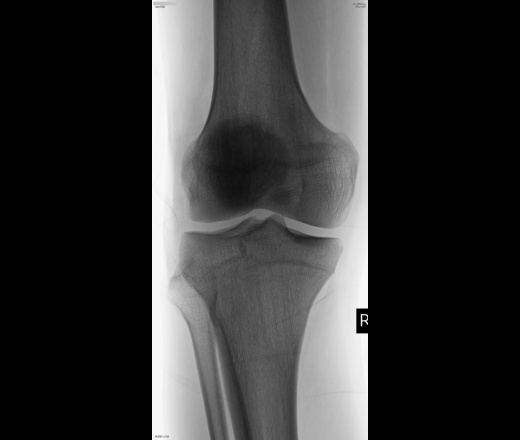
Молодой парень. Травму упоминает. Колено периодически выскакивает в сторону - так страдание описывает. По УЗИ повреждение медиального рога мениска врач заключает. А у меня на снимках - пара эностозов моргает?.. https://radiomed.ru/sites/default/files/styles/case_slider_image/public/user/19832/504_lst_0001.jpg?itok=HwVJ3zhU ID:45195 Сб, 13/09/2014 - 21:57 #1 алкс Не на сайте Был на сайте: 10 лет 5 месяцев назад Зарегистрирован: 24.10.2012 - 22:55 Публикации: 2915 И? Эностозы мениск рвут? Ср, 17/09/2014 - 21:27 #2 ЕЕЮ Не на сайте Был на сайте: 2 года 7 месяцев назад Зарегистрирован: 26.08.2013 - 11:22 Публикации: 410 Покажите где они?
И? Эностозы мениск рвут?
Покажите где они?