Пациент с последствиями OHMK

Пол пациента: 
Тип патологии: 
Методы исследования: 

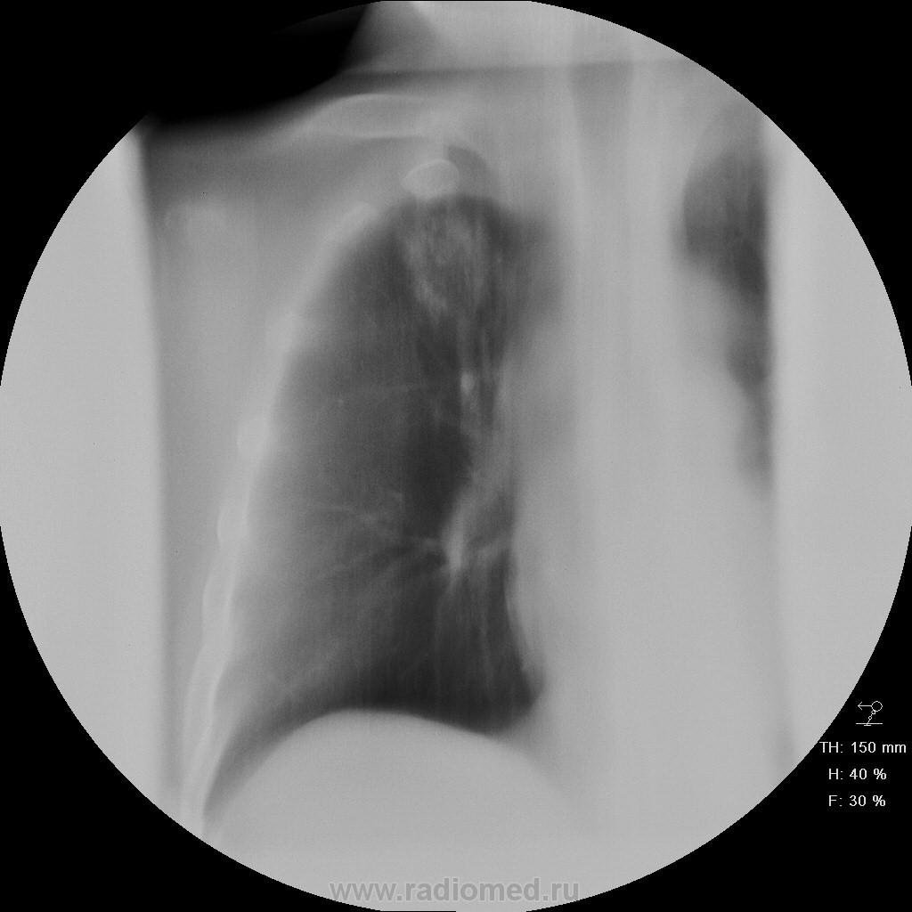
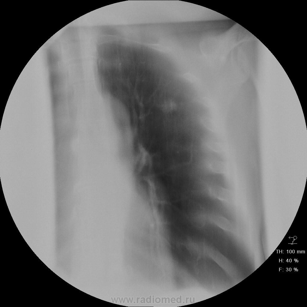
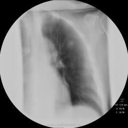
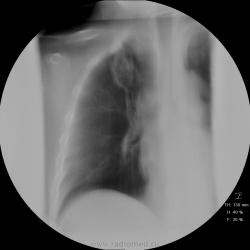
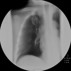
