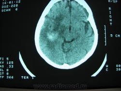
Интересно узнать клинику. Если представить посттраматические изменения в виде ушиба 4 ст, то больной должен находится в коме, ещё после травмы. А тут 3 недели прошло. Геморагический инсульт (?)- та же ситуация. Но если своими ногами дошёл, то рекомендую исключить опухоль, исследование с контрастом.
Смущают мелкие гиподенсивные зоны кпереди от гиперденсивного участка на первом снимке. Клинику бы по подробней "в анамнезе травма" как то слишком мало. Вообще первое мнение было лизирующаяся гематома с перифокальным отеком. Опухоль с кровоизлиянием таких размеров, ИХМО, дала бы больший пальцевидный отек и дислокацию.
Как давно была травма?
Автор держит тишину , жду-жду когда он ответит на предыдущий вопрос . а ответа все нет...я за гематому.
травма была 3 недели
Смущает "колечко"
Никак не найду первичных "фото" , но динамика очень-очень положительная.
Нету здеся неопластического процесса - не правда-ли???
Интересно узнать клинику. Если представить посттраматические изменения в виде ушиба 4 ст, то больной должен находится в коме, ещё после травмы. А тут 3 недели прошло. Геморагический инсульт (?)- та же ситуация. Но если своими ногами дошёл, то рекомендую исключить опухоль, исследование с контрастом.
Смущают мелкие гиподенсивные зоны кпереди от гиперденсивного участка на первом снимке. Клинику бы по подробней "в анамнезе травма" как то слишком мало. Вообще первое мнение было лизирующаяся гематома с перифокальным отеком. Опухоль с кровоизлиянием таких размеров, ИХМО, дала бы больший пальцевидный отек и дислокацию.
facebook or here
контраст и исключать образование в любом случае
В дифряд включила бы метастазы меланомы. Большеват отек и масс-эффект для трехнедельной гематомы. Контроль через 2-3 недели.
У больной цироз и асцит.Дообследование с контрастом затруднительно.Предыдущие сканы снять пока не смог.
Увы но пациентка исчезла...
Исчезла...
По всей видимости это была фея