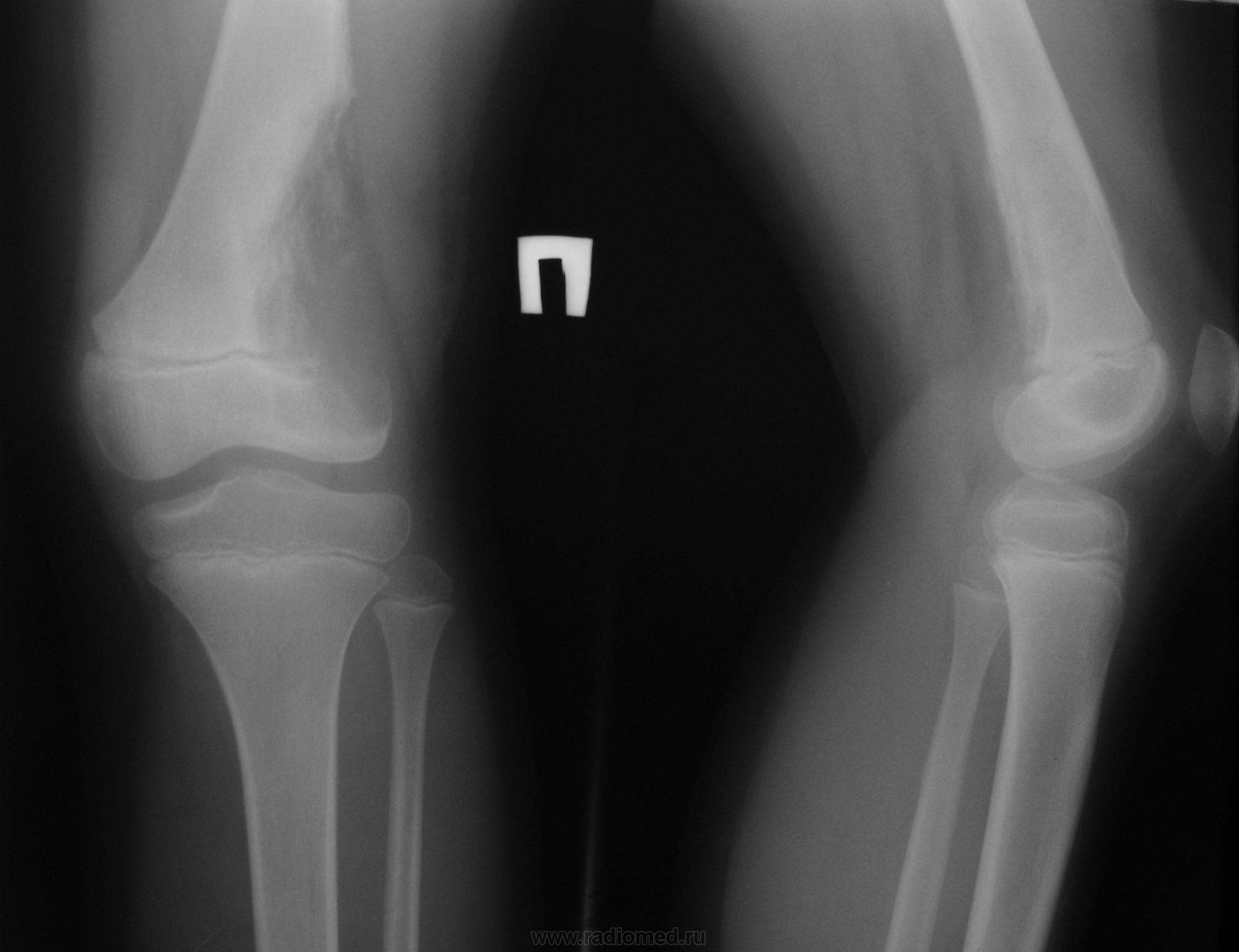
Девочка 6 лет. В течение 2 недель отмечает боли в бедре, ночного компонента болей нет. Однократно повышалась температура тела до фебрильных цифр. Местно: болезненность при пальпации в н/3 бедра, припухлости нет. Дижения в коленном суставе в полном объёме. Ходит, слегка прихрамывая.
