Остеохондрит?

Пол пациента: 
Тип патологии: 
Область исследования: 
Методы исследования: 

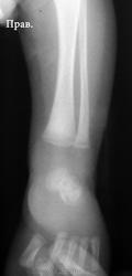
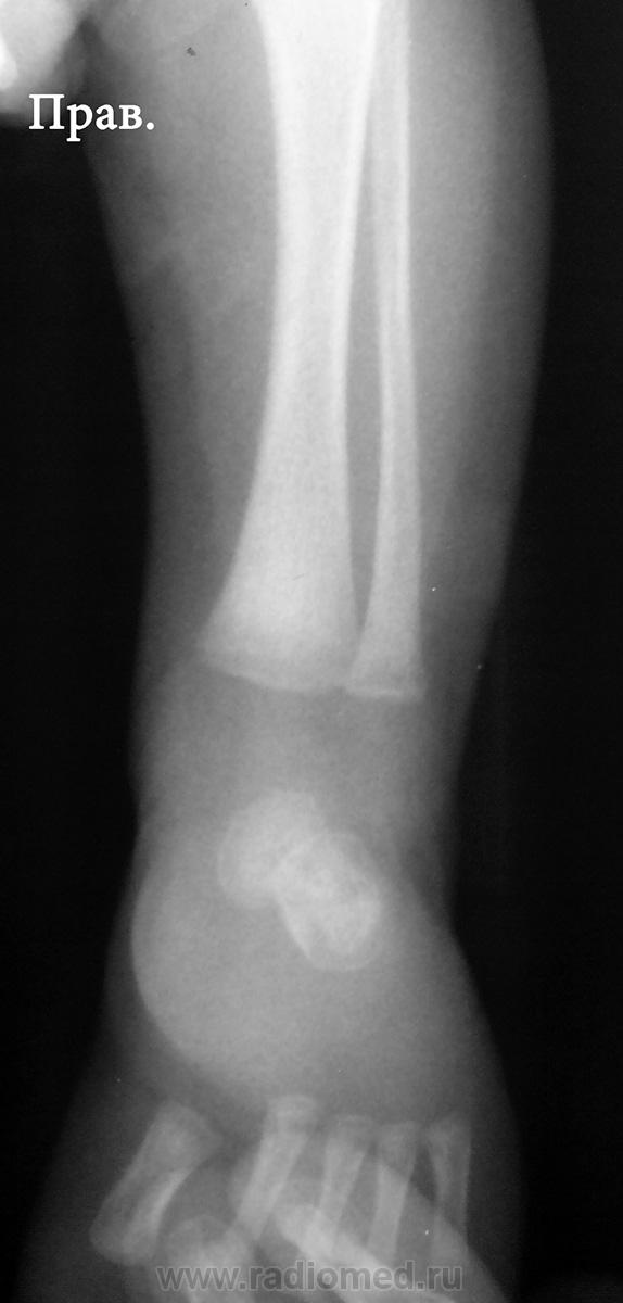
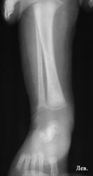
Ребенку 2-3 недели, лежит у нас по поводу остеомиелита. Дней 7 назад - появились отек, болезненность левого голеностопа, про анализы, к сожалению, ничего сказать не могу. Получил курс антибиотиков, отек спал. 

Извиняюсь за качество фоток, к вечеру пятницы руки уже нетвердые были, мобилку не удержал :)

В проксимальных метафизах большеберцовых - такие же полоски.

Заключение писать не стал, сказал, что дома почитаю и что-нибудь умное придумаю :)

Против сифилиса хирурги встали на дыбы, типа семья порядочная, и т.д. У старшего ребенка - какие-то проблемы с зубами (то ли резцы не выросли, то ли ещё что...)

Сильно смущают пяточные и таранные кости - нигде не нашел, чтоб в них остеохондрит встречался...

  • https://radiomed.ru/sites/default/files/styles/case_slider_image/public/user/2849/dsc01271_.jpg?itok=3zjanWnt
  • https://radiomed.ru/sites/default/files/styles/case_slider_image/public/user/2849/dsc01272_.jpg?itok=2_VEIMKj
ID:22314
Андрей Юрьевич аватар
Не на сайте
Был на сайте: 5 дней 19 часов назад
Зарегистрирован: 16.11.2008 - 22:16
Публикации: 18098

Конечно, лучше обратиться к Ola-la. Чем могу - при заболевании длительностью в 7 дней рентгенизменений в костях может и не быть; у детей р-картину лучше сравнивать со снимками симметричной конечности.

Андрей Юрьевич

Ola-la аватар
Не на сайте
Был на сайте: 10 месяцев 1 неделя назад
Зарегистрирован: 06.12.2008 - 09:33
Публикации: 1786

Давно не встречалась с врожденным костным сифилисом, лет 10, позабылось все (раньше, в другой больнице, видела его достаточно часто), но что могу сказать - полосы просветления в метафизах (а также полосатость ядер окостенения пяточной и таранной костей) встречаются не только при сифилисе, часто видела их у здоровых недоношенных;  при сифилисе, кроме этих полос, должно быть расширение и зазубренность зон предварительного обызвествления, симметрично в костях голеней и предплечий, клинически, обычно, не проявляется, только при третьей стадии остеохондрита, когда появляются псевдопараличи Парро - появляется припухлость, отек, ограничение движений, и это также с обеих сторон. Здесь мне видится нечеткость метафиза малоберцовой кости слева, скорее всего, обычный остеомиелит. Конечно, анализ на сифилис, все-равно, заказать надо.

Mavr аватар
Не на сайте
Был на сайте: 7 лет 2 месяцев назад
Зарегистрирован: 06.01.2010 - 22:54
Публикации: 183

Спасибо за подсказку про недоношенных, видел у них несколько раз такое, но до сих пор не уверен - норма это для них или нет.

Ola-la wrote:

 Здесь мне видится нечеткость метафиза малоберцовой кости слева, скорее всего, обычный остеомиелит. Конечно, анализ на сифилис, все-равно, заказать надо.

К малоберцовке тоже придрался, тем более и клиника именно там была.