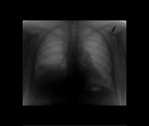
Пол пациента: Мужской пол Тип патологии: Воспалительное заболевание неинфекционной природы Область исследования: Грудная клетка и верхние дыхательные пути Методы исследования: Rg Мужчина 1981 г.р. поступил с 2ухсторонней пневманией (1 снимок) Сейчас динамика мне непонятная. Помогите пожалуйста разобраться со 2ым снимком. ID:61751 ID:61753 Цель публикации: Консультация Пт, 25/12/2015 - 09:41 #1 Юрий Владимирович Не на сайте Был на сайте: 5 лет 5 месяцев назад Зарегистрирован: 15.04.2013 - 16:53 Публикации: 550 Клиника пневмонии есть? По снимку сомнительно Релаксация правого купола с дисковидными ателектазами Пт, 25/12/2015 - 09:47 #2 NIL Не на сайте Был на сайте: 3 недели 2 дня назад Зарегистрирован: 25.11.2013 - 20:50 Публикации: 18217 Считаю, так привильнее Делайте правую боковую проекцию.Иначе разберётесь. Приложения: "Слушай всех, прислушивайся к немногим, решай сам".© Пт, 25/12/2015 - 10:06 #3 Регина Маратовна Не на сайте Был на сайте: 7 лет 5 месяцев назад Зарегистрирован: 02.10.2015 - 09:33 Публикации: 16 Сделали пр.бок. В ан-зе лимфома Ходжкина слева. Нет ли сейчас картины центрального справа? Ателектаз S3 cправа Пт, 25/12/2015 - 10:19 #4 NIL Не на сайте Был на сайте: 3 недели 2 дня назад Зарегистрирован: 25.11.2013 - 20:50 Публикации: 18217 Слева -динамика положительная. Справа, считаю, пневмония в S9 не разрешилась. Дисковидные ателектазы в ср. доле справа. Увеличение паратрахеальных лф. узлов. Релаксация правого купола лиафрагмы. "Слушай всех, прислушивайся к немногим, решай сам".© Пт, 25/12/2015 - 10:20 #5 Катенёв Валенти... Не на сайте Был на сайте: 7 лет 6 месяцев назад Зарегистрирован: 22.03.2008 - 22:15 Публикации: 54876 Хочу "линеечку" в стандартных срезах. Пт, 25/12/2015 - 10:20 #6 NIL Не на сайте Был на сайте: 3 недели 2 дня назад Зарегистрирован: 25.11.2013 - 20:50 Публикации: 18217 С лф. узлами, видимо, погорячилась. Это удлиненная, изогнутая аорта. "Слушай всех, прислушивайся к немногим, решай сам".© Пт, 25/12/2015 - 10:40 #7 Регина Маратовна Не на сайте Был на сайте: 7 лет 5 месяцев назад Зарегистрирован: 02.10.2015 - 09:33 Публикации: 16 Рекомендовала конс.онколога все же и КТ легких. Уж больно много всего там. А тень слева, это смещение сердца? Пт, 25/12/2015 - 14:20 #8 Agr_Ai Не на сайте Был на сайте: 1 месяц 1 неделя назад Зарегистрирован: 02.09.2014 - 14:10 Публикации: 1396 Ничего серъёзного не вижу Пт, 25/12/2015 - 14:44 #9 NIL Не на сайте Был на сайте: 3 недели 2 дня назад Зарегистрирован: 25.11.2013 - 20:50 Публикации: 18217 Регина Маратовна wrote: А тень слева, это смещение сердца? Смещение за счёт выраженной релаксации диафрагмы. Приложения: "Слушай всех, прислушивайся к немногим, решай сам".© Пт, 25/12/2015 - 18:49 #10 И.Бондаренко Не на сайте Был на сайте: 2 дня 6 часов назад Зарегистрирован: 13.09.2011 - 22:55 Публикации: 9214 Хоть признаков жидкости нет, сделайте УЗИ плевральной полости, на всякий случай.
Клиника пневмонии есть?
По снимку сомнительно
Релаксация правого купола с дисковидными ателектазами
Считаю, так привильнее
Делайте правую боковую проекцию.Иначе разберётесь.
"Слушай всех, прислушивайся к немногим, решай сам".©
Сделали пр.бок. В ан-зе лимфома Ходжкина слева. Нет ли сейчас картины центрального справа? Ателектаз S3 cправа
Слева -динамика положительная. Справа, считаю, пневмония в S9 не разрешилась. Дисковидные ателектазы в ср. доле справа. Увеличение паратрахеальных лф. узлов. Релаксация правого купола лиафрагмы.
"Слушай всех, прислушивайся к немногим, решай сам".©
Хочу "линеечку" в стандартных срезах.
С лф. узлами, видимо, погорячилась. Это удлиненная, изогнутая аорта.
"Слушай всех, прислушивайся к немногим, решай сам".©
Рекомендовала конс.онколога все же и КТ легких. Уж больно много всего там. А тень слева, это смещение сердца?
Ничего серъёзного не вижу
"Слушай всех, прислушивайся к немногим, решай сам".©
Хоть признаков жидкости нет, сделайте УЗИ плевральной полости, на всякий случай.