Пациентка "взята на контроль"

Пол пациента: 
Методы исследования: 

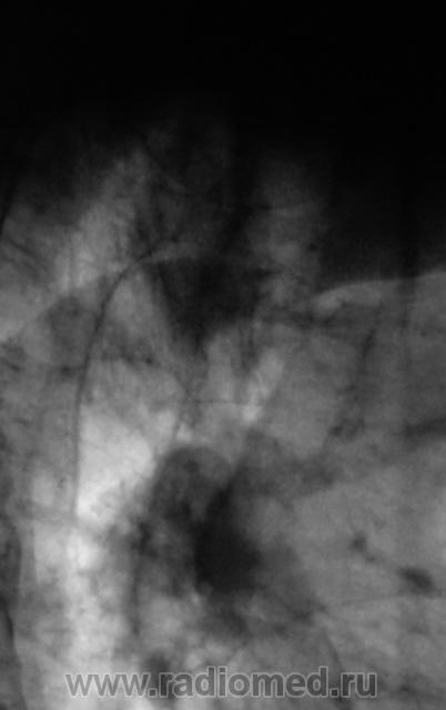
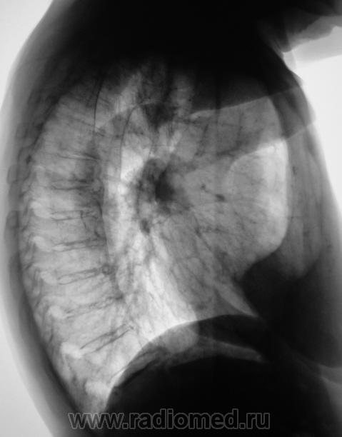
Сегодня, лаборант "с флюорографа" пригласил посмотреть снимок. Лаборанту сказал - "спасибо", пациентку забрали в рентгенодиагностический кабинет. Произвели рентгенографию в прямой и правой боковой проекциях

ИзображениеИзображениеИзображение

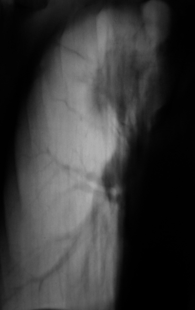
Произведена линейная томография в прямой проекции


21.Kontrol.JPG
21.Kontrol.JPG
22.Kontrol.JPG
22.Kontrol.JPG
23.Kontrol.JPG
23.Kontrol.JPG

 

 

 

 

 

 

 

 

 

 

 

 


24.Kontrol.JPG
24.Kontrol.JPG
25.Kontrol.JPG
25.Kontrol.JPG
26.Kontrol.JPG
26.Kontrol.JPG

 

 

 

 

 

 

 

 

 

 

 

 


27.Kontrol.JPG
27.Kontrol.JPG
28.Kontrol..JPG
28.Kontrol..JPG

 

 

 

 

 

 

 

 

 

 

 

 

 

Ваше мнение коллеги?

ВложениеРазмер
Иконка изображения 21.Kontrol.JPG54.74 КБ
Иконка изображения 22.Kontrol.JPG76.01 КБ
Иконка изображения 23.Kontrol.JPG52.23 КБ
Иконка изображения 24.Kontrol.JPG74.81 КБ
Иконка изображения 25.Kontrol.JPG50.16 КБ
Иконка изображения 26.Kontrol.JPG73.71 КБ
Иконка изображения 27.Kontrol.JPG60 КБ
Иконка изображения 28.Kontrol..JPG65.07 КБ
Глазков Игорь Артурович аватар
Не на сайте
Был на сайте: 1 год 2 месяцев назад
Зарегистрирован: 19.12.2008 - 20:41
Публикации: 1597

участок инфильтрации в 1 сегменте справа.

В заключении бы написал:Правостороння сегментарная пневмония.

Однако смущает дополнительная тень апикально слева и это похоже на плевральный выпот. Возможно, что снимок сделан с подворотом, хотя не исключаю и патологию.

Прийди к Себе

Катенёв Валентин Львович аватар
Не на сайте
Был на сайте: 7 лет 5 месяцев назад
Зарегистрирован: 22.03.2008 - 22:15
Публикации: 54876

Подворота нет. У бабульки - сколиоз.

Катенёв Валентин Львович аватар
Не на сайте
Был на сайте: 7 лет 5 месяцев назад
Зарегистрирован: 22.03.2008 - 22:15
Публикации: 54876

Добавлены томограммы.

Катенёв Валентин Львович аватар
Не на сайте
Был на сайте: 7 лет 5 месяцев назад
Зарегистрирован: 22.03.2008 - 22:15
Публикации: 54876

Похоже на рак.

tatyana аватар
Не на сайте
Был на сайте: 4 года 6 месяцев назад
Зарегистрирован: 24.06.2009 - 08:33
Публикации: 2090

очень похоже... а на туберкулез не похоже?

"самоуверенность дилетантов - предмет зависти профессионалов"

Катенёв Валентин Львович аватар
Не на сайте
Был на сайте: 7 лет 5 месяцев назад
Зарегистрирован: 22.03.2008 - 22:15
Публикации: 54876

"Тубер" исключили. Знаменательно то, что, по всей видимости, негативную тенденцию, с непрохождением профилактической флюорографии "победить" невозможно. В 2007 пациентка лежала в терапии. В 2008 "с переломом" лежали в хиругии. Флюорографию "проходила", когда "сама не помнит". Подняли, все, что только можно - по самому малому - 6 лет проф. флюорографии не проходила.

tatyana аватар
Не на сайте
Был на сайте: 4 года 6 месяцев назад
Зарегистрирован: 24.06.2009 - 08:33
Публикации: 2090

бывает и наоборот: моя знакомая с Украины сломала ногу, дали больничный на 5 дней, а чтобы продлить надо прийти на прием с флюорографией и осмотром гинеколога! представляете, со сломаной ногой! так добиваются, чтоб народ профосмотр проходил, тоже вариант...

"самоуверенность дилетантов - предмет зависти профессионалов"

Катенёв Валентин Львович аватар
Не на сайте
Был на сайте: 7 лет 5 месяцев назад
Зарегистрирован: 22.03.2008 - 22:15
Публикации: 54876

Конечно маразм. Но по Харьковской области знаю, что на проф.осмотры давно "забили".