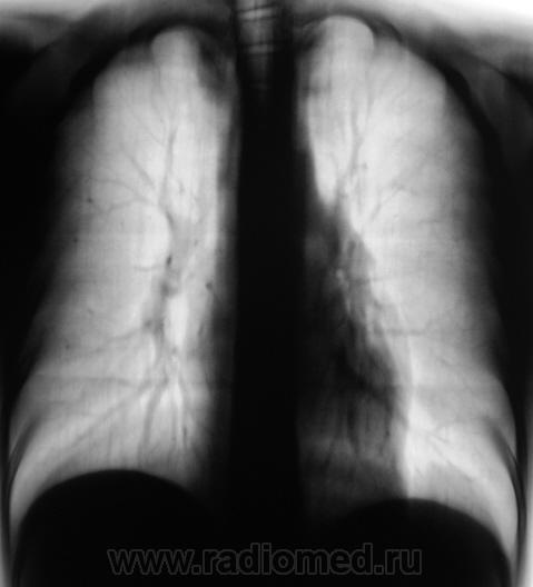
Пациента прислали "из туба" для томографии верхушек.

Пол пациента: 
Тип патологии: 
Методы исследования: 

Пациента прислали "из туба" для томографии верхушек.

Получили такие картинки. Ваше мнение уважаемые коллеги?

  • https://radiomed.ru/sites/default/files/styles/case_slider_image/public/user/12/32.P4190006.JPG?itok=y7cch2pZ
  • https://radiomed.ru/sites/default/files/styles/case_slider_image/public/user/12/33.P4190007.JPG?itok=7zTzdf4E
  • https://radiomed.ru/sites/default/files/styles/case_slider_image/public/user/12/34.P4190008.JPG?itok=0rIHaIjW
  • https://radiomed.ru/sites/default/files/styles/case_slider_image/public/user/12/35.P4190008a.jpg?itok=X-NDsMoD
ID:3162
Катенёв Валентин Львович аватар
Не на сайте
Был на сайте: 7 лет 5 месяцев назад
Зарегистрирован: 22.03.2008 - 22:15
Публикации: 54876

Другие снимки данного пациента.

 

Приложения: 
11.P4190003.JPG12.P4190004.JPG13.P4190001.JPG14.P4190002.JPG15.P4190002a.jpg
july аватар
Не на сайте
Был на сайте: 13 лет 7 месяцев назад
Зарегистрирован: 14.04.2010 - 14:47
Публикации: 17

Процесс не в легком, это деформация заднего отрезка 2 ребра справа или мне кажется ?

Катенёв Валентин Львович аватар
Не на сайте
Был на сайте: 7 лет 5 месяцев назад
Зарегистрирован: 22.03.2008 - 22:15
Публикации: 54876

Спасибо за высказанное мнение коллега. Мы, также расценили, как деформацию и некоторую "гипертрофию" заднего фрагмента 2 ребра.