Пациентке 63 года. Остеопороз?

Пол пациента: 
Тип патологии: 
Область исследования: 
Методы исследования: 

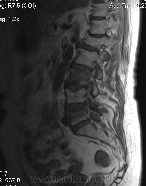
В анамнезе компрессионный перелом тела L1 позвонка в 1981г. На момент обследования компрессионные переломы тел L3, L5 позвонков, думаю остеопоротического характера. Непонятная зона в области боковой массы крестца на уровне S1-S3 слева (объемный процесс?)

 

  • https://radiomed.ru/sites/default/files/styles/case_slider_image/public/user/17109/2_7.jpg?itok=QBWdxuk6
  • https://radiomed.ru/sites/default/files/styles/case_slider_image/public/user/17109/3_7.jpg?itok=tJdrcbl6
  • https://radiomed.ru/sites/default/files/styles/case_slider_image/public/user/17109/4_6.jpg?itok=M8FmcS7x
  • https://radiomed.ru/sites/default/files/styles/case_slider_image/public/user/17109/5_6.jpg?itok=KC83YTaT
  • https://radiomed.ru/sites/default/files/styles/case_slider_image/public/user/17109/6_6.jpg?itok=4z7CYrNO
  • https://radiomed.ru/sites/default/files/styles/case_slider_image/public/user/17109/7_7.jpg?itok=tilUEeLX
  • https://radiomed.ru/sites/default/files/styles/case_slider_image/public/user/17109/8_6.jpg?itok=BnfqeRaN
  • https://radiomed.ru/sites/default/files/styles/case_slider_image/public/user/17109/9_6.jpg?itok=HPa4xDMT
  • https://radiomed.ru/sites/default/files/styles/case_slider_image/public/user/17109/10_5.jpg?itok=k9Zfkr61
  • https://radiomed.ru/sites/default/files/styles/case_slider_image/public/user/17109/11_5.jpg?itok=KfuQw9Of
  • https://radiomed.ru/sites/default/files/styles/case_slider_image/public/user/17109/12_5.jpg?itok=GWy4K_Dh
  • https://radiomed.ru/sites/default/files/styles/case_slider_image/public/user/17109/13_5.jpg?itok=RCuTy_se
ID:28439
алкс аватар
Не на сайте
Был на сайте: 10 лет 6 месяцев назад
Зарегистрирован: 24.10.2012 - 22:55
Публикации: 2915

Прошу прощения: а где переломы? L1- ясно. А кишка, ее стенка - нормальная?

Dr.S аватар
Не на сайте
Был на сайте: 12 лет 8 месяцев назад
Зарегистрирован: 26.10.2012 - 21:48
Публикации: 6

Складывается впекчатление о метастазе в крестце. А объём в полости малого таза трудно отдифференцировать. Хотя на мой взгляд стоит посмотреть не только икшечник, но и яичники.

Катенёв Валентин Львович аватар
Не на сайте
Был на сайте: 7 лет 6 месяцев назад
Зарегистрирован: 22.03.2008 - 22:15
Публикации: 54876

Dr.S wrote:

Складывается впекчатление о метастазе в крестце.

Только в крестце?

Mitkampfer аватар
Не на сайте
Был на сайте: 11 лет 6 месяцев назад
Зарегистрирован: 27.07.2010 - 07:43
Публикации: 1454

в позвонках и гемангиомы могут быть.

Не ограничивайте свою мысль

Живешь пока учишься

Ecrasez l’infame

iSSy аватар
Не на сайте
Был на сайте: 3 года 1 месяц назад
Зарегистрирован: 05.10.2012 - 12:45
Публикации: 77

Данных за объемный процесс в полости малого таза не вижу, матка удалена давно, шейка матки без особенностей, яичники бы посмотреть, буду рекомендовать УЗИ. Двояковогнутая деформация L3-L5 позвонков наблюдается при остеопорозе. Изменение интенсивности МР-сигнал от тел L3, L5 позвонков думаю, что за счет отека костного мозга в результате не так давно случившихся переломов на фоне остеопороза. Видно, что дуга, нижний суставной отросток L5 позвонка а аналогичными сигнальными характеристиками, вероятно тоже отек.  Непонятная зона в крестце- гемангиома? единичный крупный MTS?(что менее вероятно), изменения остеопоротического характера с возможной трещиной и отеком костного мозга? или еще что-то?

irena аватар
Не на сайте
Был на сайте: 10 лет 1 неделя назад
Зарегистрирован: 28.09.2009 - 13:00
Публикации: 289

вижу старый перелом L1. ломаются L3,5 позвонки. с характерной для дисгормональной спондилопатии  вогнутостью площадок, отеком костного мозга. На секундарные изменения в крестце,  на мой взгляд, не похоже. А на Т2 как это выглядит?Ярко? Скорее это стрессовые    изменения  от недостаточности.

iSSy аватар
Не на сайте
Был на сайте: 3 года 1 месяц назад
Зарегистрирован: 05.10.2012 - 12:45
Публикации: 77

Большое спасибо, Irena, скорее всего так оно и есть.

nnemo аватар
Не на сайте
Был на сайте: 11 лет 6 месяцев назад
Зарегистрирован: 13.09.2011 - 18:32
Публикации: 561

предпочел бы посмотреть всю серию Т1W, но в целом поддерживаю irena