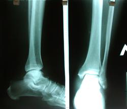
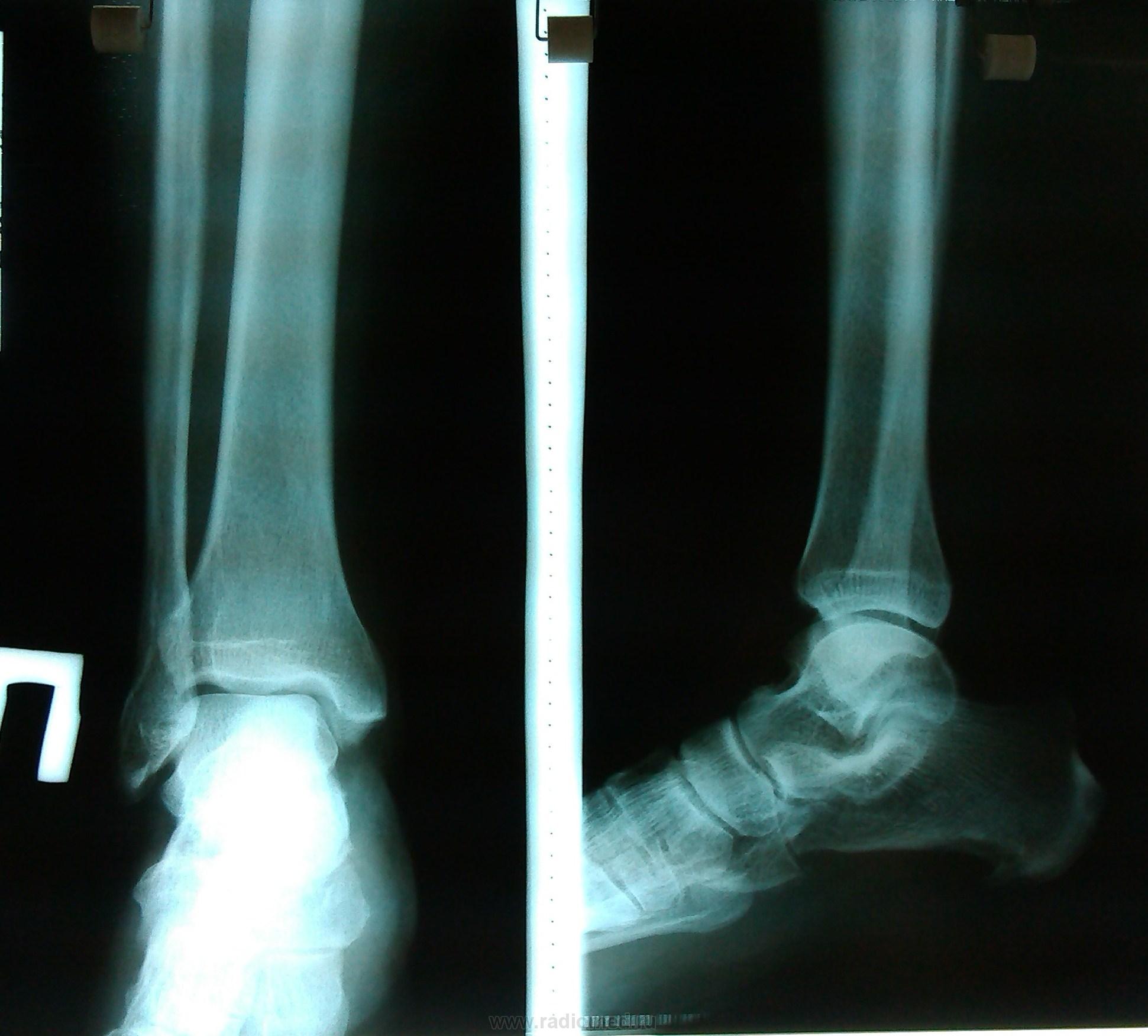
Пол пациента: Женский пол Тип патологии: Другое Область исследования: Скелетно-мышечная система Методы исследования: Rg Пациентка , 49 лет. Ds: Остеоартроз обоих голеност-х суставов. Дополнительная тень левой большеберцовой кости? https://radiomed.ru/sites/default/files/styles/case_slider_image/public/user/18609/img_20130813_160611.jpg?itok=MJd9oCoL ID:30750 Втр, 13/08/2013 - 22:20 #1 Андрей Юрьевич Не на сайте Был на сайте: 6 дней 20 часов назад Зарегистрирован: 16.11.2008 - 22:16 Публикации: 18098 Сосуд, по всей видимости. Андрей Юрьевич Ср, 14/08/2013 - 11:56 #2 Алексей Игореви... Не на сайте Был на сайте: 6 лет 10 месяцев назад Зарегистрирован: 08.08.2012 - 21:52 Публикации: 786 Ну так она не в кости. Или сосуд, или какой-то кальцинат в мягких тканях. "Обучая других - учишься сам". Н.И.Пирогов Ср, 14/08/2013 - 12:40 #3 stovbav Не на сайте Был на сайте: 2 года 2 месяцев назад Зарегистрирован: 20.12.2009 - 17:28 Публикации: 7066 Гетеротопическое окостенение в параоссальных тканях. Генез - как правило постравматического характера, но не факт. Болезни ног: виды, симптомы, причины, профилактика и лечение
Сосуд, по всей видимости.
Андрей Юрьевич
Ну так она не в кости. Или сосуд, или какой-то кальцинат в мягких тканях.
"Обучая других - учишься сам". Н.И.Пирогов
Гетеротопическое окостенение в параоссальных тканях.
Генез - как правило постравматического характера, но не факт.
Болезни ног: виды, симптомы, причины, профилактика и лечение