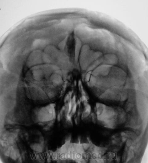
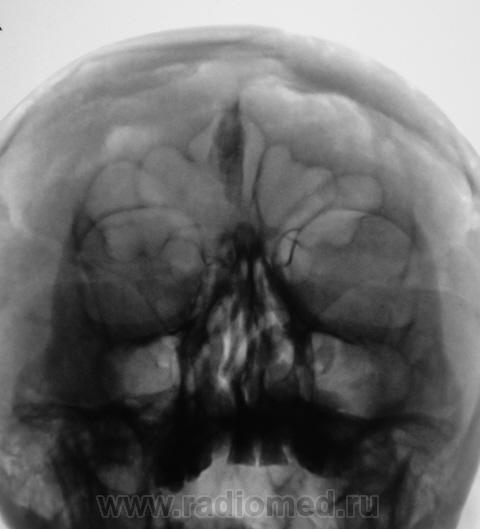
Пациент направлен на рентгенографию ППН по причине предстоящей операции «на глазах».

Пол пациента: 
Тип патологии: 
Область исследования: 
Методы исследования: 

Пациент направлен на рентгенографию ППН по причине предстоящей операции «на глазах».

  • https://radiomed.ru/sites/default/files/styles/case_slider_image/public/user/12/2.p2150029a.jpg?itok=rFJt1MPM
  • https://radiomed.ru/sites/default/files/styles/case_slider_image/public/user/12/3.p2150030.jpg?itok=ro-L34IJ
  • https://radiomed.ru/sites/default/files/styles/case_slider_image/public/user/12/4.p2150030a.jpg?itok=6gqhhsDA
  • https://radiomed.ru/sites/default/files/styles/case_slider_image/public/user/12/5.p2150031.jpg?itok=tnWA91Sm
  • https://radiomed.ru/sites/default/files/styles/case_slider_image/public/user/12/6.p2150031a.jpg?itok=BQ4BWSha
  • https://radiomed.ru/sites/default/files/styles/case_slider_image/public/user/12/7.p2150032.jpg?itok=qAyTkJb8
  • https://radiomed.ru/sites/default/files/styles/case_slider_image/public/user/12/8.p2150032a.jpg?itok=ZyfN5qMb
ID:12046
Катенёв Валентин Львович аватар
Не на сайте
Был на сайте: 7 лет 3 недели назад
Зарегистрирован: 22.03.2008 - 22:15
Публикации: 54876

Травм не было.

Сан Саныч1 аватар
Не на сайте
Был на сайте: 11 месяцев 3 недели назад
Зарегистрирован: 07.06.2010 - 21:17
Публикации: 2114

Обызвествилась не нужная часть мозга

Хочешь сделать что-то нормально - сделай это сам!

Nela аватар
Не на сайте
Был на сайте: 6 лет 1 месяц назад
Зарегистрирован: 12.05.2009 - 20:43
Публикации: 1847

Обызвествление серповидного отростка.

Катенёв Валентин Львович аватар
Не на сайте
Был на сайте: 7 лет 3 недели назад
Зарегистрирован: 22.03.2008 - 22:15
Публикации: 54876

А, меня, что-то смутила чешуя лобной кости...

Фаина аватар
Не на сайте
Был на сайте: 2 года 11 месяцев назад
Зарегистрирован: 14.12.2008 - 16:51
Публикации: 323

Действительно, лобная кость какая-то "кучерявая", а в боковой проекции не доснимали?

Катенёв Валентин Львович аватар
Не на сайте
Был на сайте: 7 лет 3 недели назад
Зарегистрирован: 22.03.2008 - 22:15
Публикации: 54876

Прямая проекция.

Приложения: 
1.p2150033.jpg2.p2150033a.jpg3.p2150034.jpg4.p2150034a.jpg
Катенёв Валентин Львович аватар
Не на сайте
Был на сайте: 7 лет 3 недели назад
Зарегистрирован: 22.03.2008 - 22:15
Публикации: 54876

Боковая проекция.

Приложения: 
5.p2150035.jpg6.p2150035a.jpg7.p2150036.jpg8.p2150036a.jpg
Nela аватар
Не на сайте
Был на сайте: 6 лет 1 месяц назад
Зарегистрирован: 12.05.2009 - 20:43
Публикации: 1847

Вены широковаты и боковые лакуны также выражены. Возможно на фоне остеопороза. Возраст, вероятно, немолодой.

Катенёв Валентин Львович аватар
Не на сайте
Был на сайте: 7 лет 3 недели назад
Зарегистрирован: 22.03.2008 - 22:15
Публикации: 54876

Фрагменты.

Приложения: 
1.p2150033-1.jpg2.p2150033-1a.jpg3.p2150034-1.jpg4.p2150034-1a.jpg5.p2150037.jpg6.p2150037a.jpg7.p2150038.jpg8.p2150038a.jpg
lor.ct аватар
Не на сайте
Был на сайте: 14 лет 2 недели назад
Зарегистрирован: 10.02.2011 - 10:53
Публикации: 22

Гиперпневматизация лобных пазух. Обызвествление серповидного отростка. Вероятно, повышение внутричерепного давления (сосудистый рисунок). Искривление носовой перегородки вправоsmiley. На нижнюю треть верхнечелюстных пазух "наслоились" пирамиды височных костей.