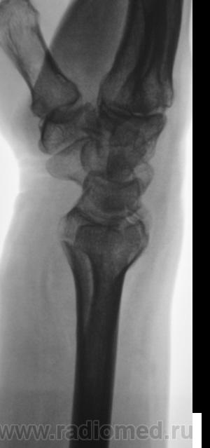
Пациент направлен на рентгенографию лучезапястного сустава.

Пол пациента: 
Тип патологии: 
Область исследования: 
Методы исследования: 

Пациент направлен на рентгенографию лучезапястного сустава хирургом, была травма. После производства снимков стали допытываться у пациента, о "факте более ранней травмы". Все бесполезно - не помнит, не знает ....

Ваше мнение, уважаемые коллеги?

 

  • https://radiomed.ru/sites/default/files/styles/case_slider_image/public/user/12/2.Ranee_.JPG?itok=6Inh2vrZ
  • https://radiomed.ru/sites/default/files/styles/case_slider_image/public/user/12/3.Ranee_.jpg?itok=e_d_UIvt
  • https://radiomed.ru/sites/default/files/styles/case_slider_image/public/user/12/4_Ranee.JPG?itok=mZFI5QXu
  • https://radiomed.ru/sites/default/files/styles/case_slider_image/public/user/12/5.Ranee_.JPG?itok=7Qpa741G
  • https://radiomed.ru/sites/default/files/styles/case_slider_image/public/user/12/6.Ranee_.jpg?itok=TrzlYj26
  • https://radiomed.ru/sites/default/files/styles/case_slider_image/public/user/12/7.Ranee_..jpg?itok=pOBqPJKz
ID:972
Ola-la аватар
Не на сайте
Был на сайте: 1 год 3 месяцев назад
Зарегистрирован: 06.12.2008 - 09:33
Публикации: 1786

Вот, у Королюка...

Приложения: 
1.JPG
Катенёв Валентин Львович аватар
Не на сайте
Был на сайте: 7 лет 5 месяцев назад
Зарегистрирован: 22.03.2008 - 22:15
Публикации: 54876

Травма.

Вот еще одна непонятность.

 

Приложения: 
1.Neponyatnost.JPG2.Neponyatnost.JPG3.Neponyatnost.jpg4.Neponyatnost.JPG5.Neponyatnost.JPG6.Neponyatnost..jpg
Игорь Иванович аватар
Не на сайте
Был на сайте: 4 года 2 месяцев назад
Зарегистрирован: 23.01.2010 - 14:56
Публикации: 3695

Ola-la wrote:

Вот, у Королюка...

А линия просветления в метаэпифизе луча?

Игорь Иванович аватар
Не на сайте
Был на сайте: 4 года 2 месяцев назад
Зарегистрирован: 23.01.2010 - 14:56
Публикации: 3695

Контур нечеткий, склероз и т.д.-на перелом не схоже. А действительно локальная болезненность в латер. лодыжке?

Катенёв Валентин Львович аватар
Не на сайте
Был на сайте: 7 лет 5 месяцев назад
Зарегистрирован: 22.03.2008 - 22:15
Публикации: 54876

Да, болезненность есть, клинически хирурги - за перелом.

Иринка аватар
Не на сайте
Был на сайте: 11 лет 10 месяцев назад
Зарегистрирован: 16.11.2009 - 22:14
Публикации: 190

Краевой перелом Наружной лодыжки

Приложения: 
3_Neponyatnost.jpg