Пол пациента:
Тип патологии:
Область исследования:
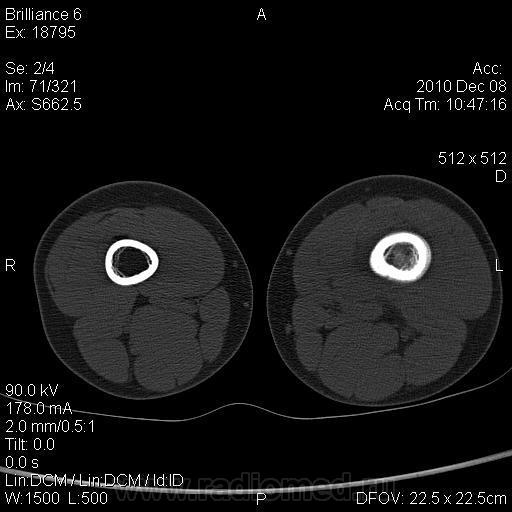
Мальчик 10 лет. Жалобы на боли в н/3 бедра, появились несколько недель назад. Присутствует ночной компонент болей, хотя и не превалирует. При осмотре - хромает на левую ногу, припухлость и болезненность при пальпации в н/з бедра, больше по медиальной поверхности. Выполнили рентгенограммы, затем - КТ, выявлена следующая картина. Мысли самые нехорошие :-(. Завтра делаем открытую биопсию.
Хотелось бы узнать мнение уважаемых коллег.
[[wysiwyg_imageupload:866:]]
- https://radiomed.ru/sites/default/files/styles/case_slider_image/public/user/794/9.jpg?itok=Q_1hsxKE
- https://radiomed.ru/sites/default/files/styles/case_slider_image/public/user/794/10.jpg?itok=DgkwP4fa
- https://radiomed.ru/sites/default/files/styles/case_slider_image/public/user/794/10002_1.jpg?itok=BCEYCXPD
- https://radiomed.ru/sites/default/files/styles/case_slider_image/public/user/794/10003_1.jpg?itok=I0wP_ggP
- https://radiomed.ru/sites/default/files/styles/case_slider_image/public/user/794/10004_1.jpg?itok=DAPCNOS6
- https://radiomed.ru/sites/default/files/styles/case_slider_image/public/user/794/10005_1.jpg?itok=DBUI-XOi
- https://radiomed.ru/sites/default/files/styles/case_slider_image/public/user/794/10006_0.jpg?itok=MSApvZCM
- https://radiomed.ru/sites/default/files/styles/case_slider_image/public/user/794/10007.jpg?itok=KTto8TJW
- https://radiomed.ru/sites/default/files/styles/case_slider_image/public/user/794/14.jpg?itok=339svzTW
- https://radiomed.ru/sites/default/files/styles/case_slider_image/public/user/794/12.jpg?itok=jXnlAU-j
- https://radiomed.ru/sites/default/files/styles/case_slider_image/public/user/794/13.jpg?itok=jkBUc42s
ID:9965
хорошего мало,литический очаг, периостит, м\тк компонент вздутие кости, возраст- Юинг? Тут нужна Татьяна Валентиновна
Типичное место, имеется мягкотканный компонент. Да, хорошего мало...
Великое преймущество врача заключается в том, что он не обязан следовать собственным советам. ( А. Кристи)
Остеосаркома мне представляется более вероятной, но согласна с Александром Викторовичем - дифференцировать надо с Юингом.
"самоуверенность дилетантов - предмет зависти профессионалов"
Вызывает интерес еще и тот факт, что в зоне поражения находится кортикальный дефект. Неужели саркома развились из фиброзного кортикального дефекта? В в/3 большеберцовой кости тоже определяется аналогичный кортикальный дефект...
Если это так, то, наверное, к таким дефектам всегда надо будет относиться с осторожностью...
