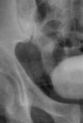
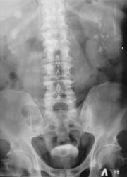
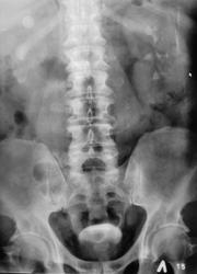
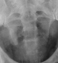
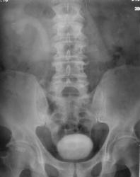
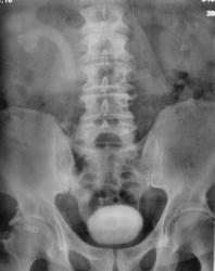
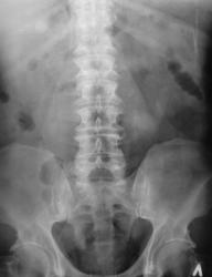
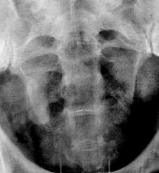
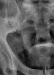
Пациент с диагнозом "МКБ" направлен на обзорную рентгенографию почек и мочевыводящих путей.

Пол пациента: 
Тип патологии: 
Область исследования: 
Методы исследования: 

Пациент с диагнозом "МКБ" направлен на обзорную рентгенографию

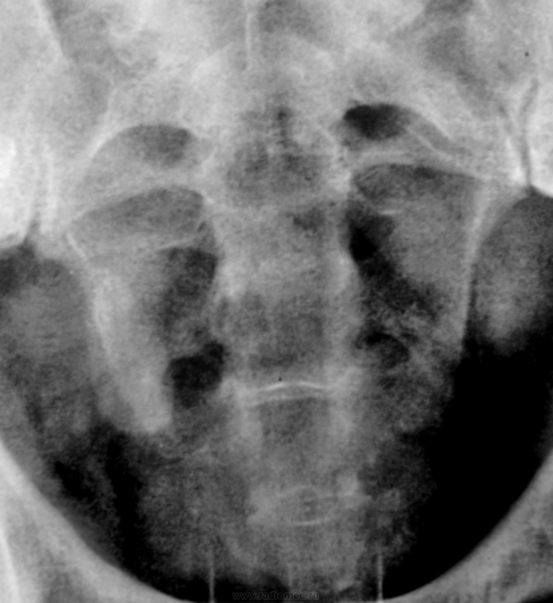
Внутривенная урография.

  • https://radiomed.ru/sites/default/files/styles/case_slider_image/public/user/12/12.p3290008a.jpg?itok=aEtA_-Ou
  • https://radiomed.ru/sites/default/files/styles/case_slider_image/public/user/12/13.p3290009.jpg?itok=7Bs3BtyL
  • https://radiomed.ru/sites/default/files/styles/case_slider_image/public/user/12/14.p3290009g.jpg?itok=5CVYV4sr
  • https://radiomed.ru/sites/default/files/styles/case_slider_image/public/user/12/15.p3290010.jpg?itok=zxqy4Gtz
  • https://radiomed.ru/sites/default/files/styles/case_slider_image/public/user/12/16.p3290010a.jpg?itok=4C2VgH9f
  • https://radiomed.ru/sites/default/files/styles/case_slider_image/public/user/12/17.p3290010gd.jpg?itok=pODwo-uJ
  • https://radiomed.ru/sites/default/files/styles/case_slider_image/public/user/12/1.p3290011.jpg?itok=zX-KVHAa
  • https://radiomed.ru/sites/default/files/styles/case_slider_image/public/user/12/2.p3290011a.jpg?itok=tKpBTgWz
  • https://radiomed.ru/sites/default/files/styles/case_slider_image/public/user/12/3.p3290011u.jpg?itok=0d85_Lry
  • https://radiomed.ru/sites/default/files/styles/case_slider_image/public/user/12/4.p3290011ug.jpg?itok=O3sQ3AVX
  • https://radiomed.ru/sites/default/files/styles/case_slider_image/public/user/12/5.p3290012.jpg?itok=TT1GYEKX
  • https://radiomed.ru/sites/default/files/styles/case_slider_image/public/user/12/6.p3290012a.jpg?itok=iPbU8Lol
  • https://radiomed.ru/sites/default/files/styles/case_slider_image/public/user/12/7.p3290013.jpg?itok=drcQyFw-
  • https://radiomed.ru/sites/default/files/styles/case_slider_image/public/user/12/8.p3290013a.jpg?itok=fmOeNOBa
  • https://radiomed.ru/sites/default/files/styles/case_slider_image/public/user/12/9.p3290013yu.jpg?itok=W-geMxk-
  • https://radiomed.ru/sites/default/files/styles/case_slider_image/public/user/12/10.p3290013yud.jpg?itok=_WqFYpGE
ID:20329
Santuus аватар
Не на сайте
Был на сайте: 2 года 5 месяцев назад
Зарегистрирован: 01.07.2009 - 23:08
Публикации: 109

На мой взгляд дополнительная интенсивная тень лежит за контуром почки. В проекции Желчного пузыря. Так что желчекаменная болезнь? Рекомендованно УЗИ печени и желчного пузыря.

stovbav аватар
Не на сайте
Был на сайте: 2 года 2 месяцев назад
Зарегистрирован: 20.12.2009 - 17:28
Публикации: 7066

Да с камнем желчного то все понятно...но вот тень в проекции н\трети правого мочеточника ....весьма необычна...вопрос - куда ее "пристроить"?))))