Выполнили рентгенограммы. Компьютерный томограф сломан уже несколько месяцев с необнадёживающей перспективой починки в ближайшее время.
Наши мысли:
1. Массивный литический очаг - остеосаркома/Юинг? Но: отсутствие клиники злокачественной опухоли? Отсутствие периостоза, да и патологический процесс распространяется через зону роста, что для сарком/Юинга нехарактерно.
2. Остеомиелит? Но - где температура, отёк и все остальные сопутствующие признаки гнойного процесса? При такой выраженной деструкции они должны быть также крайне выраженными.
3. Туберкулёз? Вроде бы всё сходится. И лизис, и распространение через бессосудистую зону. Но уверенности нет.
Ребёнок идёт на открытую биопсию.
Хотелось бы знать мнение уважаемых коллег.
Не похоже?
На мой взгляд, не очень. В Ваших случаях - границы патологического очага четкие, даже с ободком склероза. У нас же нет чётких границ, деструкция носит характер скорее "тающего сахара", как мне кажется...
Возможно, и не "то", но раз есть сомнения по поводу туберкулеза, тогда на первый план выплывает законный вопрос - что в лёгких, рентгенограмму ОГК делали?
а мне кажется похоже
Вылегжанина Юлия
в д.д ряд аневризматич. костная киста,энхондрома ,остеогенная саркома .необходдимо определить разрушение замыкательной пластинки вследствии деструкции или атрофии от давления!!лучше сделать мрт для определения содержимого и исключения инфильтрации мягких тканей,а лучше сделать биопсию не теряя времени
На туберкулёз не особенно расчитывайте. Сухую костоеду таких размеров не встречал, а при обычном туб. остите был бы натёчник и синовит. Иногда такой остеолиз бывает после ожогов, причем не обязательно бедра.
ага все бы лучше МРТ да КТ !ну только не саркома
Вылегжанина Юлия
А почему не отправить ребенка туда, где есть КТ/МРТ?! С диагнозом нужно определяться как можно быстрее, а биопсия не за 1 день делается...
А чем нам очень особо поможет КТ/МРТ? Учитывая, что перевод туда, где они есть, займет как минимум несколько дней? Очаг лизиса нам виден. Диагностический круг очеречен. Без биопсии всё равно не обойтись.
Её, кстати, несколько часов назад и сделали... Прошли кожу и фасцию, неизменённые мышцы. Опухолевой ткани нет. Дошли до кости, точнее, до того что от неё осталось. Вошли в патологический очаг, он выглядел как рыхлая жироподобная? серая ткань. Не хрящевой плотности, расползалась прямо в руках. И вроде бы не казеоз. Взяли её на гистологию. Взяли также кусок истонченного кортикала, изъеденного опухолью. Теперь будем ждать ответа гистологов.
P.s.: рентген ОГК не делали, не успели - ребёнок оперирован на следующие сутки после поступления.
Мне кажется, что картинки Валентина Львовича подходят к данным рентгенограммам. Но при биопсии, вероятно, должна быть кровь, а здесь "серая ткань". Будем ждать результата биопсии.
Однажды автор представлял не очень, но подобное, только в проекции тазобедренного сустава-помниться точку поставили только в ЦИТО? Ничего не понимаю в детстве, но очень хотелось бы узнать конечный результат-учиться никогда не поздно.
Бывает, что и гистологи не могут поставить точку http://www.radiomed.ru/forum/fibroznaya-displaziya-ili-osteosarkoma-ili-progressiruyushchii-osteoliz
Андрей Юрьевич
Поставила бы в диф.дз туберкулез и гистиоцитоз.
https://www.instagram.com/pediatricradiology/
Пришел гистологический ответ: злокачественная фиброгистиоцитома.
Уж лучше бы был туберкулёз.
