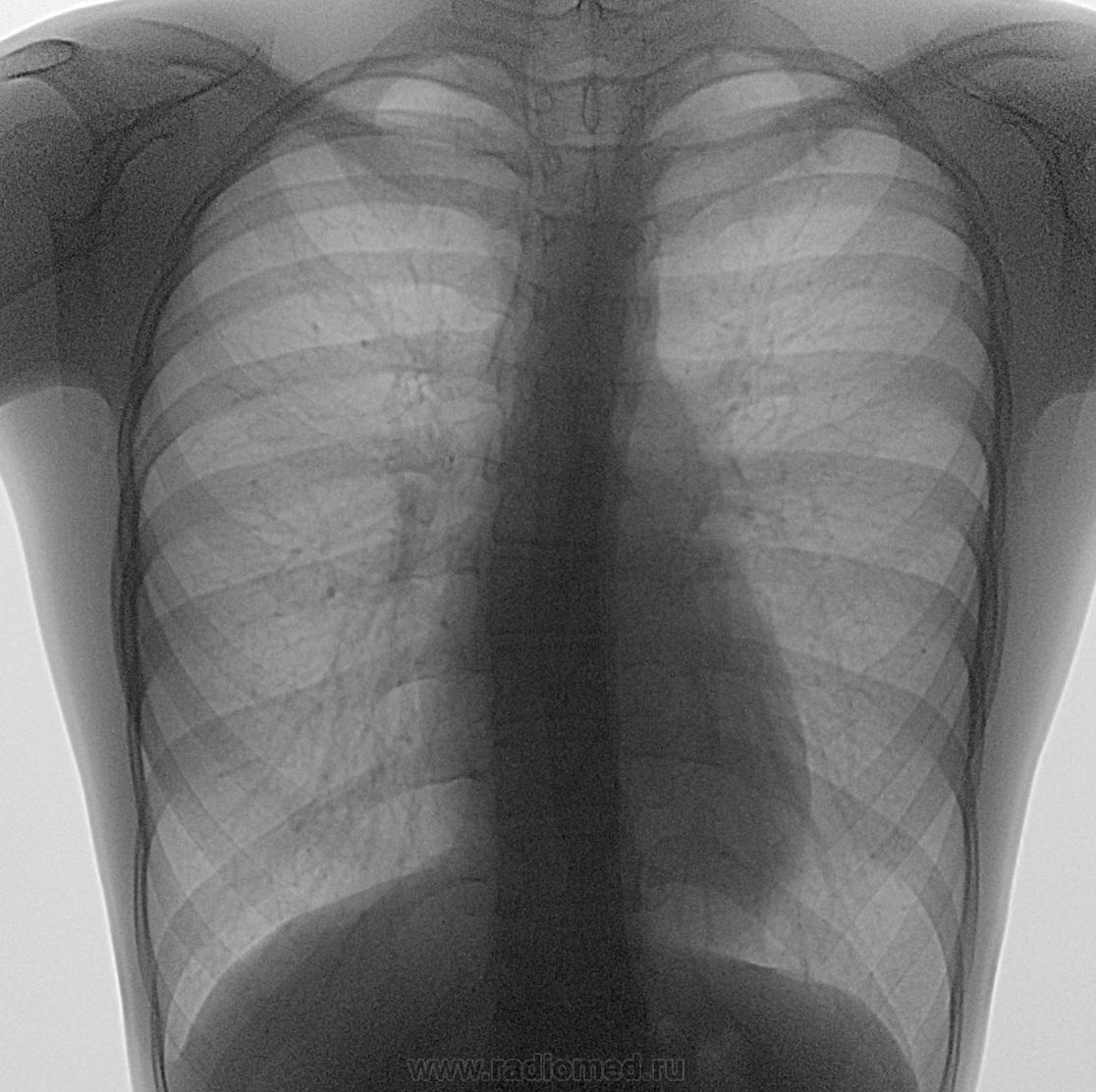
Перелом I ребра слева?

Пол пациента: 
Тип патологии: 
Методы исследования: 

Ежегодная ФЛЮ март 2013г. 

   

Сегодняшнее:

  • https://radiomed.ru/sites/default/files/styles/case_slider_image/public/user/19164/mart2014.jpg?itok=-JdxBmNt
ID:35893
NIL аватар
NIL
Не на сайте
Был на сайте: 2 недели 4 дня назад
Зарегистрирован: 25.11.2013 - 20:50
Публикации: 18217

Похоже, но интересно, какой механизм травмы.


"Слушай всех, прислушивайся к немногим, решай сам".©

Дмитрий Волегов аватар
Не на сайте
Был на сайте: 3 года 11 месяцев назад
Зарегистрирован: 22.05.2013 - 00:32
Публикации: 1148

Думаю не перелом. Подозрение на очаговоподобные тени и сгущение л. рисунка.

Приложения: 
2014_god.jpg

С Уважением, Дмитрий.

И.Бондаренко аватар
Не на сайте
Был на сайте: 2 дня 2 часа назад
Зарегистрирован: 13.09.2011 - 22:55
Публикации: 9214

Очень похоже на недоразвитое ребро. Дистальная часть - хрящ.

