Пол пациента:
Тип патологии:
Область исследования:
Методы исследования:
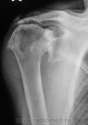
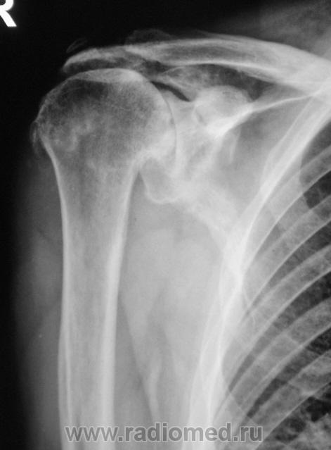
Пациент направлен на рентгенографию плечевого сустава хирургом.
При обращении пациент предъявляет жалобы на боли в плечевом суставе. Хирург поликлиники пациента не осматривал, а сразу соорудил направление на рентгенологическое исследование.
На следующий день пациент был осмотрен хирургом, и был направлен на рентгенографию другого плечевого сустава.
- https://radiomed.ru/sites/default/files/styles/case_slider_image/public/user/12/2.p3250008.jpg?itok=Y82Uj6iq
- https://radiomed.ru/sites/default/files/styles/case_slider_image/public/user/12/3.p3250009.jpg?itok=NM3ooLzn
- https://radiomed.ru/sites/default/files/styles/case_slider_image/public/user/12/4.p3250010.jpg?itok=5rrN4-o9
- https://radiomed.ru/sites/default/files/styles/case_slider_image/public/user/12/1.p3250011.jpg?itok=5ELx69G4
- https://radiomed.ru/sites/default/files/styles/case_slider_image/public/user/12/2.p3250012.jpg?itok=g2MxcF1m
- https://radiomed.ru/sites/default/files/styles/case_slider_image/public/user/12/3.p3250013.jpg?itok=2kURkH4A
- https://radiomed.ru/sites/default/files/styles/case_slider_image/public/user/12/5.p3250015a.jpg?itok=XYij3PYc
- https://radiomed.ru/sites/default/files/styles/case_slider_image/public/user/12/6.p3250016a.jpg?itok=JgycdkXp
ID:12845
у одной из моих больных подобная R-картина-РА
В левом суставе - вероятно изменения за счёт артроза, обызвествления связок
В правом - последствия травмы (подвывих, перелом головки?)
Травму пациент не помнит...
Двусторонний деформирующий остеоартроз: справа усилен верхним подвывихом с образованием неартроза с акромиальным отростком.
2-сторонний ДОА, справа подвывих, неоартроз + калькулезный (известковый) бурсит(возможно тоже 2-сторонний)
Продолжение будет? Интересно все-же что тут?