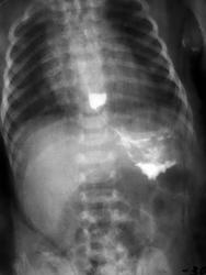
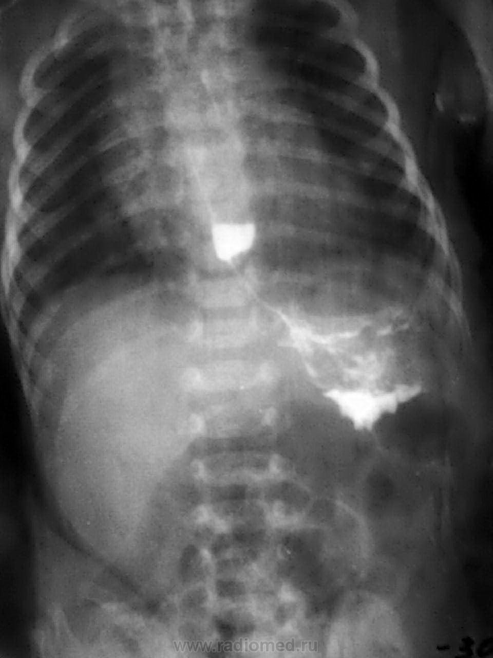
3 недели после рождения. Рвота после кормления.
-установили зонд
- подвесили
- контрастное вещество-барий
-динамика в течение 6 часов
-заключил:р-признаки ахалазии пищевода, пилоростеноза
- по сан.ави, дежурный дет.хирург, сказал, что я не прав,с барием никто не работает.


Конечно, до месяца надо использовать только водорастворимый контраст. То есть через 6 часов барий еще в желудке, в кишечнике нет? Тогда, скорее всего, пилоростеноз.
https://www.instagram.com/pediatricradiology/
можно ставить ахалазию у 3-х недельного дитя? расширение реактивное
...