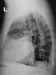
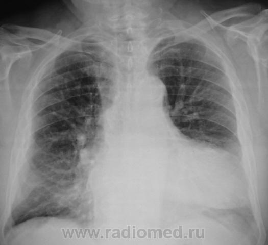
Пациент направлен на исследование ОГК с диагнозом "Экссудативный плеврит слева".

Пол пациента: 
Тип патологии: 
Методы исследования: 

Пациент направлен на исследование ОГК с диагнозом "Экссудативный плеврит слева".

  • https://radiomed.ru/sites/default/files/styles/case_slider_image/public/user/12/12.pa050025.jpg?itok=ce54niuG
  • https://radiomed.ru/sites/default/files/styles/case_slider_image/public/user/12/13.pa050026.jpg?itok=KBzuZoMw
  • https://radiomed.ru/sites/default/files/styles/case_slider_image/public/user/12/14.pa050027.jpg?itok=amIKAoRP
ID:7653
stovbav аватар
Не на сайте
Был на сайте: 2 года 2 месяцев назад
Зарегистрирован: 20.12.2009 - 17:28
Публикации: 7066

Здравствуйте, Валентин Львович!

Версия, полагаю терапевтов, о плеврите интерсна. Вопрос другой - что же это за "зверь" в передне-медиальном отделе слева? И еще оболее интересное предположение, а связан ли "он" вообще с левым легким?...а не имеет ли "он" отношения к сердцу?

Делали ли Вы томограммы?

Катенёв Валентин Львович аватар
Не на сайте
Был на сайте: 7 лет 3 недели назад
Зарегистрирован: 22.03.2008 - 22:15
Публикации: 54876
Приложения: 
15.pa050033.jpg16.pa050034.jpg
Катенёв Валентин Львович аватар
Не на сайте
Был на сайте: 7 лет 3 недели назад
Зарегистрирован: 22.03.2008 - 22:15
Публикации: 54876

Решили делать "томо" в боковой проекции.

 

Приложения: 
31.pa050028.jpg32.pa050028a.jpg33.pa050029.jpg34.pa050029a.jpg35.pa050032.jpg36.pa050032a.jpg
stovbav аватар
Не на сайте
Был на сайте: 2 года 2 месяцев назад
Зарегистрирован: 20.12.2009 - 17:28
Публикации: 7066

Честно говоря, никогда со столь необычной локализацией и формой осумкованого  плеврита не встречался...а в голове все время вертится неотвязная мысль "миксома????"...хотя это далеко не факт...

Так а что на боковых томограммах?

Катенёв Валентин Львович аватар
Не на сайте
Был на сайте: 7 лет 3 недели назад
Зарегистрирован: 22.03.2008 - 22:15
Публикации: 54876

Сам в растерянности, об осумковании даже не думаю.

 

Приложения: 
31.pa050030.jpg32.pa050030a.jpg33.pa050031.jpg34.pa050031a.jpg
stovbav аватар
Не на сайте
Был на сайте: 2 года 2 месяцев назад
Зарегистрирован: 20.12.2009 - 17:28
Публикации: 7066

Валентин Львович, а ведь никто не сказал, что и слева не может быть целомических кист перикарда, в т.ч. и таких больших?

Вот и сложился пока небольшой диф.ряд. Думаю, коллеги тоже выскажутся по этому поводу.

Но в плане дообследования - однозначно необходимо КТ, хотя, УЗИ сердца тоже может внести кое какую ясность.

 

Для меня, кстати, совсем не понятно, почему имея такого специалиста рентгенолога, УЗИсты Вашей ЦРБ оказывают Вам так мало содействия? Ведь в тандеме с хорошим УЗИстом многие проблемы можно решить и на местном уровне....

Катенёв Валентин Львович аватар
Не на сайте
Был на сайте: 7 лет 3 недели назад
Зарегистрирован: 22.03.2008 - 22:15
Публикации: 54876

Самое плохое, что нет никакого архива. "Крендель" последний раз проходил флюшку в 2007 году на "передвижке" из областного центра (пленочный), а следовательно "концов не найти". Жалобы какие-то неопределенные типа "малого простудного заболевания", но у нас, сейчас многие с соплями.

Катенёв Валентин Львович аватар
Не на сайте
Был на сайте: 7 лет 3 недели назад
Зарегистрирован: 22.03.2008 - 22:15
Публикации: 54876

stovbav wrote:

 УЗИсты Вашей ЦРБ оказывают Вам так мало содействия? Ведь в тандеме с хорошим УЗИстом многие проблемы можно решить и на местном уровне....

Вопрос этот очень больной, считаете, что узистов нет...

stovbav аватар
Не на сайте
Был на сайте: 2 года 2 месяцев назад
Зарегистрирован: 20.12.2009 - 17:28
Публикации: 7066

Ну к "соплям" такие изменения НИКАКОГО отношения не имеют; на пленке 100% образование было пропущено (приняли за гипертрофию левого желудочка, в лучшем случаеПодмигиваю).

Катенёв Валентин Львович аватар
Не на сайте
Был на сайте: 7 лет 3 недели назад
Зарегистрирован: 22.03.2008 - 22:15
Публикации: 54876

По всей видимости, по поводу "пропуска", Вы правы.

