ОГК. Прошу консультации.

Пол пациента: 
Тип патологии: 
Методы исследования: 

Я - начинающий рентгенолог, очень прошу консультации опытных коллег.

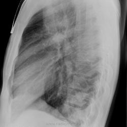
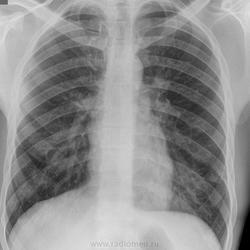
Мужчина, 24 г. Пришел на ФЛГ с жалобами на  кашель со скудной мокротой, повышение температуры до 38,5 С в течение 5 дней

В анамнезе - в 2009 будучи в армии болел TBC, оперирован, удалены S1,2 справа. Сразу оговорюсь - сделать линейные томограммы нет возможности.

Расценила изменения слева как пневмонические, но очень опасаюсь проглядеть tbc.

  • https://radiomed.ru/sites/default/files/styles/case_slider_image/public/user/10616/grudnaya_kletka-grudnaya_kletka_lat-18.12.2011-13_57_00-750.jpeg?itok=D-eP7Hfo
  • https://radiomed.ru/sites/default/files/styles/case_slider_image/public/user/10616/copy_of_grudnaya_kletka-grudnaya_kletka_lat-18.12.2011-13_57_00-750.jpeg?itok=_YzDvibD
ID:17632
Наталия Васильевна аватар
Не на сайте
Был на сайте: 6 лет 2 месяцев назад
Зарегистрирован: 25.09.2011 - 09:02
Публикации: 754

Присоединяюсь к Вашему мнению о пневмонии.

Евгений1313 аватар
Не на сайте
Был на сайте: 13 лет 5 месяцев назад
Зарегистрирован: 15.10.2010 - 19:13
Публикации: 808

Поинтересуйтесь не курал ли пациент травку.

Nikolas аватар
Не на сайте
Был на сайте: 2 месяцев 1 неделя назад
Зарегистрирован: 21.12.2010 - 20:37
Публикации: 4560

оперированного по поводу туберкулеза легких, появление бронхолегочных  признаков заставляет всегда думать о рецидиве заболевания. Это правильно. В данном случае имеет место пневмония.  Рекомендуйте исследование мокроты на МБТ №3. После лечения пневмонии представьте на сайт контрольные снимки. С уважением Nikolas

Марина Сергеевна аватар
Не на сайте
Был на сайте: 1 год 22 часа назад
Зарегистрирован: 26.04.2011 - 11:56
Публикации: 996

Спасибо огромное за комментарии!

Теперь душа несколько успокоилась) Дело в том, что место где я работаю - частная лавочка, и вероятнее всего пациент на контроль к нам не вернется.  Лечиться он решил где-то в другом месте. Но если вернется - конечно же представлю контрольные снимки.

"There is no teacher, who can teach us anything new. He just can help us to remember the things we always knew" (c) Enigma.

Андрей Юрьевич аватар
Не на сайте
Был на сайте: 11 часов 58 минут назад
Зарегистрирован: 16.11.2008 - 22:16
Публикации: 18109

Как меняется время!

Марина Сергеевна wrote:
Я - начинающий рентгенолог,...место где я работаю - частная лавочка....

 Когда-то для работы в платной поликлинике нужна была степень, на худой конец категория (не ниже первой, естественно)sad.

Андрей Юрьевич

Игорь Иванович аватар
Не на сайте
Был на сайте: 4 года 3 месяцев назад
Зарегистрирован: 23.01.2010 - 14:56
Публикации: 3695

Андрей Юрьевич wrote:

 Когда-то для работы в платной поликлинике нужна была степень, на худой конец категория (не ниже первой, естественно)sad.

Когда-то и частных поликлиник не было...

Sumerk_UP аватар
Не на сайте
Был на сайте: 3 года 1 месяц назад
Зарегистрирован: 08.06.2011 - 09:23
Публикации: 84

Если не секрет! а после травки какието специфические изменения?

Gorbovsky аватар
Не на сайте
Был на сайте: 6 лет 6 месяцев назад
Зарегистрирован: 03.08.2011 - 18:05
Публикации: 348

Коллеги, объясните что за тень на фоне позвонка на прицельном снимке?

Было бы величайшей ошибкой думать (с)

Бородулин М.А. аватар
Не на сайте
Был на сайте: 1 год 2 месяцев назад
Зарегистрирован: 17.02.2011 - 01:10
Публикации: 1409

Gorbovsky wrote:

Коллеги, объясните что за тень на фоне позвонка на прицельном снимке?

Вы о чем?