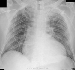
Сердце расширено и за счет правого желудочка тоже (впрочем - снят лежа). Но причина кровохарканья, на мой скромный взгляд, все же в туберкулезе. Вроде и каверны есть.
по снимку такого качества, сказать точнее сложновато.
Попыталась посмотреть на увеличении, и вот, что мне бросилось в глаза:
-левая верхушка-инфильтрат или старое, не имеет значения-кровь не оттуда
-мне более интересно правое легкое: уменьшено в объеме? возможно-бронхоэктазы в нижнем легочном поле? а в среднем - толстостенная полость с неровными контурами и с "дорожкой"? (Все коряво обвела, как могла :) )
Расширение границ сердца, застой в лёгких. Полости я не вижу, по моему воздушный столб трахеи смещён вправо, а прозрачность легочного поля слева на верхушке снижена. Может рак?
Справа апикально мерещится воздух (пневматоракс или правда мерещится?). Ну и сосудистый рисунок усилен, сердце увеличено. И все. Туберкулез с кавернами кажутся слегка надуманными, но у меня и опыта 0.
1005 китайское предупреждение себе самой-не делай "умных" замечаний в конце недели и вот-вот в отпуске-но... У меня складывается впечатление, что межреберные промежутки слева несколько уже, верхушка затемнена (частичный ателектаз верхней доли ?) + к этому кровь-как бы не вышло в итоге образование верхнедолевого бронха?
Есть DICOM. Уважаемые коллеги! Опишите протоколом для всех врачей. Ведь сайт Радиомед - школа взаимного обучения. Даю ссылку. Все ли сделал правильно? Посоветуйте более удобные файлообменники. Жду ваших мнений.
Ближе к теме клинического наблюдения. Показывайте профессиональную эрудицию. Все остальное после окончательного диагноза. Диагноза-то нет, даже после пламенного призыва, "дайком бы мне, дайком". С уважением Nikolas
Легочное кровоизлияние. Бисегментарное верхнедолевое снижение пневматизации по типу матового стекла с утолщением долькового интерстиция + гидроторакс слева, лимфаденопатия парааортальных, паратрахеальных (и бронхопульмональных?) лимфоузлов. От банальной пневмонии с диапедезом эритроцитов до кровоизлияния из артерио-венозного шунта / тромбоза сегментарной верхнедолевой ветви левой ЛА. Без контрастирования - гадание на нативной гуще. Бронхоскопия в помощь. И клиника, её развитие. Имея только то, что показано, написала бы неполный инфаркт S1+2 слева под вопросом.
Приложения:
"Предоставляя весь смысл и совершенство в распоряжение одного только Бога, вы избавляете себя от бездны хлопот." Джон Уитборн.
Легочное кровоизлияние. Бисегментарное верхнедолевое снижение пневматизации по типу матового стекла с утолщением долькового интерстиция + гидроторакс слева, лимфаденопатия парааортальных, паратрахеальных (и бронхопульмональных?) лимфоузлов. От банальной пневмонии с диапедезом эритроцитов до кровоизлияния из артерио-венозного шунта / тромбоза сегментарной верхнедолевой ветви левой ЛА. Без контрастирования - гадание на нативной гуще. Бронхоскопия в помощь. И клиника, её развитие. Имея только то, что показано, написала бы неполный инфаркт S1+2 слева под вопросом.
Здравствуйте, Люба, если не трудно ответьте на несколько дилетантских вопросов. Этиология кровоизлияния связана с инфарктом какой-то артерии? По этой картине можно предположить, откуда истекала кровь? Как Вы считаете, дольки верхней доли левого лёгкого изначально были нормальные? На мой взгляд, они какое-то разномастные, с буллами что ли. Как Вы расцениваете патологию S2 правого лёгкого, инфаркт-пневмонии не может быть?
"Без умолку безумная девица"?...))) Ну какой из кошки оракул?) Мяукул разве что
Легочное кровоизлияние неизвестной природы. Даже контрастирование не всегда может ответить на вопрос, откуда кровануло, только сегмент можно предполагать. Судите сами: если есть артерио-венозная мальформация, то она законтрастируется, если свежая ТЭ сегментарной ветки ЛА с частичным сохранением кровотока - тоже будет видна... а если любая иная причина кровотечения (от нарушения свертываемости до малой опухоли бронха, от простого красного опеченения при пневмонии до анемии) - то не всегда контрастирование даст ответ.
