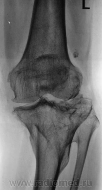
Пациентка направлена на рентгенографию коленного сустава с диагнозом "деформирующий артроз".

Пол пациента: 
Тип патологии: 
Область исследования: 
Методы исследования: 

Пациентка направлена на рентгенографию коленного сустава с диагнозом "деформирующий артроз".

  • https://radiomed.ru/sites/default/files/styles/case_slider_image/public/user/12/2.p9170060.jpg?itok=8cJNBuC-
ID:6880
Vikkur аватар
Не на сайте
Был на сайте: 5 лет 4 недели назад
Зарегистрирован: 24.09.2009 - 14:34
Публикации: 1749

во истину - деформирующий...

Виктор.

Vilenovna аватар
Не на сайте
Был на сайте: 7 лет 11 месяцев назад
Зарегистрирован: 19.09.2010 - 17:32
Публикации: 13

посттравматический

Катенёв Валентин Львович аватар
Не на сайте
Был на сайте: 7 лет 5 месяцев назад
Зарегистрирован: 22.03.2008 - 22:15
Публикации: 54876

Vilenovna wrote:

посттравматический

да, 7 лет тому перелом с распространением линии перелома на суставную поверхность.

Петрович аватар
Не на сайте
Был на сайте: 7 лет 7 месяцев назад
Зарегистрирован: 22.03.2009 - 01:13
Публикации: 3908

 

Перелом был внутрисуставной оскольчатый. Однако, снижение рентгеновской суставной щели в настоящее время неубедительно. Думаю НЕ ДОА. Надо попробовать снять с ротацией голени.

 

Неоднозначно всё

Medeа аватар
Не на сайте
Был на сайте: 15 лет 3 месяцев назад
Зарегистрирован: 10.09.2010 - 18:11
Публикации: 152

Петрович wrote:

 

Перелом был внутрисуставной оскольчатый. Однако, снижение рентгеновской суставной щели в настоящее время неубедительно. Думаю НЕ ДОА. Надо попробовать снять с ротацией голени.

 

Если не ДОА, то что? И что Вам даст ротация голени?

stovbav аватар
Не на сайте
Был на сайте: 2 года 7 месяцев назад
Зарегистрирован: 20.12.2009 - 17:28
Публикации: 7066

Петрович wrote:

 

Перелом был внутрисуставной оскольчатый. Однако, снижение рентгеновской суставной щели в настоящее время неубедительно. Думаю НЕ ДОА. Надо попробовать снять с ротацией голени.

 

Петрович, это проекционное искажение, есть там сужение, не может не быть...

Петрович аватар
Не на сайте
Был на сайте: 7 лет 7 месяцев назад
Зарегистрирован: 22.03.2009 - 01:13
Публикации: 3908

Приглашаю коллег взглянуть на эту архивную страницу, особенно два последних комментария.

http://www.radiomed.ru/content/vot-takoie-izobrazhieniie#comment-8244

Неоднозначно всё

stovbav аватар
Не на сайте
Был на сайте: 2 года 7 месяцев назад
Зарегистрирован: 20.12.2009 - 17:28
Публикации: 7066

В нерешительностичто то не совсем понятно....может старею...Подмигиваю...

 

Петрович аватар
Не на сайте
Был на сайте: 7 лет 7 месяцев назад
Зарегистрирован: 22.03.2009 - 01:13
Публикации: 3908

Medeа wrote:
Петрович wrote:
Перелом был внутрисуставной оскольчатый. Однако, снижение рентгеновской суставной щели в настоящее время неубедительно. Думаю НЕ ДОА. Надо попробовать снять с ротацией голени.
Если не ДОА, то что? И что Вам даст ротация голени?

 

Мне представляется наиболее вероятным повреждение связок или также менисков в результате тяжёлой травмы. В настоящее время очень вероятен ротационный подвывих. Именно его я и предлагал выявлять ротируя голень.

stovbav wrote:
Петрович, это проекционное искажение, есть там сужение, не может не быть...

 

ИМХО проекционное искажение может симулировать сужение там, где его нет. Но вот скрыть его… как такое возможно?

А по существу данного случая хотелось бы увидеть мнение коллег часто встречающихся с такой травмой. Особенно если занимаются её лечением. 

Неоднозначно всё