Almo аватар
Не на сайте
Был на сайте: 3 часа 6 минут назад
Зарегистрирован: 28.09.2008 - 18:50
Публикации: 8261

Я думаю, многие вопросы может снять R-скопия лёгких. Странно, что при столь выраженных изменинеиях нет особой клиники...Скорее, изменения связаны с сердцем или перикардом, возможно какое-то доброкачественное образование(?).

Helios аватар
Не на сайте
Был на сайте: 7 месяцев 3 недели назад
Зарегистрирован: 06.08.2010 - 15:16
Публикации: 4417

stovbav wrote:

Валентин Львович, а ведь никто не сказал, что и слева не может быть целомических кист перикарда, в т.ч. и таких больших?

Вот и сложился пока небольшой диф.ряд. Думаю, коллеги тоже выскажутся по этому поводу.

Но в плане дообследования - однозначно необходимо КТ, хотя, УЗИ сердца тоже может внести кое какую ясность.

 

Для меня, кстати, совсем не понятно, почему имея такого специалиста рентгенолога, УЗИсты Вашей ЦРБ оказывают Вам так мало содействия? Ведь в тандеме с хорошим УЗИстом многие проблемы можно решить и на местном уровне....

Добавить могу только-срочно ищите хорошего доктора и на спец.по УЗИ направляйте.не представляю  как можно без УЗИ.

Катенёв Валентин Львович аватар
Не на сайте
Был на сайте: 7 лет 3 недели назад
Зарегистрирован: 22.03.2008 - 22:15
Публикации: 54876

Сегодня на работе начал "раскопки" данного случая. Все оказалось ужасно интересно, завтра раскопки закончу и информацию выложу...

Катенёв Валентин Львович аватар
Не на сайте
Был на сайте: 7 лет 3 недели назад
Зарегистрирован: 22.03.2008 - 22:15
Публикации: 54876

Раскопки закончил.

Оказалось, что "надцать лет" тому (со слов зятя и врача, который надзирает за участком, где проживает пациент), пациенту был поставлен диагноз периферического рака лёгкого, тогда оперировать не решились, ожидали летального исхода. Но, пациент, несмотря на диагноз, чувствовал себя хорошо, вел довольно активный образ жизни, потолстел, и все дружно забыли за "диагноз", хотя, как уверяет участковый терапевт - "о диагнозе знает"

Сегодня созвонился с областной конторой, говорил с 1 замом, направляем пациента туда с предварительным диагнозом - "Миксома", рекомендовали КТ и всю прочую "онкологическую атрибутику".

Makcimalist аватар
Не на сайте
Был на сайте: 11 лет 9 месяцев назад
Зарегистрирован: 08.05.2010 - 14:28
Публикации: 1994

Катенёв Валентин Львович wrote:

Раскопки закончил.

... направляем пациента туда с предварительным диагнозом - "Миксома", рекомендовали КТ и всю прочую "онкологическую атрибутику".

Валентин Львович, уточните - по каким признакам предполагаете миксому?..

--------------

"Просто, по видимости, не видеть логики в очевидных вещах - это тоже одно из свойств некоторых умов, наряду с грустными думами о свойствах ума других."  © Vega 08/10/2011

Катенёв Валентин Львович аватар
Не на сайте
Был на сайте: 7 лет 3 недели назад
Зарегистрирован: 22.03.2008 - 22:15
Публикации: 54876

Makcimalist wrote:

Катенёв Валентин Львович wrote:

Раскопки закончил.

... направляем пациента туда с предварительным диагнозом - "Миксома", рекомендовали КТ и всю прочую "онкологическую атрибутику".

Валентин Львович, уточните - по каким признакам предполагаете миксому?..

Я не сильно вдавался в лучевую симптоматологию, скорее для проформы, выставил "данный диагноз", созвонился с начмедом областного учреждения (ООД), который взял под свой "контроль" данного пациента, а следовательно, появилась уверенность в "правильном диагнозе", учитывая высокую диагностическую оснащенность данного учреждения.

Makcimalist аватар
Не на сайте
Был на сайте: 11 лет 9 месяцев назад
Зарегистрирован: 08.05.2010 - 14:28
Публикации: 1994

Ждём результатов (диагностических)!..

--------------

"Просто, по видимости, не видеть логики в очевидных вещах - это тоже одно из свойств некоторых умов, наряду с грустными думами о свойствах ума других."  © Vega 08/10/2011

Катенёв Валентин Львович аватар
Не на сайте
Был на сайте: 7 лет 3 недели назад
Зарегистрирован: 22.03.2008 - 22:15
Публикации: 54876

Makcimalist wrote:

Ждём результатов (диагностических)!..

Конечно, результаты будут, и они будут выставлены.

X-Ray13 аватар
Не на сайте
Был на сайте: 1 год 2 месяцев назад
Зарегистрирован: 30.01.2014 - 21:41
Публикации: 1199

Ничего неизвестно? )))

Катенёв Валентин Львович аватар
Не на сайте
Был на сайте: 7 лет 3 недели назад
Зарегистрирован: 22.03.2008 - 22:15
Публикации: 54876

Нет.

X-Ray13 аватар
Не на сайте
Был на сайте: 1 год 2 месяцев назад
Зарегистрирован: 30.01.2014 - 21:41
Публикации: 1199

Спасибо.