Ola-la! Я был не прав, по поводу бугристости...

Пол пациента: 
Тип патологии: 
Область исследования: 
Методы исследования: 

Ola-la!   Я был не прав, по поводу бугристости...

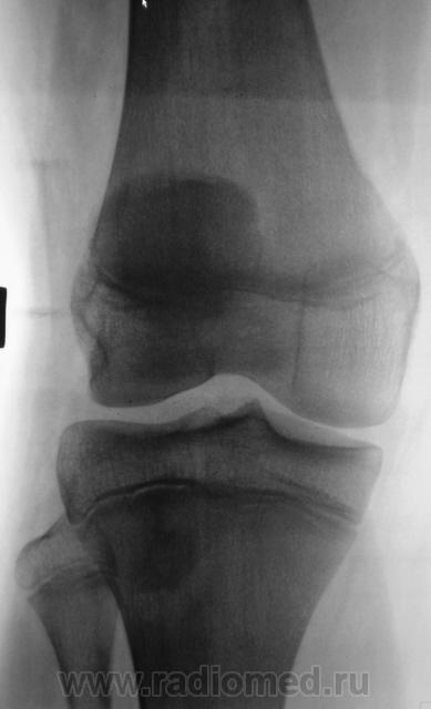
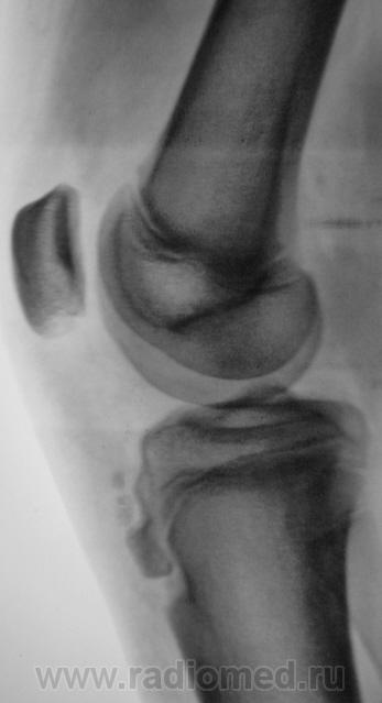
Пациент был направлен на рентгеновское исследования обоих коленных суставов по поводу болеши "Осгут-Шлаттера"

  • https://radiomed.ru/sites/default/files/styles/case_slider_image/public/user/12/4._Olga.jpg?itok=_T19dqQt
  • https://radiomed.ru/sites/default/files/styles/case_slider_image/public/user/12/5.Olga_.jpg?itok=i055jfvc
  • https://radiomed.ru/sites/default/files/styles/case_slider_image/public/user/12/6.Olga_.jpg?itok=WyvZOW54
  • https://radiomed.ru/sites/default/files/styles/case_slider_image/public/user/12/7.Olga_.jpg?itok=T3xgRtW6
  • https://radiomed.ru/sites/default/files/styles/case_slider_image/public/user/12/8.Olga_.jpg?itok=5pPT-nPy
  • https://radiomed.ru/sites/default/files/styles/case_slider_image/public/user/12/9.Olga_.JPG?itok=vVzJ-LF1
  • https://radiomed.ru/sites/default/files/styles/case_slider_image/public/user/12/10.Olga_.JPG?itok=LIS6tcV8
ID:2534
Ola-la аватар
Не на сайте
Был на сайте: 1 год 3 месяцев назад
Зарегистрирован: 06.12.2008 - 09:33
Публикации: 1786

Согласна с болезнью Осгут-Шлаттера.

Катенёв Валентин Львович аватар
Не на сайте
Был на сайте: 7 лет 5 месяцев назад
Зарегистрирован: 22.03.2008 - 22:15
Публикации: 54876

Нет, я был не прав, что утверждал, что на прямой рентгенограмме бугристость не отображается. Мы, на пленке уже вообще не работаем, оказалось, что на "цифре" на прямой отображается и ох, как хорошо.

Ola-la аватар
Не на сайте
Был на сайте: 1 год 3 месяцев назад
Зарегистрирован: 06.12.2008 - 09:33
Публикации: 1786

Да и на пленке отображается )))

Игорь Иванович аватар
Не на сайте
Был на сайте: 4 года 2 месяцев назад
Зарегистрирован: 23.01.2010 - 14:56
Публикации: 3695

Я тоже вспомнил и отметил эту зону роста. И хоть болезнь Осгуд-Шлаттера такая-же остеохондропатия, как и другие (имею ввиду стадии), но каждый раз окунаюсь в Рейнберга, что-бы не ошибиться в диагнозе. Представляю выдержку из Рейнберга.

Приложения: 
07042010401.jpg07042010403.jpg
MarinaD аватар
Не на сайте
Был на сайте: 10 лет 9 месяцев назад
Зарегистрирован: 10.07.2010 - 02:22
Публикации: 108

Кроме остеохондропатии бугристостей у пациента явная латеропозизия надколенников и бугристостей большеберцовых костей, что свидетельствует о дисплазии мыщелков бедренных костей, вероятнее всего клинически проявляющаяся болями в переднем отделе коленных суставов (под надколенниками).

http://lib.bsmu.by/index.php?option=com_content&view=article&id=743&catid=63:s-42008&Itemid=52

Интересно было бы посмотреть на аксиальные снимки надколенников. Явно ожидается уплощение медиальных мыщелков и межмыщелковых углублений бедренных костей.

Буквально позавчера был сходный случай. Мальчик 15 лет.

Приложения: 
MarinaD_083.jpgLevyy.jpg
Катенёв Валентин Львович аватар
Не на сайте
Был на сайте: 7 лет 5 месяцев назад
Зарегистрирован: 22.03.2008 - 22:15
Публикации: 54876

Спасибо за ссылку