - обызвествленный   участок первичного поражения легочной ткани.

а разве при первичном туб комплексе не поражается л\узел, соответственно если болезнь не развилась в диссеминацию, л\узел обызвествляется, что и видим на данной рентгенограмме?

Nikolas аватар
Не на сайте
Был на сайте: 4 недели 12 часов назад
Зарегистрирован: 21.12.2010 - 20:37
Публикации: 4560

Участок дистрофии или некроза ткани, инкрустированный солями кальция можно называть петрификатом(petrificatum; греч. petros камень + лат. facio делать) , кальцинатом, обызвествленным очагом (фокусом). Очаг Гона - обызвествленный, петрифицированный, кальцинированный первичный аффект в лёгком. 

Daniel' аватар
Не на сайте
Был на сайте: 3 месяцев 2 недели назад
Зарегистрирован: 27.06.2013 - 22:21
Публикации: 2210

если я правильно понял, одним из исходов первичного туб комплекса (л\узла и очаг в легком) является его кальцинация и тогда очаг в легком называется очагом Гона, а л/узел просто кальцинированным л/узлом. хотя раньше думал что обызвествленный л/узел тоже можно называть очагом Гона.

Nikolas аватар
Не на сайте
Был на сайте: 4 недели 12 часов назад
Зарегистрирован: 21.12.2010 - 20:37
Публикации: 4560

Правильно. Кальцинированный (обызвествленный, петрифицированный) первичый аффект в лёгких  назван по имени чешского врача А. Гона (A. Ghon), тщательно изучившего его в 1912 г.