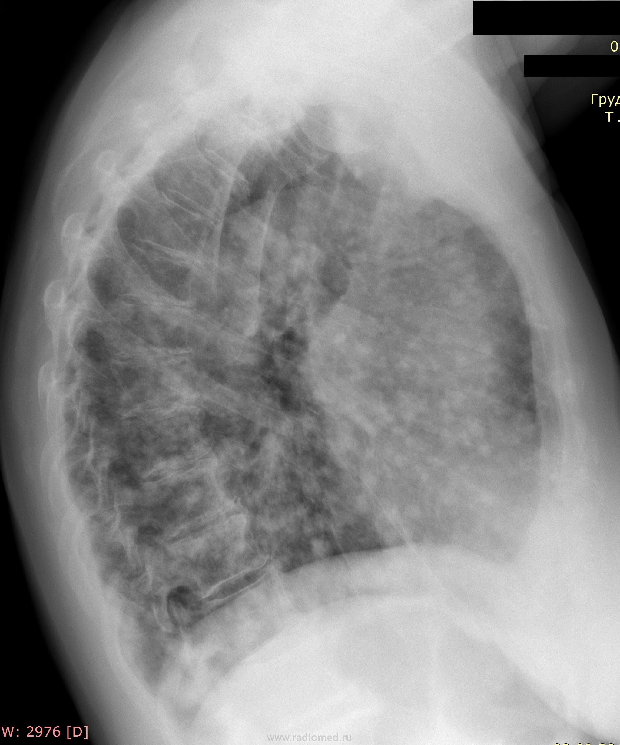
Пол пациента: Женский пол Тип патологии: Воспалительное заболевание неинфекционной природы Область исследования: Грудная клетка и верхние дыхательные пути Методы исследования: Rg живота. Т -норма. Кашель сухой. 78 лет. Ваше мнение коллеги. https://radiomed.ru/sites/default/files/styles/case_slider_image/public/user/7898/img-0007-00001.jpg?itok=m9l1moSu https://radiomed.ru/sites/default/files/styles/case_slider_image/public/user/7898/img-0008-00001.jpg?itok=H1qoB2GE ID:23236 Пнд, 17/09/2012 - 22:21 #1 Катенёв Валенти... Не на сайте Был на сайте: 7 лет 6 месяцев назад Зарегистрирован: 22.03.2008 - 22:15 Публикации: 54876 Синдром диссеминации. Крестец в боковой проекции не снимали? Пнд, 17/09/2012 - 22:27 #2 Nikolas Не на сайте Был на сайте: 2 месяцев 2 недели назад Зарегистрирован: 21.12.2010 - 20:37 Публикации: 4560 Почему вопрос о крестце? Интересно. Пнд, 17/09/2012 - 22:30 #3 Катенёв Валенти... Не на сайте Был на сайте: 7 лет 6 месяцев назад Зарегистрирован: 22.03.2008 - 22:15 Публикации: 54876 Структура по интенсивности разная, справа мал-мал плотнее. Да, и крестцовые отверстия справа, по сравнению с левой сторонй плохо дифференцируются. Пнд, 17/09/2012 - 22:53 #4 Mila85 Не на сайте Был на сайте: 3 года 7 месяцев назад Зарегистрирован: 15.03.2012 - 16:59 Публикации: 1790 Ужс, судя по скудной клинике скорее всего карциноматоз Пнд, 17/09/2012 - 22:54 #5 Almo Не на сайте Был на сайте: 4 дня 11 часов назад Зарегистрирован: 28.09.2008 - 18:50 Публикации: 8306 В первую очередь подумал бы о MTS поражении лёгких . Пнд, 17/09/2012 - 23:52 #6 И.Бондаренко Не на сайте Был на сайте: 1 час 45 минут назад Зарегистрирован: 13.09.2011 - 22:55 Публикации: 9214 +1 Втр, 18/09/2012 - 07:28 #7 Любовь С. Не на сайте Был на сайте: 9 лет 11 месяцев назад Зарегистрирован: 23.12.2010 - 01:58 Публикации: 2324 ФЭГДС. Первопричина может быть в желудке. В тазу затемнение справа выходит за контур крестца, скорее выпот в паравезикальном кармане. В легких мтс. "Предоставляя весь смысл и совершенство в распоряжение одного только Бога, вы избавляете себя от бездны хлопот." Джон Уитборн. Втр, 18/09/2012 - 18:41 #8 Наталия Васильевна Не на сайте Был на сайте: 6 лет 2 месяцев назад Зарегистрирован: 25.09.2011 - 09:02 Публикации: 754 Или БАР. Втр, 18/09/2012 - 19:24 #9 stovbav Не на сайте Был на сайте: 2 года 8 месяцев назад Зарегистрирован: 20.12.2009 - 17:28 Публикации: 7066 Наталия Васильевна wrote: Или БАР. Почему так? Интересен ваш ход мыслей, ведь картина 100% - метастазы.... Болезни ног: виды, симптомы, причины, профилактика и лечение Ср, 19/09/2012 - 09:46 #10 cupitur Не на сайте Был на сайте: 12 лет 4 месяцев назад Зарегистрирован: 19.09.2011 - 10:42 Публикации: 262 Мts Ср, 19/09/2012 - 19:01 #11 Наталия Васильевна Не на сайте Был на сайте: 6 лет 2 месяцев назад Зарегистрирован: 25.09.2011 - 09:02 Публикации: 754 stovbav wrote: Наталия Васильевна wrote: Или БАР. Почему так? Интересен ваш ход мыслей, ведь картина 100% - метастазы.... Было несколько случаев, при патологоанатомическом анализе -БАР, хотя первичные мысли были о множественных МТS, причем из желудка. Ср, 19/09/2012 - 19:04 #12 stovbav Не на сайте Был на сайте: 2 года 8 месяцев назад Зарегистрирован: 20.12.2009 - 17:28 Публикации: 7066 Наталия Васильевна wrote: stovbav wrote: Наталия Васильевна wrote: Или БАР. Почему так? Интересен ваш ход мыслей, ведь картина 100% - метастазы.... Было несколько случаев, при патологоанатомическом анализе -БАР, хотя первичные мысли были о множественных МТS, причем из желудка. Все возможно...сам с подобным не встречался..... Болезни ног: виды, симптомы, причины, профилактика и лечение
Синдром диссеминации.
Крестец в боковой проекции не снимали?
Почему вопрос о крестце? Интересно.
Структура по интенсивности разная, справа мал-мал плотнее. Да, и крестцовые отверстия справа, по сравнению с левой сторонй плохо дифференцируются.
Ужс, судя по скудной клинике скорее всего карциноматоз
В первую очередь подумал бы о MTS поражении лёгких .
+1
ФЭГДС. Первопричина может быть в желудке. В тазу затемнение справа выходит за контур крестца, скорее выпот в паравезикальном кармане. В легких мтс.
"Предоставляя весь смысл и совершенство в распоряжение одного только Бога, вы избавляете себя от бездны хлопот." Джон Уитборн.
Или БАР.
Почему так? Интересен ваш ход мыслей, ведь картина 100% - метастазы....
Болезни ног: виды, симптомы, причины, профилактика и лечение
Мts
Было несколько случаев, при патологоанатомическом анализе -БАР, хотя первичные мысли были о множественных МТS, причем из желудка.
Все возможно...сам с подобным не встречался.....
Болезни ног: виды, симптомы, причины, профилактика и лечение