Наталия Васильевна аватар
Не на сайте
Был на сайте: 5 лет 9 месяцев назад
Зарегистрирован: 25.09.2011 - 09:02
Публикации: 754

Вопрос в другом-а в мочеточнике ли это? А конкрементом дивертикула пузыря не может быть, тут УЗИстам поработать надо, при работающей рентгеноскопии можно провести цистографию, повернуть пациента, посмотреть-где же эта тень. А операций на сосудах не было?

stovbav аватар
Не на сайте
Был на сайте: 2 года 2 месяцев назад
Зарегистрирован: 20.12.2009 - 17:28
Публикации: 7066

Наталия Васильевна wrote:

Вопрос в другом-а в мочеточнике ли это? А конкрементом дивертикула пузыря не может быть, тут УЗИстам поработать надо, при работающей рентгеноскопии можно провести цистографию, повернуть пациента, посмотреть-где же эта тень....

1.Так и не утверждаю, что в мочеточнике)))

2.А все предложения дельные, подписываюсь)))

Наталия Васильевна аватар
Не на сайте
Был на сайте: 5 лет 9 месяцев назад
Зарегистрирован: 25.09.2011 - 09:02
Публикации: 754

Я не про "утверждаю", Боже спаси, для мочеточника тень очень больших размеров, хотя расположена вдоль его проекционной оси, но здесь же проекция крупных сосудов, стенты сейчас могут быть всякими разными, а потом-в малом тазу не только у женщин, но и мужчин хватает всякого, что может обызвествляться. А верхняя тень-типично для желчного пузыря. 

Катенёв Валентин Львович аватар
Не на сайте
Был на сайте: 7 лет 3 недели назад
Зарегистрирован: 22.03.2008 - 22:15
Публикации: 54876

stovbav wrote:

Да с камнем желчного то все понятно...но вот тень в проекции н\трети правого мочеточника ....весьма необычна...вопрос - куда ее "пристроить"?))))

Да, камешек для желчного типичный.

А тень в дистальной трети мочеточника действительно "фердиперсовая"...

Катенёв Валентин Львович аватар
Не на сайте
Был на сайте: 7 лет 3 недели назад
Зарегистрирован: 22.03.2008 - 22:15
Публикации: 54876

Наталия Васильевна wrote:

Вопрос в другом-а в мочеточнике ли это? А конкрементом дивертикула пузыря не может быть, тут УЗИстам поработать надо, при работающей рентгеноскопии можно провести цистографию, повернуть пациента, посмотреть-где же эта тень. А операций на сосудах не было?

А, внутривенка вомочь может?

Катенёв Валентин Львович аватар
Не на сайте
Был на сайте: 7 лет 3 недели назад
Зарегистрирован: 22.03.2008 - 22:15
Публикации: 54876

stovbav wrote:

1.Так и не утверждаю, что в мочеточнике)))

2.А все предложения дельные, подписываюсь)))

"Чичас" посмотрим...

Наталия Васильевна аватар
Не на сайте
Был на сайте: 5 лет 9 месяцев назад
Зарегистрирован: 25.09.2011 - 09:02
Публикации: 754

Признавайтесь, куда делась средняя треть правого мочеточника? Ее как-будто ножом отрезали под линейку, а ниже-сплошное безобразие! "ЧТО" может как обезобразить орган-банальная МКБ с частичной обтурацией просвета или опухоль? А в пузыре тоже камни?

Катенёв Валентин Львович аватар
Не на сайте
Был на сайте: 7 лет 3 недели назад
Зарегистрирован: 22.03.2008 - 22:15
Публикации: 54876

Вы правы, камней не много, их - до "фига"...

Наталия Васильевна аватар
Не на сайте
Был на сайте: 5 лет 9 месяцев назад
Зарегистрирован: 25.09.2011 - 09:02
Публикации: 754

Фи, доктор, это не латынь? Хотя можно выразиться и покрепче. Но в/в не дала ответов-где и что это?

nastyachel аватар
Не на сайте
Был на сайте: 7 лет 11 месяцев назад
Зарегистрирован: 17.01.2012 - 17:17
Публикации: 43

А деформация мочевого пузыря никого не смущает?

stovbav аватар
Не на сайте
Был на сайте: 2 года 2 месяцев назад
Зарегистрирован: 20.12.2009 - 17:28
Публикации: 7066

nastyachel wrote:

А деформация мочевого пузыря никого не смущает?

Отчего же не смущает?))) смущает...она и есть первопричиной образования ТАКОГО камня в мочеточнике, теперь об этом можно сказать с уверенностью, ее генез - выраженое увеличение размеров простаты.

Dr.Akulla аватар
Не на сайте
Был на сайте: 11 лет 10 месяцев назад
Зарегистрирован: 28.05.2011 - 20:06
Публикации: 218

stovbav wrote:

Да с камнем желчного то все понятно...но вот тень в проекции н\трети правого мочеточника ....весьма необычна...вопрос - куда ее "пристроить"?))))

Мне кажется, что тень в проекции н/3 правого мочеточника не меняет своей интенсивности на ОМПС и экскреторных урограммах. Отсроченный снимок просится и рентгенография малого таза в косых проекциях. Возможно, это НЕЧТО сдавливает н/3 правого мочеточника извне.

Dr.Akulla аватар
Не на сайте
Был на сайте: 11 лет 10 месяцев назад
Зарегистрирован: 28.05.2011 - 20:06
Публикации: 218

С простатой при отсутствии УЗИ достаточно пальцевого осмотра хирургом до экскреторного исследования. Если простата не увеличена пальпаторно, то получив такую картинку мочевого пузыря на первых минутах после введения контраста, я бы сделал косые снимки мочевого пузыря (заодно и тень в н/3 правого мочеточника покрутить).