Пациент направлен в рентгеновский кабинет ЛОР-врачом.

Пол пациента: 
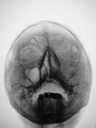
Область исследования: 
Методы исследования: 

Пациент направлен в рентгеновский кабинет ЛОР-врачом.

  • https://radiomed.ru/sites/default/files/styles/case_slider_image/public/user/12/2.p8240038a.jpg?itok=iEhnbLXY
  • https://radiomed.ru/sites/default/files/styles/case_slider_image/public/user/12/3.p8240039.jpg?itok=Iw5fPenE
  • https://radiomed.ru/sites/default/files/styles/case_slider_image/public/user/12/4.p8240039a.jpg?itok=xJo88LFY
ID:14932
Глазков Игорь Артурович аватар
Не на сайте
Был на сайте: 1 год 2 месяцев назад
Зарегистрирован: 19.12.2008 - 20:41
Публикации: 1597

похоже на гиперпластический. В лобной пазухе виден уровень жидкости.

Прийди к Себе

Катенёв Валентин Львович аватар
Не на сайте
Был на сайте: 7 лет 5 месяцев назад
Зарегистрирован: 22.03.2008 - 22:15
Публикации: 54876

Спасибо Игорь Артурович!

Александр Викторович аватар
Не на сайте
Был на сайте: 8 лет 5 месяцев назад
Зарегистрирован: 31.07.2010 - 13:05
Публикации: 639

А я плохо вижу костные стенки левой гайм. пазухи...."оно" проростает..

skos72 аватар
Не на сайте
Был на сайте: 14 лет 8 месяцев назад
Зарегистрирован: 29.06.2011 - 17:36
Публикации: 37

Согласен, невиден медиальный контур левой гайморовой пазухи, надо исключить деструкцию

Широков.Евгений. аватар
Не на сайте
Был на сайте: 11 лет 8 месяцев назад
Зарегистрирован: 31.08.2008 - 14:29
Публикации: 77

затемнение не совсем гомогенное, возможно солидные образования в верхнечелюстной пазухе. Во фронтальной не вижу достоверных данных за уровень-что можно было бы трактовать за жидкость. Для этого надо уточнить положение пациента при исследовании, а так же рентгенография пазух лобной кости в боковой проекции в вертикальном положении пациента. Имея только этот снимок - Левостороний гемисинусит. А вообще рекомендовал бы томографию, ну честно-все встало бы на места.

Катенёв Валентин Львович аватар
Не на сайте
Был на сайте: 7 лет 5 месяцев назад
Зарегистрирован: 22.03.2008 - 22:15
Публикации: 54876

Снимок сделан в вертикальном положении.