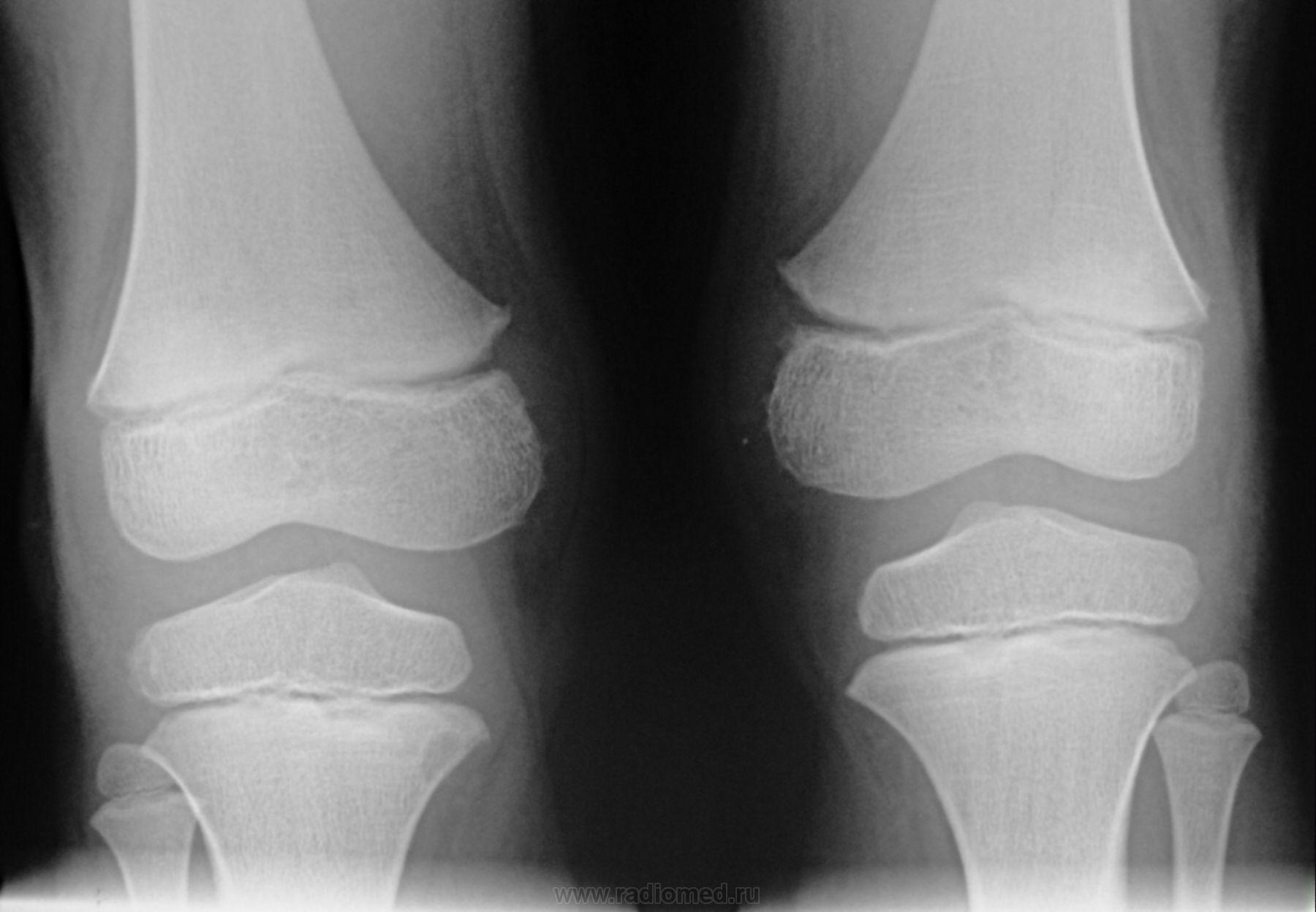
Пол пациента: Мужской пол Тип патологии: Доброкачественное новообразование, киста Область исследования: Скелетно-мышечная система Методы исследования: Rg Мальчик 2003 года рождения беспокоят осалгии направлен ортопедром, не нравиться киста, что порекомендуете? https://radiomed.ru/sites/default/files/styles/case_slider_image/public/user/1787/dsc01263.jpg?itok=28ZCqaKG ID:11719 Втр, 01/02/2011 - 12:15 #1 Vikkur Не на сайте Был на сайте: 4 года 9 месяцев назад Зарегистрирован: 24.09.2009 - 14:34 Публикации: 1749 ctПриложения: Виктор.
ct
Виктор.