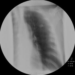
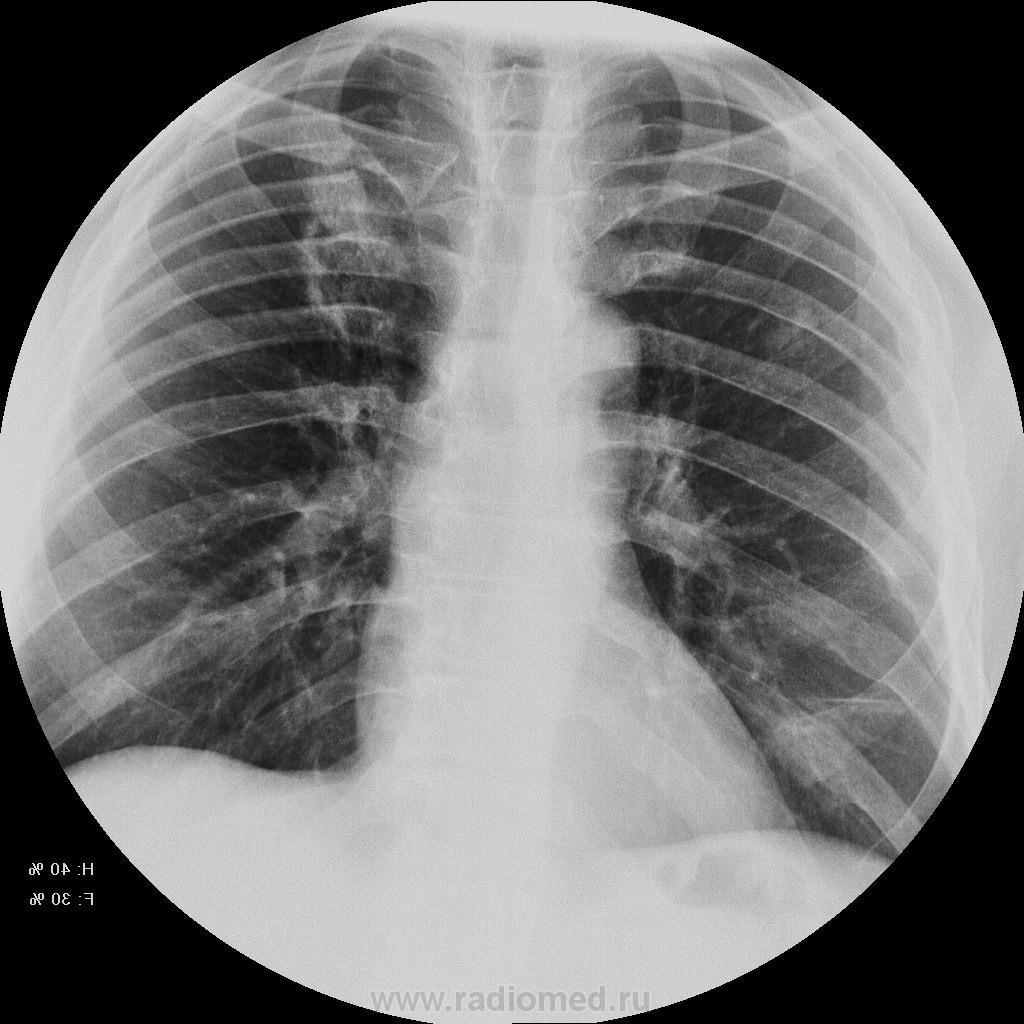
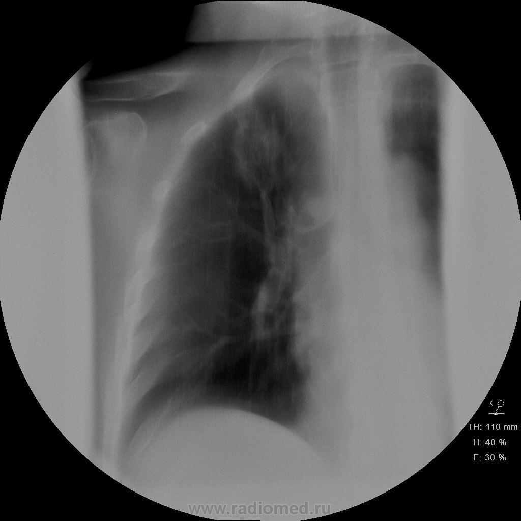
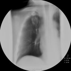
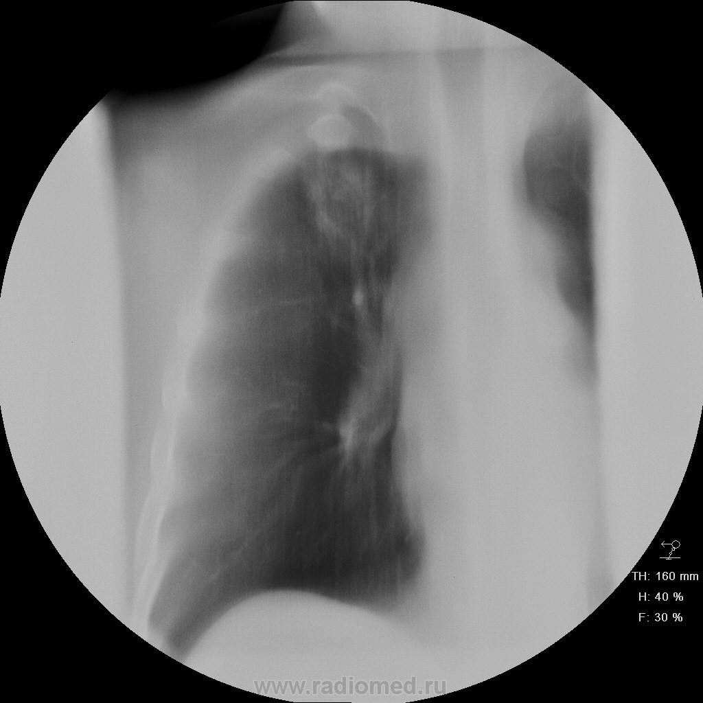
Пациет 60 лет после перенесения ОНМК. жалоб нет ( по легким) . СОЭ, лейкоциты, HB в норме.

