Пол пациента: Мужской пол Тип патологии: Травма Область исследования: Скелетно-мышечная система Методы исследования: Rg Пациент прислан на контроль после репозиции и наложения гипсовой повязки... https://radiomed.ru/sites/default/files/styles/case_slider_image/public/user/12/62.Posle_.jpg?itok=wcrELuV3 https://radiomed.ru/sites/default/files/styles/case_slider_image/public/user/12/53.Posle_.JPG?itok=BzhDbwFK https://radiomed.ru/sites/default/files/styles/case_slider_image/public/user/12/54.Posle_..jpg?itok=6pjjAip6 ID:2190 Ср, 24/03/2010 - 21:52 #1 Катенёв Валенти... Не на сайте Был на сайте: 7 лет 3 недели назад Зарегистрирован: 22.03.2008 - 22:15 Публикации: 54876 А так было до репозиции - первичный снимок. Приложения: Чт, 25/03/2010 - 14:52 #2 tatyana Не на сайте Был на сайте: 4 года 1 месяц назад Зарегистрирован: 24.06.2009 - 08:33 Публикации: 2090 По сравнению со снимками до репозиции определяется гипсовая повязка, в остальном - без динамики "самоуверенность дилетантов - предмет зависти профессионалов" Чт, 25/03/2010 - 22:04 #3 brainmodel Не на сайте Был на сайте: 2 месяцев 2 недели назад Зарегистрирован: 18.03.2010 - 22:04 Публикации: 2881 Бесформенность между головкой и впадиной - фрагмент плечевой кости. Репозиция никакая. Verum plus uno esse non potest. Пт, 26/03/2010 - 16:14 #4 Vikkur Не на сайте Был на сайте: 4 года 8 месяцев назад Зарегистрирован: 24.09.2009 - 14:34 Публикации: 1749 Да уж.. что ж кто то не захотел идти на операцию ((( Виктор.
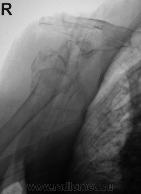
А так было до репозиции - первичный снимок.
По сравнению со снимками до репозиции определяется гипсовая повязка, в остальном - без динамики
"самоуверенность дилетантов - предмет зависти профессионалов"
Бесформенность между головкой и впадиной - фрагмент плечевой кости. Репозиция никакая.
Verum plus uno esse non potest.
Да уж.. что ж кто то не захотел идти на операцию (((
Виктор.