Поражение S1+2, и её же артерии (а может, и вены, кто ж знает?). Что было изначально, тут сказать не сможет никто. Но тут не буллы, а неравномерность альвеолярного пропитывания, часть участков с сохранением нормальной паренхимы (не исключено, что в связи с особенностями кровоснабжения и коллатералей).
Думаю, справа застой или аналогичное микрокровоизлияние - на скорость это не влияет... главное, чтоб кровотечение не рецидивировало и не дало подобное в головной мозг. Для инфарктной пневмонии не хватает плотности - точнее, избыток воздушности. Инфарктная пневмония, даже субсегмента, будет обладать всеми классическими признаками, то бишь треугольник основанием к плевре и верхушкой к корню, по границе анатомической области, по типу консолидации, с сохранением просвета бронхов.
P.S. Единственное, что можно из причин исключить на 90%, это системность... т.к. поражение ограниченное. Васкулит, СКВ и прочие прелести маловероятны. В остальном - разгул фантазии)).
"Предоставляя весь смысл и совершенство в распоряжение одного только Бога, вы избавляете себя от бездны хлопот." Джон Уитборн.
Спасибо, Мяукул!)) и привет вашим Тараканам от моих)).
Не пропадайте, а то я уж собирался беспокоиться).
PS. Ой! Ещё вопрос: после того как Мы с Вами отменили все каверны с бронхоэктазами и пневмоторакс, мож отменим застой в легких и дилатацию левых отделов сердца, и правых заодно?
Эхо - хорошо, да и тут кое-что по КТ видно. Минусом бронхоэктазы и пневмоторакс, плюсом невыраженный застой и достаточно значимое расширение камер сердца слева (справа тоже несколько увеличены, но не столь выраженно).
Любовь С., может быть вопрос покажется глупым , закройте на это глаза, но.. почему именно кровоизлияние ??? Быть может есть какие -то определенные диагностические критерии ?
Эхо - хорошо, да и тут кое-что по КТ видно. Минусом бронхоэктазы и пневмоторакс, плюсом невыраженный застой и достаточно значимое расширение камер сердца слева (справа тоже несколько увеличены, но не столь выраженно).
Что значит, отпишусь от темы? Цурюк! Ещё вопросы появились)).
С сердцем поторопился: уже и сам увидел – увеличение левых камер сердца есть.
Но есть и значительное уменьшение объёма нижней доли левого лёгкого, причём не только от сдавления его выпотом (смотрим междолевую плевру). Ещё мне кажется, тут есть ателектаз S10 и, возможно, частичное спадение S6, S9. Или же медиастинальный выпот симулирует всё это? Я вижу разницу в плотности ЭТОЙ структуры с плотностью паракостального экссудата. Но тогда чем объяснить уменьшение объёма нижней доли?
Любовь С., может быть вопрос покажется глупым , закройте на это глаза, но.. почему именно кровоизлияние ??? Быть может есть какие -то определенные диагностические критерии ?
А в самом деле, ПОЧЕМУ и КАКИЕ?
И не надо закрывать глаза: на Вас смотрят Дети)). Огромными глазами, Волшебница!))
А ведь никто меня за когти не тянул)))))). Ок, взялась за хвостик, тащу всю мышку, а что делать!)
Не ходим далеко, смотрим Википедию (ну... а если там просто и достаточно для понимания, да и источники вполне себе приличные?)):
"Симптом «матового стекла» — неспецифический радиологический симптом, отражающий различные патологические изменения в лёгочной ткани на уровне альвеол. Визуализируется при компьютерной томографии как туманное, матовое снижение прозрачности лёгочной ткани с дифференцируемым рисунком сосудов и бронхов на этом фоне. Данный симптом может быть обусловлен частичным снижением воздушности лёгочных альвеол (транссудативной, экссудативной или иной природы), их частичным спадением (гиповентиляцией) или утолщением их стенок. Так как данный симптом неспецифичен, необходимо иметь в виду анамнестические данные, клиническую картину и сопутствующую патологию. В связи с известной субъективностью оценки наличия симптома «матового стекла», следует учитывать параметры сканирования и визуализации; так, слишком узкое лёгочное окно создаёт «пятнистость» изображения, искажающую истинную картину, а низкое разрешение и большая толщина срезов (более 4 мм) создают эффект усреднения, скрадывающий и размывающий мелкие детали.
