Опухоль? Остеомиелит?

Пол пациента: 
Тип патологии: 
Область исследования: 

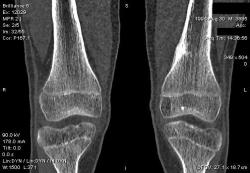
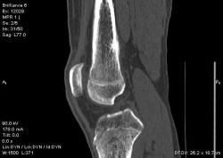
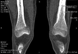
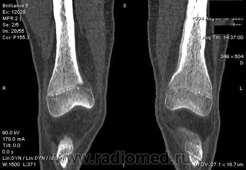
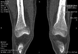
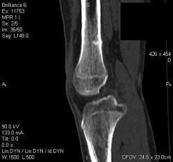
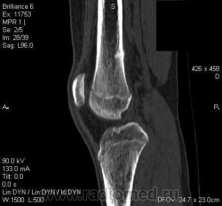
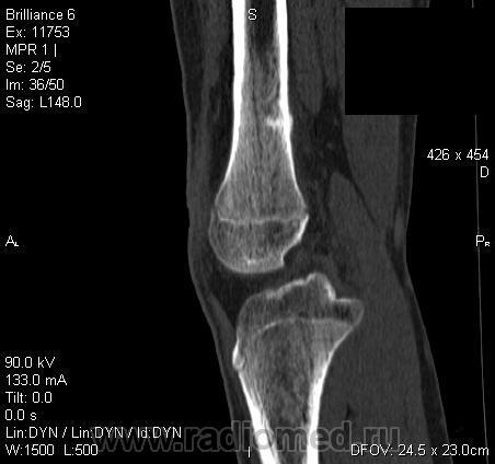
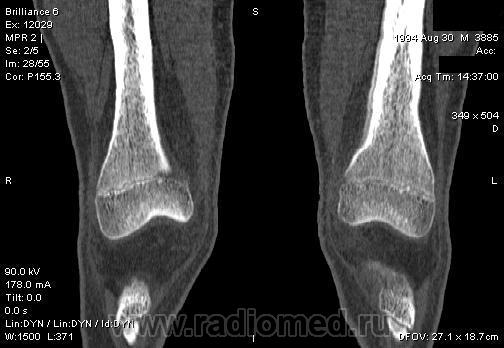
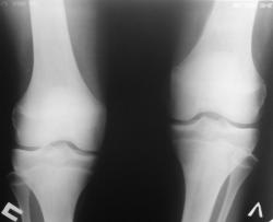
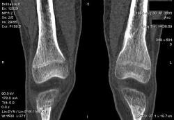
Мальчик 15 лет. Несколько месяцев назад начали беспокоить боли в коленных суставах. Травмы не было. Ребёнку был выставлен диагноз: болезнь Шлаттера, назначено лечение. На фоне лечения отмечалось значительное усиление болей, боли локализовались в левом коленном суставе. При дообследовании выявлена следующая рентгенологическая картина. Наши рентгенологи настаивают на срастающемся переломе. Но: 1) перелом без травмы? 2) бедро так не ломается

В голову приходит остеомиелит или опухоль. 

Хотелось бы знать мнение уважаемых коллег.

Vega аватар
Не на сайте
Был на сайте: 3 месяцев 1 неделя назад
Зарегистрирован: 22.01.2009 - 19:16
Публикации: 1087

ИзображениеИзображениеИзображениеИзображениеИзображениеИзображениеИзображениеИзображениеИзображениеИзображениеИзображениеИзображениеИзображение

v1tal аватар
Не на сайте
Был на сайте: 4 года 9 месяцев назад
Зарегистрирован: 07.06.2008 - 19:41
Публикации: 1779

Линейный периостит, уже должен был рентгенологов насторожить.

"Знаешь, у некоторых врачей есть комплекс мессии — им необходимо спасать мир. А у тебя комплекс Рубика — тебе необходимо решать головоломки."

v1tal аватар
Не на сайте
Был на сайте: 4 года 9 месяцев назад
Зарегистрирован: 07.06.2008 - 19:41
Публикации: 1779

Локальный гиперостоз, выраженный болевой синдром, структура губчатого вещества диафиза не изменена наводит только на остеойд-остеому.

"Знаешь, у некоторых врачей есть комплекс мессии — им необходимо спасать мир. А у тебя комплекс Рубика — тебе необходимо решать головоломки."

Ola-la аватар
Не на сайте
Был на сайте: 10 месяцев 6 дней назад
Зарегистрирован: 06.12.2008 - 09:33
Публикации: 1786

Я бы на первое место поставила патологическую перестройку, так называемый, стрессовый перелом. Мальчик чем-нибудь занимается?

tatyana аватар
Не на сайте
Был на сайте: 4 года 1 месяц назад
Зарегистрирован: 24.06.2009 - 08:33
Публикации: 2090

Согласна с Ola-la - рентгенологическая картина более всего соответствует стрессорному перелому, хотя для него характерна локализация в б/берцовой кости. Меня однако, смущает и настораживает клиника - это как раз тот случай, когда я бы не дала 100% гарантии, что так не может манифестировать остеосаркома... Поскольку другие методы (МРТ, сцинтиграфия) вряд ли помогут, я бы взяла пациента на короткое ( 2недели - месяц) динамическое наблюдение.

