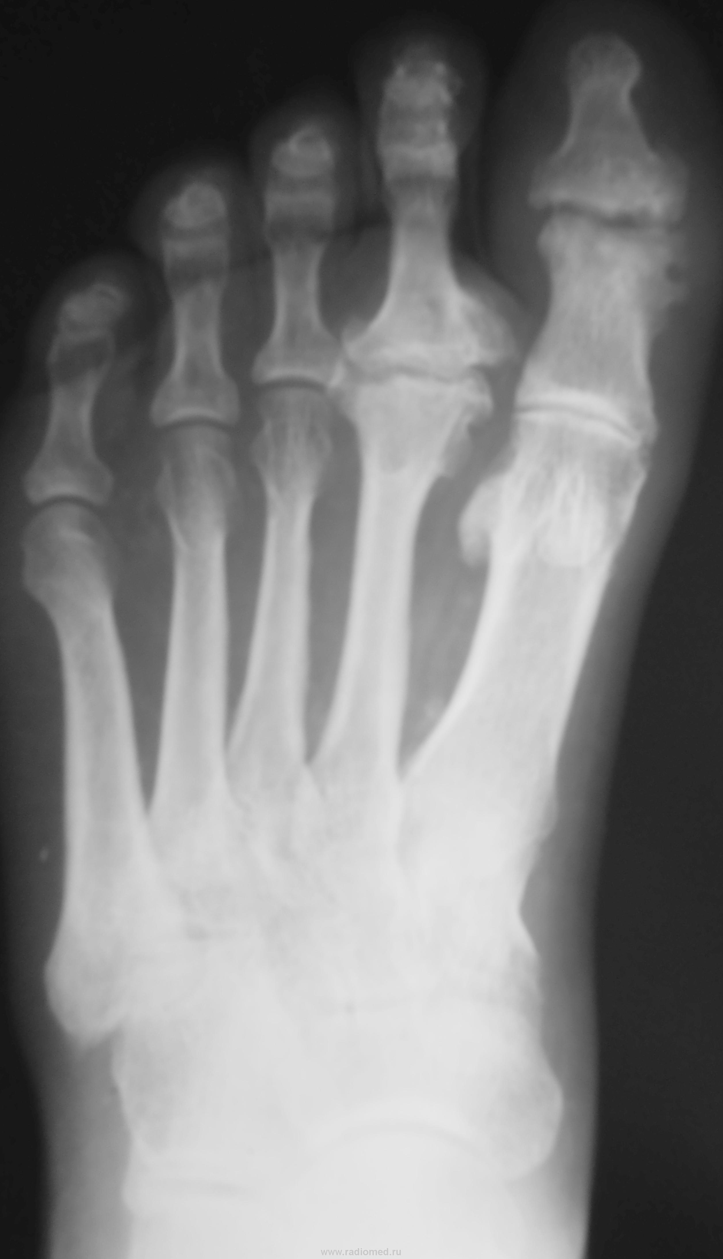
Пациент направлен на рентгенографию стопы

Пол пациента: 
Тип патологии: 
Область исследования: 
Методы исследования: 

Пациент направлен на рентгенографию стопы

  • https://radiomed.ru/sites/default/files/styles/case_slider_image/public/user/12/2.dscn1075.jpg?itok=2gMh0Ll-
ID:26198
Леонид аватар
Не на сайте
Был на сайте: 9 лет 3 недели назад
Зарегистрирован: 13.01.2011 - 19:33
Публикации: 445

Подагра. Болезнь А. Келера II.

Наталия Васильевна аватар
Не на сайте
Был на сайте: 5 лет 9 месяцев назад
Зарегистрирован: 25.09.2011 - 09:02
Публикации: 754

Келлера2, действительно. Но думаю, что 1 палец похож на остеомиелитный, тем более, что хорошо видны частично склерозированные сосуды. Что у пациетна с сахарами? 

