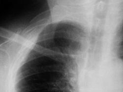
Перелом рёбер

Просто показать.Случается и верхние рёбра ломаются. Женщина. ДТП (падение с велосипеда)

  • https://radiomed.ru/sites/default/files/styles/case_slider_image/public/user/19308/p120614_1119.jpg?itok=tb2Qi_it
ID:46405
Сергей Кузьминов аватар
Не на сайте
Был на сайте: 1 год 2 недели назад
Зарегистрирован: 06.10.2012 - 15:51
Публикации: 11813

Бывает...

Almo аватар
Не на сайте
Был на сайте: 2 часа 38 минут назад
Зарегистрирован: 28.09.2008 - 18:50
Публикации: 8256

Упала на горизонтальную поверхность или на препятствие типа бардюра? I  ребро кстати не сломано , сломать его как я понимаю, непросто в силу того, что спереди закрыто ключицей, сзади массивом задней группы мышц надплечья (трапецевидной, мышцей поднимающей лоптку и др.) .

NIL аватар
NIL
Не на сайте
Был на сайте: 1 час 2 минуты назад
Зарегистрирован: 25.11.2013 - 20:50
Публикации: 18206

Механизма травмы не помнит (Бахус виноват), привезли с улицы. I ребро, действительно целое. Сломаны II-IV р.


"Слушай всех, прислушивайся к немногим, решай сам".©

И.Бондаренко аватар
Не на сайте
Был на сайте: 2 дня 12 минут назад
Зарегистрирован: 13.09.2011 - 22:55
Публикации: 9206

ДПТ на велосипеде. Анекдот...

NIL аватар
NIL
Не на сайте
Был на сайте: 1 час 2 минуты назад
Зарегистрирован: 25.11.2013 - 20:50
Публикации: 18206

И.Бондаренко wrote:

ДПТ на велосипеде. Анекдот...

Ну да.. На дороге рухнула с транспортного средства... Не пешеход. Водитель велосипеда


"Слушай всех, прислушивайся к немногим, решай сам".©

Андрей Юрьевич аватар
Не на сайте
Был на сайте: 6 дней 7 часов назад
Зарегистрирован: 16.11.2008 - 22:16
Публикации: 18098

В таком случае, снимок лопатки также может быть полезен.

Андрей Юрьевич

Dima аватар
Не на сайте
Был на сайте: 7 лет 2 месяцев назад
Зарегистрирован: 05.08.2012 - 17:39
Публикации: 2467

Андрей Юрьевич wrote:

В таком случае, снимок лопатки также может быть полезен.

Да и правый плечевой сустав снять не помешало бы, не нравится мне его изображение...

Терпимость - это когда прощают чужие ошибки; такт - когда не замечают их. (Артур Шницлер)

Dima аватар
Не на сайте
Был на сайте: 7 лет 2 месяцев назад
Зарегистрирован: 05.08.2012 - 17:39
Публикации: 2467

А здесь по поводу переломв первого ребра можно почитать http://www.radiomed.ru/cases/perelom-pervogo-rebra

Терпимость - это когда прощают чужие ошибки; такт - когда не замечают их. (Артур Шницлер)

atexta аватар
Не на сайте
Был на сайте: 2 года 10 месяцев назад
Зарегистрирован: 08.02.2014 - 18:41
Публикации: 4842

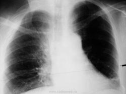
Красивый снимок. Второй раз, что ли, уже упала ) ? Слева тоже старые переломы. Надо в рекомендациях посоветовать транпортное средство поменять )

Не нам судить…