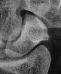
Пациент направлен хирургом на рентгенографию лучезапястного сустава с подозрением на артроз.

Пол пациента: 
Тип патологии: 
Область исследования: 
Методы исследования: 

Пациент направлен хирургом на рентгенографию лучезапястного сустава с подозрением на артроз.

Какие мнения будут уважаемые коллеги?

  • https://radiomed.ru/sites/default/files/styles/case_slider_image/public/user/12/2.p8260040.jpg?itok=j83WqJ2b
  • https://radiomed.ru/sites/default/files/styles/case_slider_image/public/user/12/3.p8260039.jpg?itok=KrStzJXi
  • https://radiomed.ru/sites/default/files/styles/case_slider_image/public/user/12/4.p8260041.jpg?itok=uA8FISvN
  • https://radiomed.ru/sites/default/files/styles/case_slider_image/public/user/12/5.p8260042.jpg?itok=QKFVkq9V
  • https://radiomed.ru/sites/default/files/styles/case_slider_image/public/user/12/6.p8260042a.jpg?itok=RlsKsjJq
  • https://radiomed.ru/sites/default/files/styles/case_slider_image/public/user/12/7.p8260043.jpg?itok=lkIXA1xC
  • https://radiomed.ru/sites/default/files/styles/case_slider_image/public/user/12/8.p8260043a.jpg?itok=FjORZ2O4
ID:15026
rentgengb1 аватар
Не на сайте
Был на сайте: 11 лет 12 месяцев назад
Зарегистрирован: 13.02.2009 - 23:02
Публикации: 290

tuberculum ossis scaphoidei

swyty аватар
Не на сайте
Был на сайте: 8 месяцев 1 неделя назад
Зарегистрирован: 10.04.2011 - 11:06
Публикации: 276

И что этот бугорок может вызывать боли в суставе?