Диффузные и фокальные изменения
Пневмонии и пневмониты любой этиологии (бактериальной, вирусной, грибковой и т. д.) являются одной из наиболее распространённых причин фокального или диффузного симптома «матового стекла», который может отражать либо неполное заполнение просвета альвеол содержимым (при начальных или остаточных воспалительных проявлениях), либо инфильтрацию альвеолярных стенок (внутридолькового интерстиция).
Помимо воспалительного процесса, диффузное снижение воздушности лёгочной ткани по типу «матового стекла» с утолщением междольковых перегородок может быть обусловлено отёком лёгких, острой посттрансплантационной реакцией. Схожая КТ-картина может выявляться в острой фазе диффузного альвеолярного кровотечения; распространённость зон «матового стекла» варьирует в зависимости от распространённости геморрагического пропитывания.
Перифокальный тип
Симптом «матового стекла» может отмечаться вокруг очагов уплотнения лёгочной ткани («симптом ореола»). Такая картина впервые была описана и считается типичной для раннего инвазивного аспергиллёза лёгких, хотя и не является достаточно специфичной; так, описаны случаи симптома ореола вокруг инфекционных, злокачественных очагов поражения лёгких. Подобная картина может наблюдаться вокруг «псевдоочагов» после биопсии лёгкого.
Мозаичный тип
Мозаичный паттерн распределения матового стекла может наблюдаться при инфильтративных (воспалительных, геморрагических и др.) изменениях лёгочной ткани, при неравномерной перфузии лёгких из-за хронической патологии лёгочных артерий (например, при хронической тромбоэмболии) или при обструкции терминальных отделов бронхиального дерева (облитерирующий бронхиолит, бронхиальная астма). Дифференцировать данные состояния (помимо соответствующих анамнеза и клинической картины) помогает анализ лёгочного рисунка на фоне относительно более плотной, «матовой» ткани. При инфильтративных изменениях картина лёгочного рисунка в смежных областях существенно не отличается; при обструктивных или гипоперфузионных изменениях лёгочный рисунок относительно более обогащён на фоне участков «матового стекла» (то есть, в действительности, неизменённой лёгочной ткани). Дифференцировать наличие экспираторного вздутия лёгочной ткани помогает КТ-исследование в фазе выдоха, способствующее выявлению «воздушных ловушек».
Множественные чётко отграниченные участки пониженной воздушности по типу «матового стекла», на фоне которых отмечается выраженное уплотнение интерстиция, в большей степени междолькового, характерны для альвеолярного протеиноза лёгких (такая картина носит название симптома «сумасшедшей исчерченности» или «булыжной мостовой»).
Источники
Jannette Collins, MD and Eric J. Stern, MD Ground glass opacity on CT scanning of the chest: What does it mean?. Applied Radiology (1998). Архивировано из первоисточника 18 мая 2012. Проверено 1 февраля 2012.
Георгиади С.Г., Котляров П.М Компьютерно - томографические признаки диффузных заболеваний легких. Вестник Российского Научного Центра рентгенорадиологии (2004). Архивировано из первоисточника 18 мая 2012. Проверено 1 февраля 2012.
M. Vogel, MD; H. Brodoefel, MD, T. Hierl, MD, R. Beck, MD, W.A. Bethge, MD, C.D. Claussen, PROF and M.S. Horger, MD Differences and similarities of cytomegalovirus and pneumocystis pneumonia in HIV-negative immunocompromised patients – thin section CT morphology in the early phase of the disease. British Journal of Radiology (2006). Архивировано из первоисточника 18 мая 2012. Проверено 1 февраля 2012."
Когда меня начнут цитировать, можно и на покой...эх! а я ведь еще так молода, и трёх лет стажа на КТ нету))). Если серьёзно, то не стоит воспринимать реплики белой кошки как евангелие, я способна заблуждаться, неистово и категорически))).
Признак не обязательно именно кровоизлияния, Светлана, но так чертовски подходит для кровохаркания у данного пациента...
