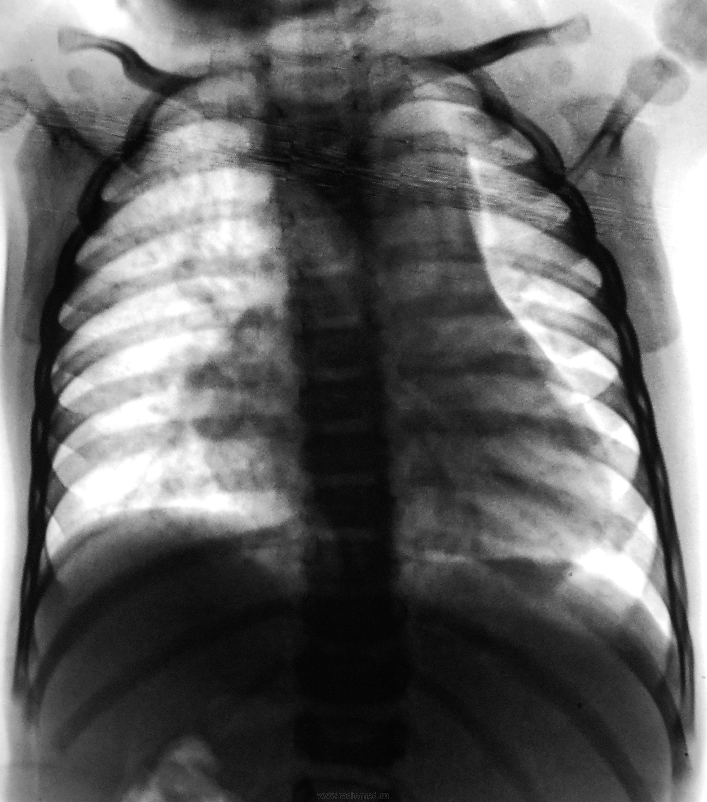
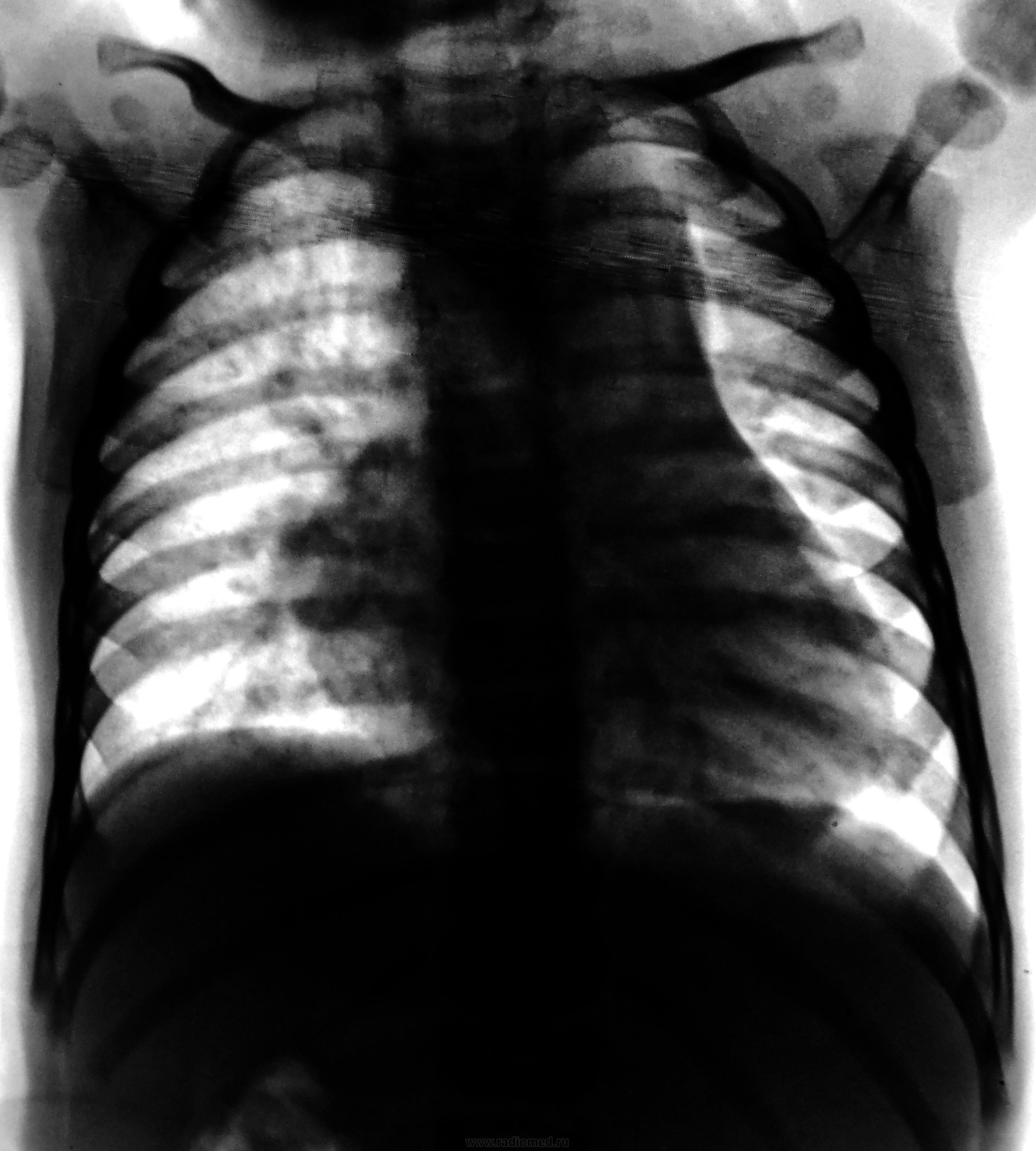
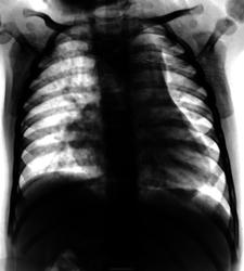
Пол пациента: Женский пол Тип патологии: Другое Область исследования: Грудная клетка и верхние дыхательные пути Методы исследования: Rg Пациент направлен на рентгенографию ОГК с диагнозом - "врожденный порок" https://radiomed.ru/sites/default/files/styles/case_slider_image/public/user/12/2.dscn0454a.jpg?itok=NsBvrkBp https://radiomed.ru/sites/default/files/styles/case_slider_image/public/user/12/3.dscn0455.jpg?itok=JbtadSKP ID:24004 Пнд, 29/10/2012 - 19:49 #1 И.Бондаренко Не на сайте Был на сайте: 1 день 22 часа назад Зарегистрирован: 13.09.2011 - 22:55 Публикации: 9206 Какой возраст "врожденного порока"? Пнд, 29/10/2012 - 20:10 #2 Катенёв Валенти... Не на сайте Был на сайте: 7 лет 2 недели назад Зарегистрирован: 22.03.2008 - 22:15 Публикации: 54876 1 год и 4 месяца. Пнд, 29/10/2012 - 21:23 #3 Dr.Yllich Не на сайте Был на сайте: 1 год 4 месяцев назад Зарегистрирован: 01.05.2011 - 22:52 Публикации: 1196 Размеры и форма сердечной тени "годятся" для врожденного порока, но ЭХО-кардиография обладает гораздо большими возможностями в этих вопросах, чем обзорная рентгенография. С уважением. Ильич. Втр, 30/10/2012 - 17:02 #4 Santuus Не на сайте Был на сайте: 2 года 5 месяцев назад Зарегистрирован: 01.07.2009 - 23:08 Публикации: 109 Согласен с доктором Dr.Yllich
Какой возраст "врожденного порока"?
1 год и 4 месяца.
Размеры и форма сердечной тени "годятся" для врожденного порока, но ЭХО-кардиография обладает гораздо большими возможностями в этих вопросах, чем обзорная рентгенография.
С уважением. Ильич.
Согласен с доктором Dr.Yllich