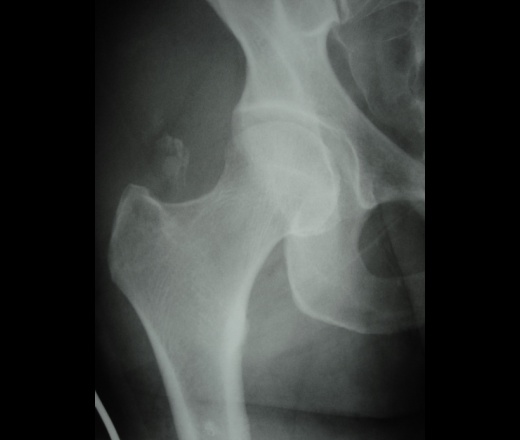
молодая женщина, спрыгнула со второго этажа при пожаре. Справа клиника ушиба, разможжение тканей, рваная рана бедра. травматологи написали отрывной перелом бедренной кости, в этом месте вижу впервые.
Внутрисуставных связок две: упомянутая lig. transversum acetabuli и связка головки, lig. capitis femoris. Она начинается от краев вырезки вертлужной впадины и от lig. transversum acetabuli, верхушкой прикрепляется к fovea capitis femoris. Связка головки покрыта синовиальной оболочкой, которая поднимается на нее со дна вертлужной впадины. Она является эластической прокладкой, смягчающей толчки, испытываемые суставом, а также служит для проведения в головку бедра a. lig. capitis femoris, отходящей от a. obturatoria.
Внесуставные связки тазобедренного сустава укрепляют фиброзный слой его капсулы. Три связки отходят от трех костей таза: подвздошной, лобковой и седалищной и прикрепляются на бедренной кости.
1. Подвздошно-бедренная связка, lig. iliofemorale, или бертиниева [Bertini]*, расположена на передней стороне сустава. Верхушкой она прикрепляется к spina iliaca anterior inferior, а расширенным основанием — к linea intertrochanterica. Ее ширина достигает здесь 7—8 см, толщина — 7—8 мм. Она тормозит разгибание и препятствует падению тела назад при прямохождении. Этим объясняется наибольшее развитие бертиниевой связки у человека, у которого она становится самой мощной из всех связок человеческого тела, выдерживая груз, равный 300 кг.
2. Лобково-бедренная связка, lig. pubofemorale, находится на нижнемедиальной стороне сустава. Начинаясь от eminentia iliopubica и нижней горизонтальной ветви лобковой кости, она прикрепляется к малому вертелу. Связка задерживает отведение и тормозит вращение кнаружи.
3. Седалищно-бедренная связка, lig. ischiofemorale, укрепляет медиальную часть суставной капсулы. Она начинается сзади сустава от края acetabulum в области седалищной кости, идет латераль-но и кверху над шейкой бедра и, вплетаясь в сумку, оканчивается у переднего края большого вертела.
4. Круговая зона, zona orbicularis, имеет вид круговых волокон, которые заложены в глубоких слоях суставной сумки под описанными продольными связками и составляют основу фиброзного слоя суставной капсулы тазобедренного сустава. Волокна zona orbicularis охватывают в виде петли шейку бедра, прирастая вверху к кости под spina iliaca anterior inferior.
Обилие связок, конгруэнтность суставных поверхностей тазобедренного сустава делают этот сустав более ограниченным в своих движениях, чем плечевой, что связано с функцией нижней конечности, требующей большей устойчивости в этом суставе. Это ограничение и прочность сустава являются причиной и более редких, чем в плечевом суставе, вывихов.
А большой вертел переломан?
Отрывной перелом части большого вертела.
Болезни ног: виды, симптомы, причины, профилактика и лечение
слева на вертеле тоже есть участок просветления. как эти кусочки поднялись так высоко, там же мышцы???
на счет большого вертела, похоже что да....
Разве там нечему тянуть?????
Внутрисуставных связок две: упомянутая lig. transversum acetabuli и связка головки, lig. capitis femoris. Она начинается от краев вырезки вертлужной впадины и от lig. transversum acetabuli, верхушкой прикрепляется к fovea capitis femoris. Связка головки покрыта синовиальной оболочкой, которая поднимается на нее со дна вертлужной впадины. Она является эластической прокладкой, смягчающей толчки, испытываемые суставом, а также служит для проведения в головку бедра a. lig. capitis femoris, отходящей от a. obturatoria.
Внесуставные связки тазобедренного сустава и переднее «слабое место» (по Шпальтехольцу, с изменениями). 1 — eminentia iliopubica; 2 — lig. pubofemorale; 3 — переднее «слабое место» капсулы сустава; 4 — tuber ischiadicum; 5 — trochanter minor, 6 — linea trochanterica; 7 — trochanter major, 8 — lig. iliofemorale; 9 — spina iliаса anterior superior.
Внесуставные связки тазобедренного сустава укрепляют фиброзный слой его капсулы. Три связки отходят от трех костей таза: подвздошной, лобковой и седалищной и прикрепляются на бедренной кости.
1. Подвздошно-бедренная связка, lig. iliofemorale, или бертиниева [Bertini]*, расположена на передней стороне сустава. Верхушкой она прикрепляется к spina iliaca anterior inferior, а расширенным основанием — к linea intertrochanterica. Ее ширина достигает здесь 7—8 см, толщина — 7—8 мм. Она тормозит разгибание и препятствует падению тела назад при прямохождении. Этим объясняется наибольшее развитие бертиниевой связки у человека, у которого она становится самой мощной из всех связок человеческого тела, выдерживая груз, равный 300 кг.
2. Лобково-бедренная связка, lig. pubofemorale, находится на нижнемедиальной стороне сустава. Начинаясь от eminentia iliopubica и нижней горизонтальной ветви лобковой кости, она прикрепляется к малому вертелу. Связка задерживает отведение и тормозит вращение кнаружи.
3. Седалищно-бедренная связка, lig. ischiofemorale, укрепляет медиальную часть суставной капсулы. Она начинается сзади сустава от края acetabulum в области седалищной кости, идет латераль-но и кверху над шейкой бедра и, вплетаясь в сумку, оканчивается у переднего края большого вертела.
4. Круговая зона, zona orbicularis, имеет вид круговых волокон, которые заложены в глубоких слоях суставной сумки под описанными продольными связками и составляют основу фиброзного слоя суставной капсулы тазобедренного сустава. Волокна zona orbicularis охватывают в виде петли шейку бедра, прирастая вверху к кости под spina iliaca anterior inferior.
Обилие связок, конгруэнтность суставных поверхностей тазобедренного сустава делают этот сустав более ограниченным в своих движениях, чем плечевой, что связано с функцией нижней конечности, требующей большей устойчивости в этом суставе. Это ограничение и прочность сустава являются причиной и более редких, чем в плечевом суставе, вывихов.
Болезни ног: виды, симптомы, причины, профилактика и лечение
чего только не увидишь на этой работе, каждый день сюрпризы "блин".