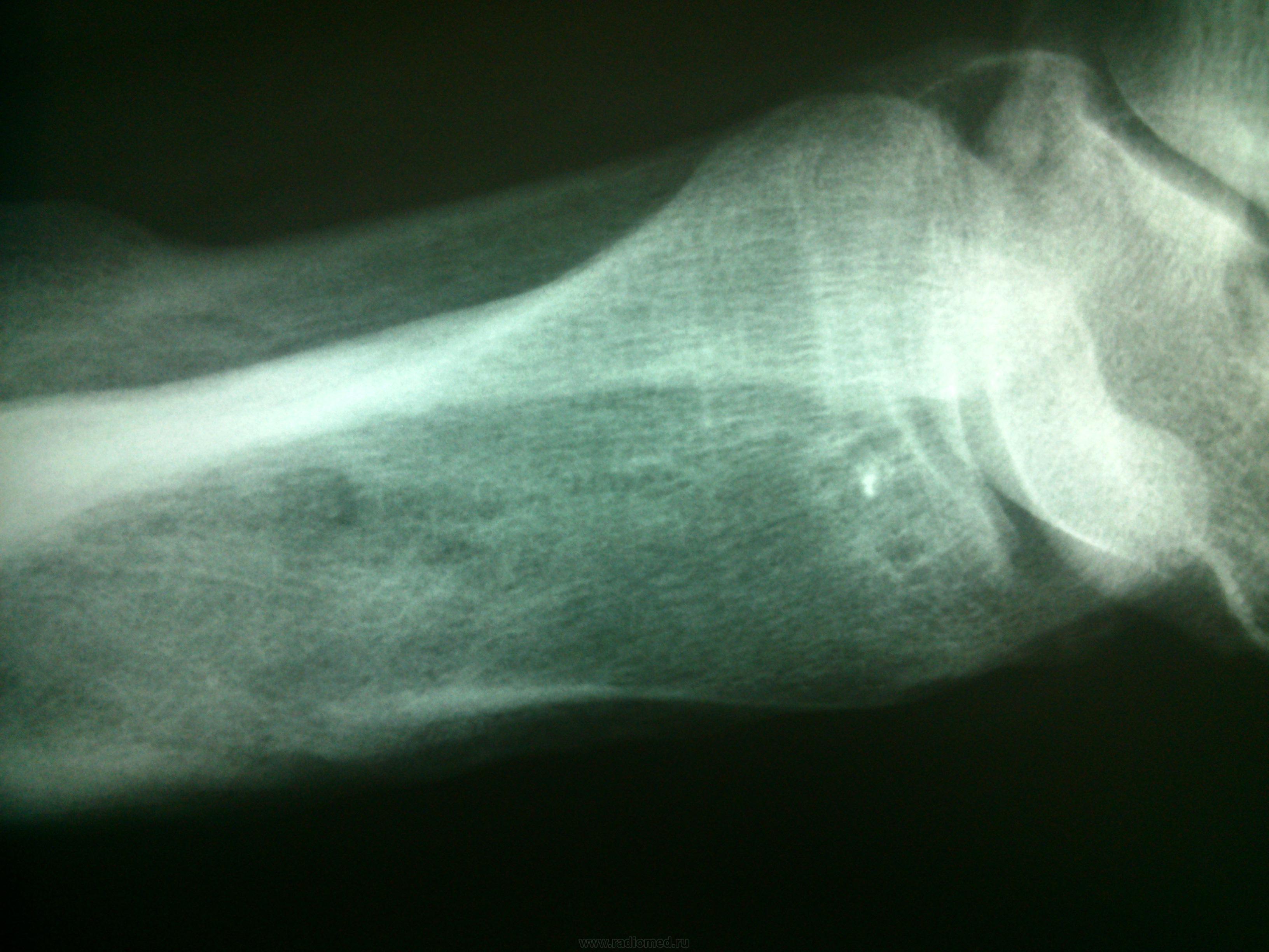
Много оскольчатый, открытый перелом со смещением отломков нижней трети обеих берцовых костей, с дальнейшей репозицией и наложением металлоконструкции! Мне кажется, что тут имеет место быть отсроченный остеомиелит(?), хотя внешних изменений мягких тканей над переломом не наблюдается ( покраснение кожи и повышение локальной температуры).Помогите(((Может на КТ отправить!
Коллега, уж Вы как-нибудь озаботьте себя выкладыванием снимков в нормальном положении. А лаборантов - правильной укладкой. Не все равно, как сделать снимок (если Вы не в курсе). Пусть переделают прямые, да и захватят повыше. Или сделайте голень, если ищете остеомиелит костей голени. Думаю, круглая "дырка" после металлоостеосинтеза (это пока, до нормальных снимков).
Коллега, уж Вы как-нибудь озаботьте себя выкладыванием снимков в нормальном положении. А лаборантов - правильной укладкой. Не все равно, как сделать снимок (если Вы не в курсе). Пусть переделают прямые, да и захватят повыше. Или сделайте голень, если ищете остеомиелит костей голени. Думаю, круглая "дырка" после металлоостеосинтеза (это пока, до нормальных снимков).
Огромное спасибо!!!!Постараюсь исправиться!А с выкладыванием снимков я долго мучилась...
перелом 2008 год, жалобы на боль в ноге на стороне перелома
Это демонстрация или вопрос?
Просьба о помощи! Подскажите мне нет ли тут чего страшного?
Остеомиелита без клиники не бывает. Мало того, при наличии клиники рентгеновские признаки остеомиелита возникают в среднем на 21 день болезни (обратное развитие также отстает). Поэтому - посттравматическоая деформация и изменение структуры н/3 левой большеберцовой кости.
А какова была цель исследования? Что искали, чего исключали?
необходимо полностью доснять зону интереса...
Терпимость - это когда прощают чужие ошибки; такт - когда не замечают их. (Артур Шницлер)
Это демонстрация или вопрос?
Андрей Юрьевич
Не очень удобно кверхногами смотреть. И что значит - сложнейший?
Много оскольчатый, открытый перелом со смещением отломков нижней трети обеих берцовых костей, с дальнейшей репозицией и наложением металлоконструкции! Мне кажется, что тут имеет место быть отсроченный остеомиелит(?), хотя внешних изменений мягких тканей над переломом не наблюдается ( покраснение кожи и повышение локальной температуры).Помогите(((Может на КТ отправить!
Коллега, уж Вы как-нибудь озаботьте себя выкладыванием снимков в нормальном положении. А лаборантов - правильной укладкой. Не все равно, как сделать снимок (если Вы не в курсе). Пусть переделают прямые, да и захватят повыше. Или сделайте голень, если ищете остеомиелит костей голени. Думаю, круглая "дырка" после металлоостеосинтеза (это пока, до нормальных снимков).
С уважением,
Остеомиелита без клиники не бывает. Мало того, при наличии клиники рентгеновские признаки остеомиелита возникают в среднем на 21 день болезни (обратное развитие также отстает). Поэтому - посттравматическоая деформация и изменение структуры н/3 левой большеберцовой кости.
А какова была цель исследования? Что искали, чего исключали?
Андрей Юрьевич
В малоберцовой до сих пор "остаточная линия перелома" виднеется