"самоуверенность дилетантов - предмет зависти профессионалов"

Vega аватар
Не на сайте
Был на сайте: 3 месяцев 1 неделя назад
Зарегистрирован: 22.01.2009 - 19:16
Публикации: 1087

Нет, ребёнок спортом не занимается... Стрессовый перелом бедра в н/3 у ребёнка без физических нагрузок? В литературе встретились только 2 статьи, да и то - у спортсменов... http://www.ncbi.nlm.nih.gov/pubmed/19292341?itool=EntrezSystem2.PEntrez.Pubmed.Pubmed_ResultsPanel.Pubmed_RVDocSum&ordinalpos=17

http://www.ncbi.nlm.nih.gov/pubmed/18982185?itool=EntrezSystem2.PEntrez.Pubmed.Pubmed_ResultsPanel.Pubmed_RVDocSum&ordinalpos=47

Что-то не верится мне, что мы открытие делаем...

Катенёв Валентин Львович аватар
Не на сайте
Был на сайте: 7 лет 2 недели назад
Зарегистрирован: 22.03.2008 - 22:15
Публикации: 54876

На мой взгляд - перелом.

 

Катенёв Валентин Львович аватар
Не на сайте
Был на сайте: 7 лет 2 недели назад
Зарегистрирован: 22.03.2008 - 22:15
Публикации: 54876

На мой взгляд - перелом.

 

Ola-la аватар
Не на сайте
Был на сайте: 10 месяцев 6 дней назад
Зарегистрирован: 06.12.2008 - 09:33
Публикации: 1786

Vega, но может быть не спортом, может, какая-нибудь другая, не привычная для него нагрузка появилась? Может, танцы? ))) Может, в качалку похаживает? Думаю, нужна выжидательная тактика, не долгая, две недели - месяц и рентген-контроль.

Катенёв Валентин Львович аватар
Не на сайте
Был на сайте: 7 лет 2 недели назад
Зарегистрирован: 22.03.2008 - 22:15
Публикации: 54876

И, по всей видимости, правы Ваши рентгенологи, настаивая на сростающемся переломе.

 

Ola-la аватар
Не на сайте
Был на сайте: 10 месяцев 6 дней назад
Зарегистрирован: 06.12.2008 - 09:33
Публикации: 1786

Валентин Львович, Вы имеете ввиду обычный травматический перелом?

Катенёв Валентин Львович аватар
Не на сайте
Был на сайте: 7 лет 2 недели назад
Зарегистрирован: 22.03.2008 - 22:15
Публикации: 54876

Да, на мой взгляд, состояние после обычного "травматического перелома" (трещина), не думаю, что имел место "патологический перелом", так как костная ткань "патологически изменена" минимально. "Перистальная реакция"локальная тоже есть, на КТ "локальная  зона склероза" - все это свидетельствует именно об этом. Хотя в памяти у меня хорошо отложился Ваш последний случай о локальном утолщении кортикального слоя, когда "яйца в гнезде" еще не было. То, что анамнестически "травмы не было" - ничего не значит. Вы, по всей видимости, тоже часто встречались с такими случаями, когда ребенок не акцентировал внимание на "травме", как таковой, хотя клиника есть, боль есть. Конечно, рентгенограммы - не дай бог - ни скиалогии, ни структуры.

Vega аватар
Не на сайте
Был на сайте: 3 месяцев 1 неделя назад
Зарегистрирован: 22.01.2009 - 19:16
Публикации: 1087

Не могу согласиться с тем, "травмы не было - ничего не значит". Такое можно сказать про ребёнка до 3 лет, когда дети плохо говорят/скрывают факт травмы и т.д.

Подросток 15 лет - совсем другой случай. Он прекрасно понимает серьёзность ситуации и вполне адекватно ориентирован на помощь докторам. Да и "сломаться наполовину" бедро может только у маленьких детей. Если у 15-летнего ломается бедро - оно ломается полностью, а не по типу зеленой ветки. 

В любом случае, мы посовещались и решили не рисковать. Завтра ребёнок идет на открытую биопсию.

Следующее слово - за гистологами.

tatyana аватар
Не на сайте
Был на сайте: 4 года 1 месяц назад
Зарегистрирован: 24.06.2009 - 08:33
Публикации: 2090

Vega, большая просьба: сообщите результаты биопсии.

"самоуверенность дилетантов - предмет зависти профессионалов"

Катенёв Валентин Львович аватар
Не на сайте
Был на сайте: 7 лет 2 недели назад
Зарегистрирован: 22.03.2008 - 22:15
Публикации: 54876

Интересно, какие данные биопсии?

Vega аватар
Не на сайте
Был на сайте: 3 месяцев 1 неделя назад
Зарегистрирован: 22.01.2009 - 19:16
Публикации: 1087

Буквально заключение гистологов передать не могу (мой недочет, нужно было сразу выложить на сайтОй-ой-ой), но приблизительно помню - данных за специфический процесс нет, картина консолидирующегося перелома.

Так что, по всей видимости, это действительно был стресс-перелом. Который крайне редко встречается. Хоть статейку в журнал пишиУлыбаюсь.

Катенёв Валентин Львович аватар
Не на сайте
Был на сайте: 7 лет 2 недели назад
Зарегистрирован: 22.03.2008 - 22:15
Публикации: 54876

Большое спасибо за ответ.

Катенёв Валентин Львович аватар
Не на сайте
Был на сайте: 7 лет 2 недели назад
Зарегистрирован: 22.03.2008 - 22:15
Публикации: 54876

Vega wrote:

Так что, по всей видимости, это действительно был стресс-перелом. Который крайне редко встречается. Хоть статейку в журнал пишиУлыбаюсь.