P.S. Светлана, мне вопросы не кажутся глупыми... некоторые ответы - порой да, причём и свои тоже, но ПОТОМ .
P.P.S. Одно успокаивает, есть и другие КТшники, им слово).
Приложения:
"Предоставляя весь смысл и совершенство в распоряжение одного только Бога, вы избавляете себя от бездны хлопот." Джон Уитборн.
Спасибо за ответ и понимание , Любовь С. Все таки нет ничего специфичного для геморрагического пропитывания, выходит так ? То есть тут основой для суждений является преимущественно клиника , я имею ввиду кровохарканье ? Просто , у меня бы не возникло мыслей о кровоизлиянии и геморрагическом пропитывании , я думала бы о ТЭЛА, пневмониях и тд, наверное опыта маловато.
высказанные суждения о диагнозе. Пациент из реанимации переведен в терапию. При возможности покажу динамику процесса в легких.. Что же будет дальше? С уважением Nik
Картина старого туб. процесса. Томограммы бы..
Дилятация левых отделов сердца
Вылегжанина Юлия
Сердце расширено и за счет правого желудочка тоже (впрочем - снят лежа). Но причина кровохарканья, на мой скромный взгляд, все же в туберкулезе. Вроде и каверны есть.
Изменения в левой верхушке.
Что-то, кроме застоя в этимх легких есть, но по снимку такого качества, сказать точнее сложновато.
Хочешь сделать что-то нормально - сделай это сам!
Попыталась посмотреть на увеличении, и вот, что мне бросилось в глаза:
-левая верхушка-инфильтрат или старое, не имеет значения-кровь не оттуда
-мне более интересно правое легкое: уменьшено в объеме? возможно-бронхоэктазы в нижнем легочном поле? а в среднем - толстостенная полость с неровными контурами и с "дорожкой"? (Все коряво обвела, как могла :) )
Ну а теперь - кто скажет "Фас!" ?
Странно, что Вы самую большую полость не обвели..
Виктор.
При желании такие же изменения можно найти и слева....по ТАКОМУ снимку, уж больно он "богат" информацией )))).....
Болезни ног: виды, симптомы, причины, профилактика и лечение
Расширение границ сердца, застой в лёгких. Полости я не вижу, по моему воздушный столб трахеи смещён вправо, а прозрачность легочного поля слева на верхушке снижена. Может рак?
основные заболевания при кровохарканье-тела ,тубер,бронхоэктазы ,опухоль .а так ктшки нам лучше
ну хорошо ,дилятация и правых отделов
Вылегжанина Юлия
Справа апикально мерещится воздух (пневматоракс или правда мерещится?). Ну и сосудистый рисунок усилен, сердце увеличено. И все. Туберкулез с кавернами кажутся слегка надуманными, но у меня и опыта 0.
1005 китайское предупреждение себе самой-не делай "умных" замечаний в конце недели и вот-вот в отпуске-но... У меня складывается впечатление, что межреберные промежутки слева несколько уже, верхушка затемнена (частичный ателектаз верхней доли ?) + к этому кровь-как бы не вышло в итоге образование верхнедолевого бронха?
Есть DICOM. Уважаемые коллеги! Опишите протоколом для всех врачей. Ведь сайт Радиомед - школа взаимного обучения. Даю ссылку. Все ли сделал правильно? Посоветуйте более удобные файлообменники. Жду ваших мнений.
http://files.mail.ru/5P8BIL
PS. Контраст пациенту противопоказан.
Вы провокатор
И это даже хорошо
Кто берёт себе зверушкины клички, тот обычно и реагирует на *фас*. И провокатор- это не всегда хорошо


котик, к Вашему сведению, на команду "фас" аж никак не реагирует

ну а провокация на медфорумах полезна - она стимулирует, подстегивает, заставляет дискутировать (если конечно не сопровождается флеймом)
Прочитайте этот пост: http://www.radiomed.ru/cases/opyat-o-preimushchestvakh-tsifry и поймете к чему был сказан "фас"
Ближе к теме клинического наблюдения. Показывайте профессиональную эрудицию. Все остальное после окончательного диагноза. Диагноза-то нет, даже после пламенного призыва, "дайком бы мне, дайком". С уважением Nikolas
Легочное кровоизлияние. Бисегментарное верхнедолевое снижение пневматизации по типу матового стекла с утолщением долькового интерстиция + гидроторакс слева, лимфаденопатия парааортальных, паратрахеальных (и бронхопульмональных?) лимфоузлов. От банальной пневмонии с диапедезом эритроцитов до кровоизлияния из артерио-венозного шунта / тромбоза сегментарной верхнедолевой ветви левой ЛА. Без контрастирования - гадание на нативной гуще. Бронхоскопия в помощь. И клиника, её развитие. Имея только то, что показано, написала бы неполный инфаркт S1+2 слева под вопросом.