Катенёв Валентин Львович аватар
Не на сайте
Был на сайте: 7 лет 1 месяц назад
Зарегистрирован: 22.03.2008 - 22:15
Публикации: 54876

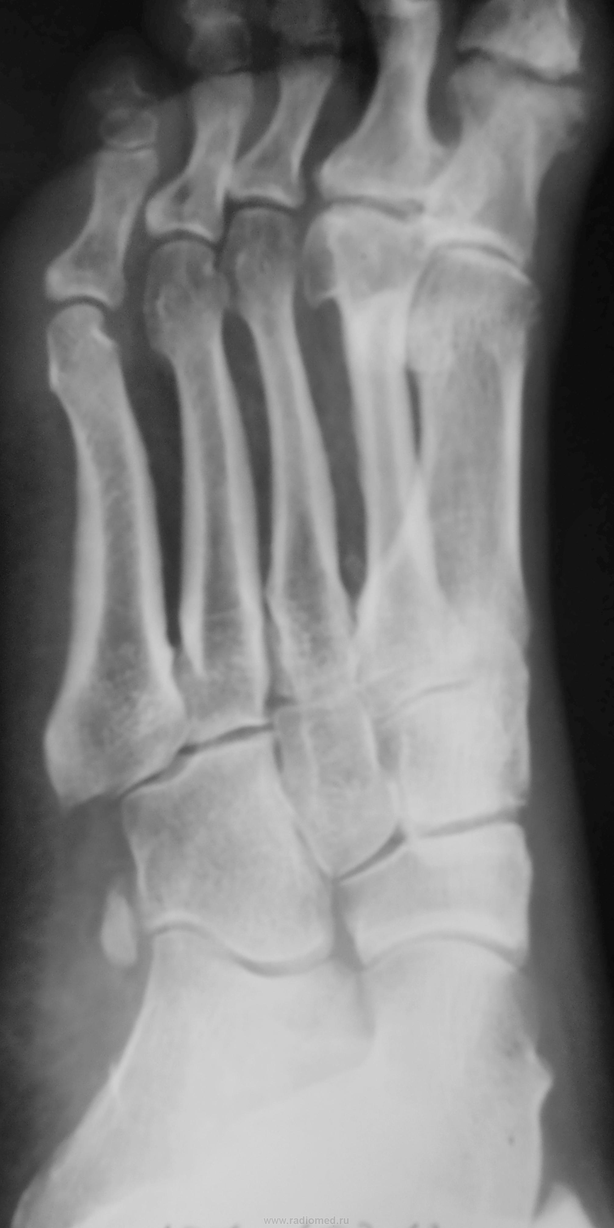
С сахарами нормально.

Приложения: 
1.dscn1076.jpg2.dscn1076a.jpg
Леонид аватар
Не на сайте
Был на сайте: 9 лет 3 недели назад
Зарегистрирован: 13.01.2011 - 19:33
Публикации: 445

Наталия Васильевна wrote:

Келлера2, действительно. Но думаю, что 1 палец похож на остеомиелитный, тем более, что хорошо видны частично склерозированные сосуды. Что у пациетна с сахарами? 

Есть дырочка падагрического тофуса у I пальца.

maker4ik аватар
Не на сайте
Был на сайте: 8 лет 7 месяцев назад
Зарегистрирован: 19.10.2011 - 17:49
Публикации: 2682

Келлер2. Остеомиелит или посттравматические изменения. Для подагры слишком круглый и без склероза.

cupitur аватар
Не на сайте
Был на сайте: 11 лет 11 месяцев назад
Зарегистрирован: 19.09.2011 - 10:42
Публикации: 262

А поражения так же и ногтевой фаланги второго пальца нет?

brainmodel аватар
Не на сайте
Был на сайте: 3 месяцев 1 неделя назад
Зарегистрирован: 18.03.2010 - 22:04
Публикации: 2881

maker4ik wrote:

Келлер2. Остеомиелит или посттравматические изменения. Для подагры слишком круглый и без склероза.

Пробойники при подагре как раз круглые

Verum plus uno esse non potest.

Соломин Виталий Юрьевич аватар
Не на сайте
Был на сайте: 6 лет 1 неделя назад
Зарегистрирован: 04.04.2012 - 21:47
Публикации: 1096

И каково все-таки окончательное заключение?

maker4ik аватар
Не на сайте
Был на сайте: 8 лет 7 месяцев назад
Зарегистрирован: 19.10.2011 - 17:49
Публикации: 2682

brainmodel wrote:

maker4ik wrote:

Келлер2. Остеомиелит или посттравматические изменения. Для подагры слишком круглый и без склероза.

Пробойники при подагре как раз круглые

Тогда гда медиальная стенка тофуса и ободок склероза?

По мне - остеофиты это все.