- https://radiomed.ru/sites/default/files/styles/case_slider_image/public/user/5598/1948.jpeg?itok=c_0JNrzD
- https://radiomed.ru/sites/default/files/styles/case_slider_image/public/user/5598/1949.jpeg?itok=r4J1QqtP
- https://radiomed.ru/sites/default/files/styles/case_slider_image/public/user/5598/1950.jpeg?itok=mZMqKKLh
ID:54427
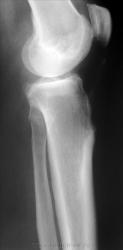
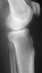
Или остеоид-остеома. Сделайте КТ
"самоуверенность дилетантов - предмет зависти профессионалов"
А если без КТ? Не всем дано чудо технического гения... Кто-то (например, я) работает на РУМ-20М конца прошлого века.
Да результат это давно забытой травмы.
Тогда порекомендуйте аспириновый тест.
"самоуверенность дилетантов - предмет зависти профессионалов"