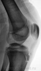
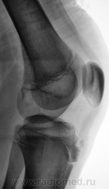
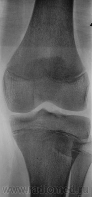
Пациент направлен на рентгенографию коленного сустава с диагнозом - Болезнь Осгут - Шлаттера.

Пол пациента: 
Тип патологии: 
Область исследования: 
Методы исследования: 

Пациент направлен на рентгенографию коленного сустава с диагнозом - Болезнь Осгут - Шлаттера.

  • https://radiomed.ru/sites/default/files/styles/case_slider_image/public/user/12/2.o.pa190070.jpg?itok=xOTCCYeT
  • https://radiomed.ru/sites/default/files/styles/case_slider_image/public/user/12/3.o.pa190071.jpg?itok=7WAck01_
  • https://radiomed.ru/sites/default/files/styles/case_slider_image/public/user/12/4.o.pa190071a.jpg?itok=Xm1xN8lY
  • https://radiomed.ru/sites/default/files/styles/case_slider_image/public/user/12/5.o.pa190072.jpg?itok=C43sNC6J
  • https://radiomed.ru/sites/default/files/styles/case_slider_image/public/user/12/6.o.pa190072a.jpg?itok=aDaS-1lQ
ID:8113
Виктор ВК аватар
Не на сайте
Был на сайте: 14 лет 8 месяцев назад
Зарегистрирован: 01.10.2010 - 15:34
Публикации: 114

фрагментация бугристости Б\Б кости

Виктор Владимирович К.

lupan аватар
Не на сайте
Был на сайте: 6 лет 10 месяцев назад
Зарегистрирован: 07.01.2010 - 17:17
Публикации: 1406

Подобные картинки частенько встречаются у взрослых людей, а я в затруднении: как трактовать?

Великое преймущество врача заключается в том, что он не обязан следовать собственным советам. ( А. Кристи)

Евгений1313 аватар
Не на сайте
Был на сайте: 13 лет 2 недели назад
Зарегистрирован: 15.10.2010 - 19:13
Публикации: 808

Трактовать надо так: до 18 лет это-остеохондопотия; после 18лет это асептический некроз.

Катенёв Валентин Львович аватар
Не на сайте
Был на сайте: 7 лет 3 недели назад
Зарегистрирован: 22.03.2008 - 22:15
Публикации: 54876

А может "норма"? А может вариант развития бугристости?

Makcimalist аватар
Не на сайте
Был на сайте: 11 лет 9 месяцев назад
Зарегистрирован: 08.05.2010 - 14:28
Публикации: 1994

Евгений1313 wrote:

Трактовать надо так: до 18 лет это-остеохондопотия; после 18лет это асептический некроз.

... при наличии соответствующей клиники!

--------------

"Просто, по видимости, не видеть логики в очевидных вещах - это тоже одно из свойств некоторых умов, наряду с грустными думами о свойствах ума других."  © Vega 08/10/2011

Шаба аватар
Не на сайте
Был на сайте: 3 года 4 месяцев назад
Зарегистрирован: 19.08.2010 - 22:01
Публикации: 122

Болезнь Осгут - Шлаттера, как-то не вдохновляет. Более склонен к консоидирующемуся отрывному перелому бугристости б/берцовой кости.

stovbav аватар
Не на сайте
Был на сайте: 2 года 2 месяцев назад
Зарегистрирован: 20.12.2009 - 17:28
Публикации: 7066

Более склонен к варианту окостенения, хотя травматический генез, как и асептический некроз (абсолютно согласен с Максималистом - при наличии клиники и анамнеза) с повестки дня окончательно, до выяснения оных, не снимаются.

Ермолаев аватар
Не на сайте
Был на сайте: 8 лет 10 месяцев назад
Зарегистрирован: 07.02.2009 - 16:33
Публикации: 670

Уважаемые коллеги! На мой взгляд, выявленное на рентгенограмме, образование костной плотности, с четкими, ровными контурами, однородное по своей структуре отношения с бугристости большеберцовой кости не имеет. Хотелось бы знать возраст пациента, его анамнез (спорт, травмы области коленного сустава). Больше похоже на обызвествления собственной связки надколенника. Дополнил бы УЗИ коленного сустава.

dok

Катенёв Валентин Львович аватар
Не на сайте
Был на сайте: 7 лет 3 недели назад
Зарегистрирован: 22.03.2008 - 22:15
Публикации: 54876

16 лет "учтенному лицу", ранее жалоб не было, рядом "мама", которой доктора посоветовали..., вот и вся история...

Катенёв Валентин Львович аватар
Не на сайте
Был на сайте: 7 лет 3 недели назад
Зарегистрирован: 22.03.2008 - 22:15
Публикации: 54876

Хотя, к данной патологии, в векторе будущего призыва, отношение "плевое", ежели нет изменений со стороны самого сустава. Но, кто-то маму обнадежил, и мама уподобилась "танку".

Makcimalist аватар
Не на сайте
Был на сайте: 11 лет 9 месяцев назад
Зарегистрирован: 08.05.2010 - 14:28
Публикации: 1994

Ермолаев wrote:

Уважаемые коллеги! На мой взгляд, выявленное на рентгенограмме, образование костной плотности, с четкими, ровными контурами, однородное по своей структуре отношения с бугристости большеберцовой кости не имеет. Хотелось бы знать возраст пациента, его анамнез (спорт, травмы области коленного сустава). Больше похоже на обызвествления собственной связки надколенника. Дополнил бы УЗИ коленного сустава.

а УЗИ сустава-то тогда зачем?..

--------------

"Просто, по видимости, не видеть логики в очевидных вещах - это тоже одно из свойств некоторых умов, наряду с грустными думами о свойствах ума других."  © Vega 08/10/2011