Спасибо за информацию!
__________________________
доктор медицинских наук, профессор Берченко Геннадий Николаевич
ЗЛОКАЧЕСТВЕННАЯ ФИБРОЗНАЯ ГИСТИОЦИТОМА
Клиническая картина. Боль, болезненность при пальпации, часто патологические переломы.
Рентгенологически — остеолитический эксцентрично расположенный очаг без признаков обызвествления и чётких границ; периостальная реакция обнаруживается редко; обычно разрушение кортикальной пластинки и распространение опухоли в мягкие ткани.
Микроскопия. Комбинация гистиоцитарных и фибробластических элементов, характерны гигантские многоядерные клетки; веретеноклеточные элементы формируют «муаровый» рисунок; выраженная цитологическая атипия; частые митозы (в том числе патологические).
Дифференциальная диагностика. Неоссифицируемая фиброма, пигментированный виллёзно-нодулярный синовит, гигантоклеточная репаративная гранулёма кости, гигантоклеточная опухоль, фибросаркома, фибробластический вариант остеосаркомы.
Лечение. Неоадъювантная химиотерапия c последующей адекватной сегментарной резекцией кости вместе с опухолью. В ряде случаев показана ампутация. Кроме оперативного вмешательства проводят адъювантную химиотерапию или лучевую терапию.
Исход неблагоприятный.
http://www.radiomed.ru/publications/onkologiya-gistiotsitoma-fibroznaya-zlokachestvennaya-pr
Vega, у нас тоже недавно прошел ребенок с этой опухолью, правда, в нашем случае явного перехода на эпифиз не было.
Мальчик, 12 лет. Поступил вчера с жалобами на боли в голени при ходьбе в течение месяца, ночных болей нет.
https://www.instagram.com/pediatricradiology/
Зашёл недавно по делам в онкогематологическое отделение и увидел... нашу бывшую пациентку. Она там получает химиотерапию.
Узнал их дальнейшую после убытия в Москву судьбу - препараты дважды пересматривались вплоть до участия Талалаева А. Г., главного детского патоморфолога г. Москвы. В конце-концов был установлен диагноз - остеогенная саркома. Назначен блок химии, после проведения которого будет решаться вопрос об операции
.
Уж что-что, но саркому мы всё-таки исключали...
У гистологов семь пятниц на неделе.
А может патоморфоз произошёл костных опухолей?
Может быть... Не знаю. Даже предположить больше ничего не смею. Ведь собственными глазами видел, что никакого опухолевого компонента не было...По крайней мере, ничего абсолютно не было схожего с настоящей саркомой, которую видел не раз на биопсии....
Грустно всё это... Можем читать книжки, листать интернет, слушать конференции... А итог один - scio me nihil scire.
Попалось опять на глаза гистологическое заключение этой опухоли гистологов ФНКЦ им. Д. Рогачёва: учитывая рентгенологические данные, гистологическая картина более всего соответствует телеангиоэктатической остеосаркоме.
У нас на сайте есть материал по этой опухоли:
http://www.radiomed.ru/publications/onkologiya-sarkoma-teleangioektaticheskaya-osteosarkoma-pr
А ведь, действительно, очень похоже было...
После такого действительно начинаешь задумываться, что в случае чего - диагностироваться только за границу....
Не думайте, что за границей работают одни сплошь доктора Хаусы. В презентации Джемса О. Джонсона, представленной по вышеуказанной ссылке, Вы можете видеть, что в подавляющем большинстве случаев пациентам с этим видом саромы диагноз был поставлен далеко не сразу и лечились они от обычных аневризмальных кист...
Я не строю иллюзий.
И,может, все же прав поэт? Не верится,что это враки. Чем ближе узнаю людей,тем больше нравятся собаки.
http://www.radiologyassistant.nl/en/494e15cbf0d8d
Интересное обсуждение, достойное повторения.
"Слушай всех, прислушивайся к немногим, решай сам".©
Да, и с хорошей ссылкой на "битву гистологов".