Какие будут мнения.

КТ еще не запущен - так что выжимаем все из линейки...

  • https://radiomed.ru/sites/default/files/styles/case_slider_image/public/user/2983/image_37-1.jpg?itok=p2EtmlR0
  • https://radiomed.ru/sites/default/files/styles/case_slider_image/public/user/2983/image_38-1.jpg?itok=mS-I_2OF
  • https://radiomed.ru/sites/default/files/styles/case_slider_image/public/user/2983/image_39-1.jpg?itok=0KBjDK4W
  • https://radiomed.ru/sites/default/files/styles/case_slider_image/public/user/2983/image_41-1.jpg?itok=h9IdjozG
  • https://radiomed.ru/sites/default/files/styles/case_slider_image/public/user/2983/image_41-1_0.jpg?itok=Z7wDzAE4
  • https://radiomed.ru/sites/default/files/styles/case_slider_image/public/user/2983/image_43-1.jpg?itok=OCrQgaUL
  • https://radiomed.ru/sites/default/files/styles/case_slider_image/public/user/2983/image_44-1.jpg?itok=ncpfX8vL
  • https://radiomed.ru/sites/default/files/styles/case_slider_image/public/user/2983/image_45-1.jpg?itok=UiIaE5OA
  • https://radiomed.ru/sites/default/files/styles/case_slider_image/public/user/2983/image_46-1.jpg?itok=nF6MAMdx
  • https://radiomed.ru/sites/default/files/styles/case_slider_image/public/user/2983/image_53-1.jpg?itok=p53aSON7
  • https://radiomed.ru/sites/default/files/styles/case_slider_image/public/user/2983/image_54-1.jpg?itok=PMgWM2eY
  • https://radiomed.ru/sites/default/files/styles/case_slider_image/public/user/2983/image_55-1.jpg?itok=2XIJYCI_
ID:12302
Сан Саныч1 аватар
Не на сайте
Был на сайте: 11 месяцев 2 недели назад
Зарегистрирован: 07.06.2010 - 21:17
Публикации: 2114

Туберкулез под (?)

Хочешь сделать что-то нормально - сделай это сам!

Катенёв Валентин Львович аватар
Не на сайте
Был на сайте: 7 лет 2 недели назад
Зарегистрирован: 22.03.2008 - 22:15
Публикации: 54876

Может мнения у кого будут?

Nikolas аватар
Не на сайте
Был на сайте: 1 месяц 3 недели назад
Зарегистрирован: 21.12.2010 - 20:37
Публикации: 4559

У больных с последствиями ОНМК следует думать об аспирационном генезе заболевания. В пользу этого свидетельствует поражение задних сегментов и двусторонняя локализация изменений.