Пол пациента: Мужской пол Тип патологии: Злокачественное новообразование Область исследования: Грудная клетка и верхние дыхательные путиПищеварительная система Методы исследования: КТ к сожалению, ни анамнеза, ни жалоб у меня нет. только снимок. :( https://radiomed.ru/sites/default/files/styles/case_slider_image/public/user/19300/image_3_3.jpeg?itok=llGvHF8A https://radiomed.ru/sites/default/files/styles/case_slider_image/public/user/19300/image_1_3.jpeg?itok=m4fSrbr0 ID:33623 Пнд, 25/11/2013 - 16:58 #1 Петр Николаевич Не на сайте Был на сайте: 2 месяцев 2 недели назад Зарегистрирован: 15.03.2011 - 13:22 Публикации: 150 С чем разбираться? где снимки? Пнд, 25/11/2013 - 17:09 #2 Emchike Не на сайте Был на сайте: 10 лет 3 месяцев назад Зарегистрирован: 25.11.2013 - 14:06 Публикации: 4 анонимизированные изображенияПриложения: Пнд, 25/11/2013 - 17:12 #3 Helios Не на сайте Был на сайте: 1 год 2 недели назад Зарегистрирован: 06.08.2010 - 15:16 Публикации: 4417 Вот так-то лучше , но не совсем.Во-первых, жалобы, анамнез.Во-вторых, лучше дайкомы. Пнд, 25/11/2013 - 19:34 #4 Андрей Юрьевич Не на сайте Был на сайте: 2 недели 4 дня назад Зарегистрирован: 16.11.2008 - 22:16 Публикации: 18106 По тому, что видно - малый двусторонний гидроторакс. Андрей Юрьевич Пнд, 25/11/2013 - 19:50 #5 алкс Не на сайте Был на сайте: 10 лет 5 месяцев назад Зарегистрирован: 24.10.2012 - 22:55 Публикации: 2915 Андрей Юрьевич wrote: По тому, что видно - малый двусторонний гидроторакс. + Но это НЕ МРТ! Втр, 26/11/2013 - 00:38 #6 Emchike Не на сайте Был на сайте: 10 лет 3 месяцев назад Зарегистрирован: 25.11.2013 - 14:06 Публикации: 4 спасибо Втр, 26/11/2013 - 01:54 #7 Thirteenth Не на сайте Был на сайте: 11 лет 10 месяцев назад Зарегистрирован: 26.11.2013 - 01:51 Публикации: 3 Сдается мне, что в брюшной полости свободный возхдух - перфорация полого органа?
С чем разбираться? где снимки?
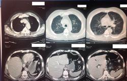
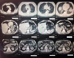
анонимизированные изображения
Вот так-то лучше
, но не совсем.Во-первых, жалобы, анамнез.Во-вторых, лучше дайкомы.
По тому, что видно - малый двусторонний гидроторакс.
Андрей Юрьевич
+ Но это НЕ МРТ!
спасибо
Сдается мне, что в брюшной полости свободный возхдух - перфорация полого органа?