Андрей Юрьевич аватар
Не на сайте
Был на сайте: 1 месяц 4 часа назад
Зарегистрирован: 16.11.2008 - 22:16
Публикации: 18106

Рассмотрел бы вариант срессового перелома http://www.jssm.org/vol8/n2/22/v8n2-22pdf.pdf

http://www.radiomed.ru/cases/vesna-nuzhno-podcherknut-chto-ostalos-ot-relefa-muskulatury

http://www.radiomed.ru/cases/perelom-pervogo-rebra

http://www.sudmed.ru/index.php?showtopic=5747

возникает при интенсивных тренировках http://bmsi.ru/doc/a7b9ab3b-09be-4dd0-b997-1b5d954d547d

http://eorif.com/rib-stress-fracture

Еще мне не нравится бочкообразная форма грудной клетки (косвенный признак бронхиальной обструкции), рек. ФВД.

Андрей Юрьевич

largooowinch аватар
Не на сайте
Был на сайте: 10 лет 5 месяцев назад
Зарегистрирован: 29.10.2013 - 22:07
Публикации: 65

если сравнить верхушки с двух сторон так они одинаковы,или перестраховаться и доснять верх.но я так думаю там нет очаговых теней.

NIL аватар
NIL
Не на сайте
Был на сайте: 2 недели 4 дня назад
Зарегистрирован: 25.11.2013 - 20:50
Публикации: 18217

И.Бондаренко wrote:

Очень похоже на недоразвитое ребро. Дистальная часть - хрящ.

А в2013 г. всё было развито?. 


"Слушай всех, прислушивайся к немногим, решай сам".©

sila аватар
Не на сайте
Был на сайте: 11 лет 10 месяцев назад
Зарегистрирован: 01.11.2013 - 22:18
Публикации: 29

Присмотритесь внимательнее, и в 2013 г. было линейное просветление 1-го ребра слева именно на этом месте, на последнем снимке расхождение отломков (т.е. неконсолидированный перелом).

Дмитрий Волегов аватар
Не на сайте
Был на сайте: 3 года 11 месяцев назад
Зарегистрирован: 22.05.2013 - 00:32
Публикации: 1148

Вы имеете в виду формирование ложного сустава?

С Уважением, Дмитрий.

sila аватар
Не на сайте
Был на сайте: 11 лет 10 месяцев назад
Зарегистрирован: 01.11.2013 - 22:18
Публикации: 29

Да, именно так!

КДЭ док аватар
Не на сайте
Был на сайте: 8 лет 10 месяцев назад
Зарегистрирован: 04.11.2013 - 18:41
Публикации: 150

Мне так кажется: 

Приложения: 
mart2013.jpgmart2014.jpg
zarina chalabieva аватар
Не на сайте
Был на сайте: 9 лет 9 месяцев назад
Зарегистрирован: 22.01.2014 - 15:27
Публикации: 77

МОДЕР: Тема перенесена сюда: http://www.radiomed.ru/cases/vse-li-blagopoluchno-v-levom-legkom

И.Бондаренко аватар
Не на сайте
Был на сайте: 2 дня 2 часа назад
Зарегистрирован: 13.09.2011 - 22:55
Публикации: 9214

NIL wrote:

И.Бондаренко wrote:

Очень похоже на недоразвитое ребро. Дистальная часть - хрящ.

А в2013 г. всё было развито?. 

Согласен, недосмотрел. Тогда вариант стрессового перелома (лоозёровская зона). Скорее всего человек левша.

atexta аватар
Не на сайте
Был на сайте: 3 года 3 месяцев назад
Зарегистрирован: 08.02.2014 - 18:41
Публикации: 4842

Согласна с Андреем Юрьевичем, нечасто, но встречается, причем интересно, что обычно не беспокоит пациента вне зависимости от степени срастания

Не нам судить…

КДЭ док аватар
Не на сайте
Был на сайте: 8 лет 10 месяцев назад
Зарегистрирован: 04.11.2013 - 18:41
Публикации: 150

Андрей Юрьевич wrote:

Рассмотрел бы вариант срессового перелома http://www.jssm.org/vol8/n2/22/v8n2-22pdf.pdf

http://www.radiomed.ru/cases/vesna-nuzhno-podcherknut-chto-ostalos-ot-relefa-muskulatury

http://www.radiomed.ru/cases/perelom-pervogo-rebra

http://www.sudmed.ru/index.php?showtopic=5747

возникает при интенсивных тренировках http://bmsi.ru/doc/a7b9ab3b-09be-4dd0-b997-1b5d954d547d

http://eorif.com/rib-stress-fracture

Еще мне не нравится бочкообразная форма грудной клетки (косвенный признак бронхиальной обструкции), рек. ФВД.

Спасибо, за информацию, прочитал)  ФВД порекомендую, запишут ли только ее, через год в любом случае будет контрольный, плановое флю)

Nobody аватар
Не на сайте
Был на сайте: 11 лет 6 месяцев назад
Зарегистрирован: 15.03.2014 - 20:29
Публикации: 2013

sila wrote:

Присмотритесь внимательнее, и в 2013 г. было линейное просветление 1-го ребра слева именно на этом месте, на последнем снимке расхождение отломков (т.е. неконсолидированный перелом).

Если бы это был перелом ребра, то выглядел бы иначе, чем в наблюдении коллеги. Иначе бы он скиаложил, если бы был, и в снимках, что я Вам сейчас предложил.)

Андрей Юрьевич, из Вами предложенных ссылок в тему действительного перелома (неважно генеза какого) оставить можно не все - нельзя объяснить изменения на всех снимках банальным стресс-переломом.)

Приложения: 
171.png217.png

"Лишь утратив всё до конца, мы обретаем свободу." F.C.