Периостит

Пол пациента: 
Тип патологии: 
Область исследования: 
Методы исследования: 

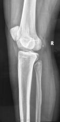
Девочка 17 лет. Беспокоят боли в в/3 голени несколько месяцев, преимущественно днём, Ночных болей нет. Клинически - некоторая болезненность при пальпации в/з правой голени по латеральной стороне. Консультировалась в частном порядке в одном из институтов радиологии. Рентгенолог по данным снимкам поставил диагноз - саркома (!) малоберцовой кости. Направлена для лечения к нам в больницу. Представлены рентгенограммы с динамикой процесса 1 месяц.

Мы убедительных данных за злокачественное образование не видим. Хотелось бы узнать мнение уважаемых коллег.

  • https://radiomed.ru/sites/default/files/styles/case_slider_image/public/user/794/mart2.jpg?itok=WgTkVwMa
  • https://radiomed.ru/sites/default/files/styles/case_slider_image/public/user/794/aprel1.jpg?itok=GFK790wL
  • https://radiomed.ru/sites/default/files/styles/case_slider_image/public/user/794/aprel2_0.jpg?itok=cUcRrerr
ID:3402
Ola-la аватар
Не на сайте
Был на сайте: 10 месяцев 1 неделя назад
Зарегистрирован: 06.12.2008 - 09:33
Публикации: 1786

Я думаю, здесь больше данных за воспалительный процесс. У нас за последнее время тоже прошло несколько подростков с подобными изменениями, правда, в большеберцовых костях. У всех гистологически был остеомиелит.

Vikkur аватар
Не на сайте
Был на сайте: 4 года 8 месяцев назад
Зарегистрирован: 24.09.2009 - 14:34
Публикации: 1749

Не вижу данных за саркому.

Виктор.

tatyana аватар
Не на сайте
Был на сайте: 4 года 1 месяц назад
Зарегистрирован: 24.06.2009 - 08:33
Публикации: 2090

в целом, согласна с коллегами - не саркома, есть участок гиперостоза, в диф. ряд следует включить остеомиелит и и остеому. Но в первую очередь дообследуйте на предмет остеоид-остеомы: сделайте КТ, проведите аспириновый тест (последний, правда, работает не 100%). Возможно меня и глючит, но мое мнение, что желтой стрелкой помечено "гнездо"

 

Приложения: 
mart1.jpg

"самоуверенность дилетантов - предмет зависти профессионалов"

Катенёв Валентин Львович аватар
Не на сайте
Был на сайте: 7 лет 3 недели назад
Зарегистрирован: 22.03.2008 - 22:15
Публикации: 54876

Действительно, стрелка притягивает глаз к тому, что может быть "гнездом".

Vega аватар
Не на сайте
Был на сайте: 19 часов 45 минут назад
Зарегистрирован: 22.01.2009 - 19:16
Публикации: 1087

Сегодня взяли открытую биопсию. 

Теперь в работу вступит "врач, который все знает и все умеет". :-)

tatyana аватар
Не на сайте
Был на сайте: 4 года 1 месяц назад
Зарегистрирован: 24.06.2009 - 08:33
Публикации: 2090

жаль - поторопились, потому что если это остеоид-остеома и "гнездо" не попадет в биоптат, то дигноз не поставят, а болячка останется

"самоуверенность дилетантов - предмет зависти профессионалов"

Ola-la аватар
Не на сайте
Был на сайте: 10 месяцев 1 неделя назад
Зарегистрирован: 06.12.2008 - 09:33
Публикации: 1786

На мой взгляд, вероятность остеоид-остеомы мала, все же гнездо должно быть более округлым, а здесь больше линейное просветление. У нас таких было много, сейчас вспомнила, и в малоберцовке тоже было,  пытались томографировать, когда КТ еще не было.

tatyana аватар
Не на сайте
Был на сайте: 4 года 1 месяц назад
Зарегистрирован: 24.06.2009 - 08:33
Публикации: 2090

Ольга, я не линейное просветление имела в виду, а кнаружи от него очень мелкое уплотнение с ободком просветления по периферии. Без КТ его вряд ли удастся вывести, но теперь не узнаем...

 

Приложения: 
mart1.jpg

"самоуверенность дилетантов - предмет зависти профессионалов"