Пациент "взят на контроль", дообследован и направлен к фтизиатрам.

Пол пациента: 
Тип патологии: 
Методы исследования: 

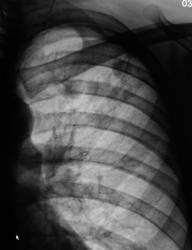
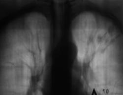
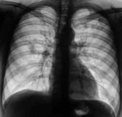
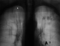
При расшифровке цифровых флюорограмм пациент "взят на контроль". Проведено стандартное дообследование, после которого пациент - направлен к фтизиатрам. Фтизиатры с большим удовольствием занялись пациентом.

1._EGO..JPG
1._EGO..JPG
2._EGO..JPG
2._EGO..JPG
3._EGO..JPG
3._EGO..JPG

 

 

 

 

 

 

 

 

 

 

 

 

 

4._EGO..JPG
4._EGO..JPG
5.EGO_..JPG
5.EGO_..JPG
6.EGO_..JPG
6.EGO_..JPG

 

 

 

 

 

 

 

 

 

 

 

 

 

7.EGO_..JPG
7.EGO_..JPG
8.EGO_..JPG
8.EGO_..JPG
9._EGO..JPG
9._EGO..JPG

 

 

 

 

 

 

 

 

 

 

 

 

 

10.EGO_..JPG
10.EGO_..JPG
ВложениеРазмер
Иконка изображения 1._EGO..JPG80.04 КБ
Иконка изображения 2._EGO..JPG88.35 КБ
Иконка изображения 3._EGO..JPG59.65 КБ
Иконка изображения 4._EGO..JPG65.77 КБ
Иконка изображения 5.EGO_..JPG60.49 КБ
Иконка изображения 6.EGO_..JPG64.87 КБ
Иконка изображения 7.EGO_..JPG66.3 КБ
Иконка изображения 8.EGO_..JPG68.36 КБ
Иконка изображения 9._EGO..JPG62.44 КБ
Иконка изображения 10.EGO_..JPG58.45 КБ
Катенёв Валентин Львович аватар
Не на сайте
Был на сайте: 7 лет 3 недели назад
Зарегистрирован: 22.03.2008 - 22:15
Публикации: 54876

Выставили фтизиатры "инфильтративный туберкулёз".