"Предоставляя весь смысл и совершенство в распоряжение одного только Бога, вы избавляете себя от бездны хлопот." Джон Уитборн.
Одни сутки.
+1
Спасибо. Если будут результаты бронхоскопии, сообщите, пожалуйста!
"Предоставляя весь смысл и совершенство в распоряжение одного только Бога, вы избавляете себя от бездны хлопот." Джон Уитборн.
подумали сразу. Терапия соответствующая проводится. Контраста не будет. Благодарю за помощь. С уважением Nikolas
Спасибо.
Мне всегда нравились блондинки...
Здравствуйте, Люба, если не трудно ответьте на несколько дилетантских вопросов. Этиология кровоизлияния связана с инфарктом какой-то артерии? По этой картине можно предположить, откуда истекала кровь? Как Вы считаете, дольки верхней доли левого лёгкого изначально были нормальные? На мой взгляд, они какое-то разномастные, с буллами что ли. Как Вы расцениваете патологию S2 правого лёгкого, инфаркт-пневмонии не может быть?
Неоднозначно всё
"Без умолку безумная девица"?...))) Ну какой из кошки оракул?) Мяукул разве что
Легочное кровоизлияние неизвестной природы. Даже контрастирование не всегда может ответить на вопрос, откуда кровануло, только сегмент можно предполагать. Судите сами: если есть артерио-венозная мальформация, то она законтрастируется, если свежая ТЭ сегментарной ветки ЛА с частичным сохранением кровотока - тоже будет видна... а если любая иная причина кровотечения (от нарушения свертываемости до малой опухоли бронха, от простого красного опеченения при пневмонии до анемии) - то не всегда контрастирование даст ответ.
Поражение S1+2, и её же артерии (а может, и вены, кто ж знает?). Что было изначально, тут сказать не сможет никто. Но тут не буллы, а неравномерность альвеолярного пропитывания, часть участков с сохранением нормальной паренхимы (не исключено, что в связи с особенностями кровоснабжения и коллатералей).
Думаю, справа застой или аналогичное микрокровоизлияние - на скорость это не влияет... главное, чтоб кровотечение не рецидивировало и не дало подобное в головной мозг. Для инфарктной пневмонии не хватает плотности - точнее, избыток воздушности. Инфарктная пневмония, даже субсегмента, будет обладать всеми классическими признаками, то бишь треугольник основанием к плевре и верхушкой к корню, по границе анатомической области, по типу консолидации, с сохранением просвета бронхов.
P.S. Единственное, что можно из причин исключить на 90%, это системность... т.к. поражение ограниченное. Васкулит, СКВ и прочие прелести маловероятны. В остальном - разгул фантазии)).
"Предоставляя весь смысл и совершенство в распоряжение одного только Бога, вы избавляете себя от бездны хлопот." Джон Уитборн.
Спасибо, Мяукул!)) и привет вашим Тараканам от моих)).
Не пропадайте, а то я уж собирался беспокоиться).
PS. Ой! Ещё вопрос: после того как Мы с Вами отменили все каверны с бронхоэктазами и пневмоторакс, мож отменим застой в легких и дилатацию левых отделов сердца, и правых заодно?
Неоднозначно всё
Один из лучевых методов диагностики под названием эхокардиоскопия возможно убедительно смог бы расставить точки над i.
Эхо - хорошо, да и тут кое-что по КТ видно. Минусом бронхоэктазы и пневмоторакс, плюсом невыраженный застой и достаточно значимое расширение камер сердца слева (справа тоже несколько увеличены, но не столь выраженно).
