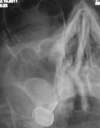
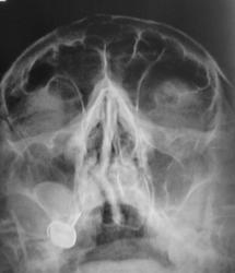
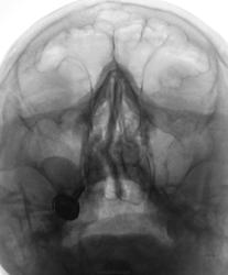
Пол пациента: Женский пол Тип патологии: Другое Область исследования: Челюстно-лицевая область и шея Методы исследования: Rg Пациент направлен отоларингологом на рентгенографии ППН. https://radiomed.ru/sites/default/files/styles/case_slider_image/public/user/12/2.pa130017.jpg?itok=v1ahIvCO https://radiomed.ru/sites/default/files/styles/case_slider_image/public/user/12/3.pa130018.jpg?itok=g_2UjqAl https://radiomed.ru/sites/default/files/styles/case_slider_image/public/user/12/4.pa130019a.jpg?itok=7_1J-Lyl ID:16132 Чт, 13/10/2011 - 20:10 #1 ДокRg Не на сайте Был на сайте: 12 лет 3 месяцев назад Зарегистрирован: 30.03.2011 - 20:05 Публикации: 105 Доброго времени суток уважаемые пользователи и гости сайта, моё мнение - одонтогенная киста правой в/ челюстной пазухи. Чт, 13/10/2011 - 20:16 #2 ДокRg Не на сайте Был на сайте: 12 лет 3 месяцев назад Зарегистрирован: 30.03.2011 - 20:05 Публикации: 105 и еще искривление носовой перегородки. Пт, 14/10/2011 - 18:48 #3 stovbav Не на сайте Был на сайте: 2 года 2 месяцев назад Зарегистрирован: 20.12.2009 - 17:28 Публикации: 7066 Согласен с коллегой...да и вспомнились высказывания на предмет не писать об искривлении перегородки...и как вот в ТАКОМ случае не написать? Болезни ног: виды, симптомы, причины, профилактика и лечение Пт, 14/10/2011 - 19:28 #4 Makcimalist Не на сайте Был на сайте: 11 лет 8 месяцев назад Зарегистрирован: 08.05.2010 - 14:28 Публикации: 1994 stovbav wrote: Согласен с коллегой...да и вспомнились высказывания на предмет не писать об искривлении перегородки...и как вот в ТАКОМ случае не написать? - Согласен! Считаю, нужно описывать такие отклонения от нормы! -------------- "Просто, по видимости, не видеть логики в очевидных вещах - это тоже одно из свойств некоторых умов, наряду с грустными думами о свойствах ума других." © Vega 08/10/2011 Пт, 14/10/2011 - 21:28 #5 Катенёв Валенти... Не на сайте Был на сайте: 7 лет 2 недели назад Зарегистрирован: 22.03.2008 - 22:15 Публикации: 54876 А, киста, прям - Венера Милосская!
Доброго времени суток уважаемые пользователи и гости сайта, моё мнение - одонтогенная киста правой в/ челюстной пазухи.
и еще искривление носовой перегородки.
Согласен с коллегой...да и вспомнились высказывания на предмет не писать об искривлении перегородки...и как вот в ТАКОМ случае не написать?
Болезни ног: виды, симптомы, причины, профилактика и лечение
- Согласен! Считаю, нужно описывать такие отклонения от нормы!
--------------
"Просто, по видимости, не видеть логики в очевидных вещах - это тоже одно из свойств некоторых умов, наряду с грустными думами о свойствах ума других." © Vega 08/10/2011
А, киста, прям - Венера Милосская!