Здраствуйте.Только начинаю трудовую деятельность .Вот возник вопрос по пациенту .Мужчина 40 лет. ID:48244 Чт, 27/06/2013 - 10:50 #1 Андрей Юрьевич Не на сайте Был на сайте: 2 месяцев 1 неделя назад Зарегистрирован: 16.11.2008 - 22:16 Публикации: 18101 А где же вопрос, собственно? Андрей Юрьевич Чт, 27/06/2013 - 10:59 #2 Les_singl Не на сайте Был на сайте: 12 лет 6 месяцев назад Зарегистрирован: 27.06.2013 - 10:15 Публикации: 7 Средостенье смещено несколько вправо.нет? и легкое будто бы ротировано? Чт, 27/06/2013 - 11:13 #3 Андрей Юрьевич Не на сайте Был на сайте: 2 месяцев 1 неделя назад Зарегистрирован: 16.11.2008 - 22:16 Публикации: 18101 На мой взгляд, средостение не смещено. ///легкое будто бы ротировано?/// А что такое "легкое ротировано"? И признак чего это? Андрей Юрьевич Чт, 27/06/2013 - 11:16 #4 Les_singl Не на сайте Был на сайте: 12 лет 6 месяцев назад Зарегистрирован: 27.06.2013 - 10:15 Публикации: 7 Ладно,все понятно.сам разберусь. P.S. спасибо за помощь Чт, 27/06/2013 - 13:14 #5 Mihail63 Не на сайте Был на сайте: 9 лет 3 месяцев назад Зарегистрирован: 20.11.2012 - 10:31 Публикации: 154 Корни легких расширены, полицикличны Чт, 27/06/2013 - 13:25 #6 Anatolii Не на сайте Был на сайте: 2 года 8 месяцев назад Зарегистрирован: 27.06.2013 - 13:18 Публикации: 2 Я бы поставил базальный пневмосклероз. Увеличение ЛЖ. Р - картина лимфоаденопатии . и рекомендованно Кт с контрастом. а они уже разберутся. Чт, 27/06/2013 - 14:02 #7 Сергей Кузьминов Не на сайте Был на сайте: 1 год 4 месяцев назад Зарегистрирован: 06.10.2012 - 15:51 Публикации: 11813 Средостение посерёдке.О ротации лёгких слышу впервые.Здесь неструктурны корни,усилен рисунок в прикорневых зонах.Согласуйте с клиникой. Чт, 27/06/2013 - 16:33 #8 Gorbovsky Не на сайте Был на сайте: 6 лет 4 месяцев назад Зарегистрирован: 03.08.2011 - 18:05 Публикации: 348 Доля непарной вены справа по-видимому? Было бы величайшей ошибкой думать (с) Чт, 27/06/2013 - 16:34 #9 Глазков Игорь А... Не на сайте Был на сайте: 1 год 1 месяц назад Зарегистрирован: 19.12.2008 - 20:41 Публикации: 1597 ничего не увидел. Но хотелось бы немного клиники, жалоб. Прийди к Себе Чт, 27/06/2013 - 16:38 #10 Катенёв Валенти... Не на сайте Был на сайте: 7 лет 4 месяцев назад Зарегистрирован: 22.03.2008 - 22:15 Публикации: 54876 Gorbovsky wrote: Доля непарной вены справа по-видимому? Доля то доля..., а вот только ли "доля"?Приложения: Чт, 27/06/2013 - 16:40 #11 Катенёв Валенти... Не на сайте Был на сайте: 7 лет 4 месяцев назад Зарегистрирован: 22.03.2008 - 22:15 Публикации: 54876 Бок.Приложения: Чт, 27/06/2013 - 16:41 #12 Mila85 Не на сайте Был на сайте: 3 года 5 месяцев назад Зарегистрирован: 15.03.2012 - 16:59 Публикации: 1790 Ага, корни неструктурные, расширенные, и может кажется обеднение легочного рисунка на периферии.. диф. диагноз между лимфаденопатией и сердечнососудистой патологией Чт, 27/06/2013 - 19:52 #13 Les_singl Не на сайте Был на сайте: 12 лет 6 месяцев назад Зарегистрирован: 27.06.2013 - 10:15 Публикации: 7 Спасибо всем огромное за помощь! Чт, 27/06/2013 - 23:34 #14 Hourses Не на сайте Был на сайте: 8 месяцев 3 недели назад Зарегистрирован: 12.10.2010 - 20:10 Публикации: 83 Катенёв Валентин Львович wrote: Gorbovsky wrote: Доля непарной вены справа по-видимому? Доля то доля..., а вот только ли "доля"? Согласен с Вами, Валентин Львович. Мне непонятно, что это за контур такой дугобразный, от верхушки до диафрагмы. На долю непарной вены не тянет.Приложения:
А где же вопрос, собственно?
Андрей Юрьевич
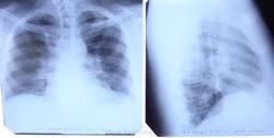
Средостенье смещено несколько вправо.нет? и легкое будто бы ротировано?
На мой взгляд, средостение не смещено. ///легкое будто бы ротировано?/// А что такое "легкое ротировано"? И признак чего это?
Андрей Юрьевич
Ладно,все понятно.сам разберусь.
P.S. спасибо за помощь
Корни легких расширены, полицикличны
Я бы поставил базальный пневмосклероз. Увеличение ЛЖ. Р - картина лимфоаденопатии . и рекомендованно Кт с контрастом. а они уже разберутся.
Средостение посерёдке.О ротации лёгких слышу впервые.Здесь неструктурны корни,усилен рисунок в прикорневых зонах.Согласуйте с клиникой.
Доля непарной вены справа по-видимому?
Было бы величайшей ошибкой думать (с)
ничего не увидел. Но хотелось бы немного клиники, жалоб.
Прийди к Себе
Доля то доля..., а вот только ли "доля"?
Бок.
Ага, корни неструктурные, расширенные, и может кажется обеднение легочного рисунка на периферии.. диф. диагноз между лимфаденопатией и сердечнососудистой патологией
Спасибо всем огромное за помощь!
Согласен с Вами, Валентин Львович. Мне непонятно, что это за контур такой дугобразный, от верхушки до диафрагмы. На долю непарной вены не тянет.