Сравните с тут: http://euromedcompany.ru/materialy-po-tomographii/rukovodstvo-po-kompjuternoj-tomografii рис.80 и 81 (обозначения в конце страницы)
"Предоставляя весь смысл и совершенство в распоряжение одного только Бога, вы избавляете себя от бездны хлопот." Джон Уитборн.
Любовь С., может быть вопрос покажется глупым , закройте на это глаза, но.. почему именно кровоизлияние ??? Быть может есть какие -то определенные диагностические критерии ?
Что значит, отпишусь от темы? Цурюк! Ещё вопросы появились)).
С сердцем поторопился: уже и сам увидел – увеличение левых камер сердца есть.
Но есть и значительное уменьшение объёма нижней доли левого лёгкого, причём не только от сдавления его выпотом (смотрим междолевую плевру). Ещё мне кажется, тут есть ателектаз S10 и, возможно, частичное спадение S6, S9. Или же медиастинальный выпот симулирует всё это? Я вижу разницу в плотности ЭТОЙ структуры с плотностью паракостального экссудата. Но тогда чем объяснить уменьшение объёма нижней доли?
Неоднозначно всё
А в самом деле, ПОЧЕМУ и КАКИЕ?
И не надо закрывать глаза: на Вас смотрят Дети)). Огромными глазами, Волшебница!))
Неоднозначно всё
Не ходим далеко, смотрим Википедию (ну... а если там просто и достаточно для понимания, да и источники вполне себе приличные?)):
"Симптом «матового стекла» — неспецифический радиологический симптом, отражающий различные патологические изменения в лёгочной ткани на уровне альвеол. Визуализируется при компьютерной томографии как туманное, матовое снижение прозрачности лёгочной ткани с дифференцируемым рисунком сосудов и бронхов на этом фоне. Данный симптом может быть обусловлен частичным снижением воздушности лёгочных альвеол (транссудативной, экссудативной или иной природы), их частичным спадением (гиповентиляцией) или утолщением их стенок. Так как данный симптом неспецифичен, необходимо иметь в виду анамнестические данные, клиническую картину и сопутствующую патологию. В связи с известной субъективностью оценки наличия симптома «матового стекла», следует учитывать параметры сканирования и визуализации; так, слишком узкое лёгочное окно создаёт «пятнистость» изображения, искажающую истинную картину, а низкое разрешение и большая толщина срезов (более 4 мм) создают эффект усреднения, скрадывающий и размывающий мелкие детали.
"Предоставляя весь смысл и совершенство в распоряжение одного только Бога, вы избавляете себя от бездны хлопот." Джон Уитборн.
Белая кошечка ,а ты умная белая кошечка
Вылегжанина Юлия
ВЫ белую кошечку. Мне 80, но не позволяю себе на ТЫ врачей сайта. Сайт Радиомед не только школа профессионального обучения, но и культуры отношений.
Спасибо за ответ и понимание , Любовь С. Все таки нет ничего специфичного для геморрагического пропитывания, выходит так ? То есть тут основой для суждений является преимущественно клиника , я имею ввиду кровохарканье ? Просто , у меня бы не возникло мыслей о кровоизлиянии и геморрагическом пропитывании
, я думала бы о ТЭЛА, пневмониях и тд, наверное опыта маловато.
+1
Между строк читается: «Вот бы такую кошечку дома завести, в работе бы помогала-а-а. А иногда бы мышек ловила. Для развлечения.»
Неоднозначно всё
Правда ,Я часто думаю , вот бы мне мозг пришили дополнительный кого -нибудь с сайта, а мышей у меня нет
Вылегжанина Юлия
Я бы тоже, не зная жалоб, в первую очередь полезла штудировать интерстициальные пневмонии )). Так что клиника тут на первом месте.
"Предоставляя весь смысл и совершенство в распоряжение одного только Бога, вы избавляете себя от бездны хлопот." Джон Уитборн.
Спасибо за ответы , Любовь С.
высказанные суждения о диагнозе. Пациент из реанимации переведен в терапию. При возможности покажу динамику процесса в легких.. Что же будет дальше? С уважением Nik
через 12 дней. Ваше слово, уважаемые коллеги! NIKOLAS
Лизирование кровоизлияния, хорошая динамика.
"Предоставляя весь смысл и совершенство в распоряжение одного только Бога, вы избавляете себя от бездны хлопот." Джон Уитборн.
Явная положительная динамика.