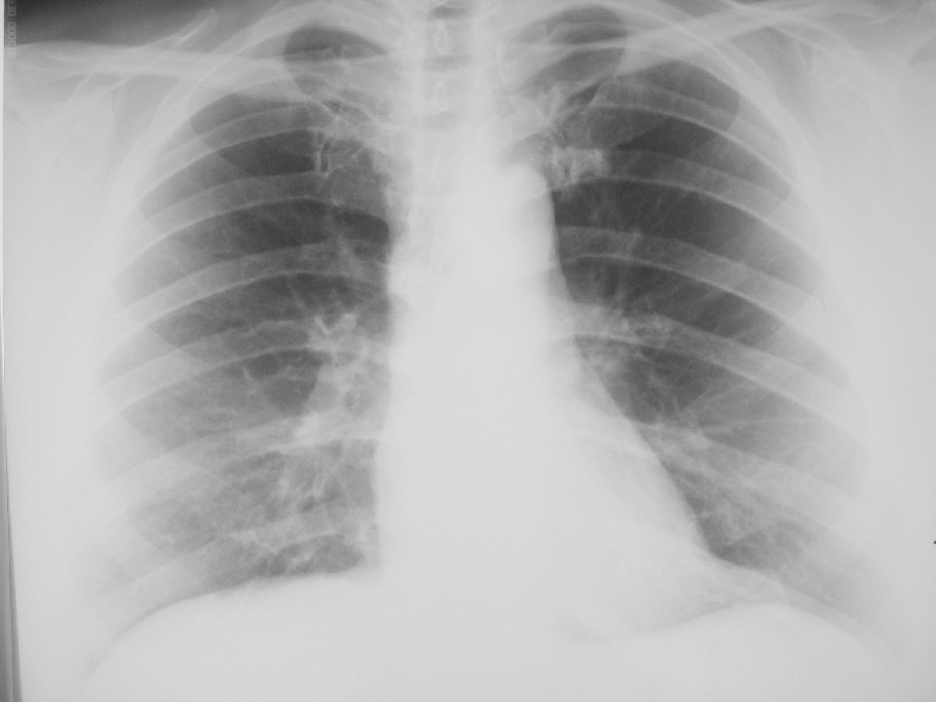
Пациентке около 70 лет, некоторое время назад была госпитализирована по поводу ущемленной грыжи, на р-графии ОГК - подозрение на центр рак правого легкого (в выписке только заключение), снимков на руках нет, рекомендовано обследование по м\ж. Сегодняшние снимки. Я никакой патологии, кроме пневмосклероза, не нахожу. А Вы, уважаемые коллеги?
Я с Вами солидарна.
"Слушай всех, прислушивайся к немногим, решай сам".©
мнение, что термин пневмосклероз не совсем правильный. Покажите, где Вы видите пневмосклероз.
Возможно, не очень хорошо сфотографировала, есть усиление и деформация легочного рисунка. В принципе, здесь это не так важно. Хотя, вообще, это интересная тема, замечала, что некоторые коллеги (в офф-лайне) ставят диагноз эмфизема, пневмосклероз, оттакливаясь от возраста больного.
+1
И я.
Для диагноза центральный рак основным методом обследования все же является бронхоскопия, а не рентген, поэтому вы вполне можете ничего не видеть.
Когда ничего не вижу, всегда счастлив сообщить об этом пациенту. О бронхоскопии даже не задумываюсь. Я не прав?
Думаю, что основным методом обследования (после клиники) остается классическая рентгенография. Далее для уточнения - КТ. И затем уже бронхоскопия, польза от которой будет лишь в случае удачной биопсии.
С Уважением, Дмитрий.
"Слушай всех, прислушивайся к немногим, решай сам".©
Бронхоскопия, как любой метод медицинского обследования, имеет показания. Или речь идет о профилактике?
С Уважением, Дмитрий.
Если на рентгенограмме норма, то зачем придумывать велосипед. Здесь нет ни намека на центральный рак
А я и признаков пневмосклероза не нахожу и эмфиземы признаков тоже не наблюдаю.)
Согласен, если есть показания для выполнения бронхоскопии, то метод, конечно, рулит. Но подозрение выставлено по снимкам (даже не по анамнезу кровохарканья), то есть либо рентгенолог обобщил не тот снимок, либо сам доктор был болен, либо пациент плохо уложен, либо звёзды не сошлись... - всё остальное также быть может!)
--------------
"Просто, по видимости, не видеть логики в очевидных вещах - это тоже одно из свойств некоторых умов, наряду с грустными думами о свойствах ума других." © Vega 08/10/2011
"Слушай всех, прислушивайся к немногим, решай сам".©
Не правы. Основным методом диагностики (и единственным достоверным) центрального рака легкого является бронхоскопия, поэтому если вы ничего не увидели, это не значит, что ничего нет. Если при выписке дана рекомендация обследовать для исключения центрального рака, то это в первую очередь бронхоскопия, а не рентген, зачем к вам направляли - мне не ясно.
С уважением,
Ну да, без снимков на руках, только по заключению сразу засовывать в пациентку бронхоскоп это конечно отличное обследование. Указаний на то что у пациентки есть кровохаркание или клиника нет, заключение дано на основании снимка в стационаре, при повторном снимке почти голубая норма - так зачем человеку бронхоскопия, действительно можно успокоить пациентку и отпустить