Как ни жаль, но, однозначно, злая опухоль. Я больше склоняюсь к саркоме Юинга.
https://www.instagram.com/pediatricradiology/
Фиброзные дефекты, думаю, просто совпадение; опухоль, явно, не из них.
https://www.instagram.com/pediatricradiology/
Остеогенная саркома, за Юинг - нет лука, но довольно крупный компонент в костно-мозговом канале. Надо бы глянуть на МР,, куда улетает по гаверсам и по костно-мозговому каналу. Интересна тактика хирургов. Думаю предложат органсохранную операцию, получат через 6 месяцев рецидив и ждём лёгкие. Сделали-ли сейчас КТ лёгких интересно, если исходно предполагается зло?
с уважением. Иозефи Д.
Стадирование, конечно, проводили. КТ легких, УЗИ органов брюшной полости - чисто. Заключение гистологов - остеогенная саркома. Направили ребёнка в РДКБ. По предшествующему опыту - сначала проводят несколько курсов химии, а потом - эндопротезирование.
Не разделяю пессимизма по поводу органосохраняющих операций - у нас несколько детей прошло с подобными опухолями. Всем поставили протез коленного сустава. Пока что 5-летней выживаемости не увидели только в одном случае... Хотя, может быть, Вы имеете в виду несколько другое под термином "органосохраняющие"?
Без МР с временем релаксацией для остеогенной саркомы инверсией, без оценки продолжительности по каналу и гаверсам, причём надо увидеть пиксель с этой тканью, и без сомнений прибавить см3-4, вот это и будет радикальная зона резекции. В лёгких вряд-ли ничего нет, это будущее МР визуализации, видеть скопление минимального количество клеток в воздушной среде. Вообще мы ловим то, что не видит ни КТ, ни сцинтиграфия, ПЭТ - чисто маркетинг, МР сканер может это делать без всяких меченных глюкоз. Мы занимаемся этим уже давно, лет 7, патент даже оформили на дифференциальную МР-морфологию тканей, точность достаточно железобетонная, т.е. каждый гистотип имеет свою протонную плотность, протонную! а не физическую, т.е. можно сделать белым цветом любой предполагаемый гистологический тип опухоли, например остеогенная саркома, и, погасить сигнал от всех остальных тканей, костных, жира, воды, соответственно протонная плотность любого объёма опухолевой ткани будет абсолютно одинакова, остаётся только подобрать время инверсии, чтобы засветить эту ткань и всё, вот вам ПЭТ, зная закономерность распространения этого гистотипа в зависимости от возраста и пола, просматриваем где нужно и отыскиваем даже 2 мм лимфатические лимфоузлы, таким же образом их определяем, есть там опухолевая ткань или нет, на КТ смотрим только лёгкие и если необходиимо оценить любую костную структуру, для каких-либо целей. Получаем сто процентную на настоящее время и возможности визуализации на настоящий момент в мире истинную объективную картину. Уже зная такие нюансы клиницисты могут уже чётко пользоваться этими данными, не сомневаясь, формировать все этапы лечения согласно полученной от нас информации. А всё что имеется в книжечках, можно забывать, это немного новая эра в понимании онкопроцесса к любому гистологическому типу опухолей.
с уважением. Иозефи Д.
Пришел к Вам человек 40 лет со слабостью. Есть деньги и желание знать - есть рак или нет рака. Сколько маркеров гистотипов Вы будете использовать? Или больной поступает к Вам уже с 80%-ным диагнозом, пройдя участкового терапевта, онколога, ЦРБ, ОКБ и с кучей иных, менее крутых исследований?
КТ на сегодняшний день становится скринингом, как ФЛГ в 20-м веке! Не всё можно на КТ диагностировать, верно. Но и возможности Вашего метода, как и любого другого, ограничены! Все специалисты подобны флюсу, и претензии по этому поводу к Козьме Пруткову
.
Все это просто превосходно... Только вот применимо ли к реальности? Могу ли я следующего такого ребёнка отослать к Вам в учреждение, чтобы провести все эти чудесные обследования? Или Вы занимаетесь чисто наукой?
Что значит применимо? Конечно присылайте, с удовольствием поработаем с любым вопросом, какая наука, чистая практическая деятельность, ежедневная.
с уважением. Иозефи Д.