Опухоль головного мозга.

Пол пациента: 
Область исследования: 
Методы исследования: 

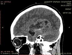
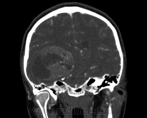
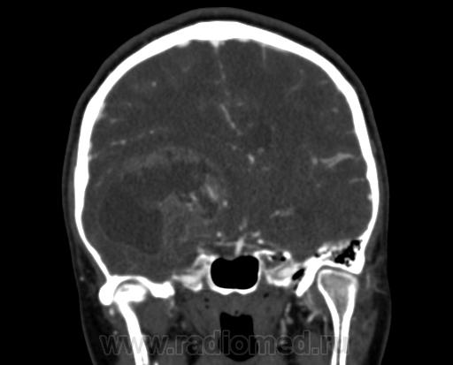
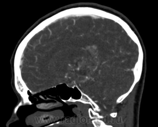
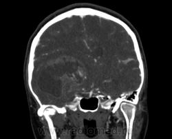
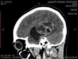
Молодая женщина, 29 лет. Обратилась на прием к неврологу 26.10.12г с  болями в шее, назначено лечение амбулаторно по сосудистой головной боли, остеохондрозу.. После 14.11.12г обратилась к другому неврологу повторно, 16.11.12г направлена в стационар. Жалобы: на снижение зрения, головные боли, головокружения, слабость, повышение температуры. Провели СКТ головного мозга натив и контрастирование. Подскажите пожалуйста, коллеги- Это опухоль? тогда какая (глиобластома, невринома, менингиома?) и локализацию. Спасибо.

 

  • https://radiomed.ru/sites/default/files/styles/case_slider_image/public/user/16789/img-0015-00001_1.jpg?itok=vAFxJthy
  • https://radiomed.ru/sites/default/files/styles/case_slider_image/public/user/16789/img-0014-00001_0.jpg?itok=y5DUhkBP
  • https://radiomed.ru/sites/default/files/styles/case_slider_image/public/user/16789/img-0013-00001_1.jpg?itok=rQqmmKlk
  • https://radiomed.ru/sites/default/files/styles/case_slider_image/public/user/16789/img-0012-00001_1.jpg?itok=PYjF084H
  • https://radiomed.ru/sites/default/files/styles/case_slider_image/public/user/16789/img-0011-00001_1.jpg?itok=SXa_oqyQ
  • https://radiomed.ru/sites/default/files/styles/case_slider_image/public/user/16789/img-0012-00001_2.jpg?itok=5oix5Xhr
  • https://radiomed.ru/sites/default/files/styles/case_slider_image/public/user/16789/img-0010-00001_1.jpg?itok=tfikZP_F
  • https://radiomed.ru/sites/default/files/styles/case_slider_image/public/user/16789/img-0007-00001_2.jpg?itok=t-Ppm0LF
  • https://radiomed.ru/sites/default/files/styles/case_slider_image/public/user/2841/img-0004-00001_2.jpg?itok=sJ15tN6A
ID:24576
НАДЕЖДА ЮРЬЕВНА аватар
Не на сайте
Был на сайте: 7 лет 4 месяцев назад
Зарегистрирован: 30.07.2012 - 13:14
Публикации: 360

Сканы с контрастированием.

Приложения: 
img-0001-00001.jpgimg-0003-00001.jpgimg-0002-00001.jpgimg-0005-00001.jpgimg-0006-00001.jpgimg-0007-00001.jpgimg-0008-00001.jpg
НАДЕЖДА ЮРЬЕВНА аватар
Не на сайте
Был на сайте: 7 лет 4 месяцев назад
Зарегистрирован: 30.07.2012 - 13:14
Публикации: 360

Нативное исследование.

Приложения: 
img-0001-00001.jpgimg-0002-00001.jpgimg-0003-00001.jpgimg-0004-00001.jpgimg-0005-00001.jpgimg-0006-00001.jpgimg-0007-00001.jpgimg-0008-00001.jpgimg-0009-00001.jpgimg-0010-00001.jpgimg-0011-00001.jpgimg-0012-00001.jpgimg-0013-00001.jpgimg-0015-00001.jpg
Андрей Юрьевич аватар
Не на сайте
Был на сайте: 2 недели 2 дня назад
Зарегистрирован: 16.11.2008 - 22:16
Публикации: 18106

Одно можно сказать точно: это не менингиома и не невринома (у тех структура однородная). Это Вам в помощь http://www.radiologyassistant.nl/en/p47f86aa182b3a/brain-tumor-systematic-approach.html

Андрей Юрьевич

НАДЕЖДА ЮРЬЕВНА аватар
Не на сайте
Был на сайте: 7 лет 4 месяцев назад
Зарегистрирован: 30.07.2012 - 13:14
Публикации: 360

Спасибо.

ЛГ аватар
Не на сайте
Был на сайте: 9 лет 3 месяцев назад
Зарегистрирован: 06.01.2010 - 12:31
Публикации: 3523

Мне кажется, что тут субэпендимарная глиома. Указываете степень дислокации, накопления и к нейрохирургам.

Nela аватар
Не на сайте
Был на сайте: 6 лет 6 месяцев назад
Зарегистрирован: 12.05.2009 - 20:43
Публикации: 1847

Согласна с Андреем Юрьевичем. Все остальное возможно, в том числе олигодендроглиома. Впрочем не принципиально. К нейрохирургам!

Helios аватар
Не на сайте
Был на сайте: 1 год 2 недели назад
Зарегистрирован: 06.08.2010 - 15:16
Публикации: 4417

Будем ждать у себя-скорее всего, направят.

Nela аватар
Не на сайте
Был на сайте: 6 лет 6 месяцев назад
Зарегистрирован: 12.05.2009 - 20:43
Публикации: 1847

Тогда ждем продолжение истории.

НАДЕЖДА ЮРЬЕВНА аватар
Не на сайте
Был на сайте: 7 лет 4 месяцев назад
Зарегистрирован: 30.07.2012 - 13:14
Публикации: 360

В областную больницу увезли 22.11.12г. Вчера вечером она скончалась в больнице.

Nela аватар
Не на сайте
Был на сайте: 6 лет 6 месяцев назад
Зарегистрирован: 12.05.2009 - 20:43
Публикации: 1847

Печально.

А гистология-то будет?

Helios аватар
Не на сайте
Был на сайте: 1 год 2 недели назад
Зарегистрирован: 06.08.2010 - 15:16
Публикации: 4417

Насчет гистологии я узнаю в понедельник-вторник .Созванивалась с патологоанатомом областной-узнала, что должны были прооперировать  23.11, но не успели, вскрытие на понедельник назначено.

Helios аватар
Не на сайте
Был на сайте: 1 год 2 недели назад
Зарегистрирован: 06.08.2010 - 15:16
Публикации: 4417

Только что узнала результаты вскрытия.Гистология пока не готова.

Глиобластома с прорастанием стенки правого бокового желудочка, выраженный отек, смещение срединных структур, вклинение миндалин мозжечка в БЗО.

Не успели.

Nela аватар
Не на сайте
Был на сайте: 6 лет 6 месяцев назад
Зарегистрирован: 12.05.2009 - 20:43
Публикации: 1847

Спасибо!

Helios аватар
Не на сайте
Был на сайте: 1 год 2 недели назад
Зарегистрирован: 06.08.2010 - 15:16
Публикации: 4417

frown